Trẻ dễ gãy xương khi chơi thể thao do bệnh lý u xương

Gãy xương đùi khi đá bỏng, bé trai 10 tuổi bất ngờ phát hiện u xương đùi, được phẫu thuật cấp cứu kíp thời.

Mới đây, các bác sĩ Bệnh viện Hữu nghị Lạc Việt đã tiếp nhận và phẫu thuật cấp cứu cho bệnh nhi Trần Đức Lượng (10 tuổi, sinh năm 2015, xã Tam Dương Bắc, Phú Thọ) bị gãy xương đùi.

Theo lời kể của gia đình, trong lúc chơi đá bóng cùng bạn bè, cháu không may bị chấn thương, đau nhiều và hạn chế vận động đùi trái. Sau khi được sơ cứu, cố định chân, gia đình đã nhanh chóng đưa cháu tới bệnh viện cấp cứu.

Qua thăm khám và chụp X-quang, các bác sĩ chẩn đoán bệnh nhi bị gãy 1/3 trên xương đùi trái bệnh lý, trên nền u xương đùi chưa được phát hiện trước đó.

Cháu được chỉ định gây tê, phẫu thuật lấy u xương làm giải phẫu bệnh và kết hợp xương đùi.

Sau phẫu thuật, tình trạng của bé ổn định, có thể tập vật lý trị liệu ngay tại giường để sớm phục hồi chức năng vận động.

gay-xuong.png
Ê- kíp phẫu thuật cho bệnh nhi - Ảnh BVCC

Chia sẻ sau ca mổ, anh Trần Đức, bố của bệnh nhi xúc động cho biết: "Gia đình tôi rất may mắn khi cháu được cấp cứu và phẫu thuật kịp thời. Xin cảm ơn các y bác sĩ Bệnh viện Hữu nghị Lạc Việt đã tận tình điều trị và luôn động viên cháu sớm bình phục để quay lại học tập”.

gay-xuong-1.png
Bệnh nhi tỉnh táo, ổn định sau phẫu thuật - Ảnh BVCC

Bác sĩ Lê Quang Trường, khoa Ngoại II, Bệnh viện Hữu Nghị Lạc Việt cho biết, bệnh nhi đã có triệu chứng đau đùi trái từ trước nhưng chưa đi khám nên không phát hiện bệnh lý u xương. Với bệnh lý này, thành xương mỏng và yếu, rất dễ gãy khi vận động sinh hoạt thường ngày.

Vì vậy, khi trẻ có biểu hiện đau xương, đau khớp bất thường, gia đình cần đưa trẻ đi khám sớm để được chẩn đoán và điều trị kịp thời.

Người bệnh 76 tuổi bị khối u nhầy xoang hàm ăn mòn xương, ổ mắt

Bệnh nhân 76 tuổi mắc u nhầy xoang hàm nặng, đã tiêu xương sàn ổ mắt, sau phẫu thuật nội soi, tình trạng cải thiện rõ rệt.

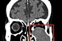
Bệnh viện Đa khoa tỉnh Quảng Trị cho biết vừa phẫu thuật thành công cho một bệnh nhân bị u nhầy xoang hàm biến chứng nặng, gây tiêu xương thành xoang hàm và ăn mòn xương sàn ổ mắt.

Hình ảnh chụp phim cho thấy khối u ăn mòn tiêu xương sàn ổ mắt. Ảnh nguồn tienphong.vn

Hình ảnh chụp phim cho thấy khối u ăn mòn tiêu xương sàn ổ mắt. Ảnh nguồn tienphong.vn

Lấy u, nối dây thần kinh chữa liệt mặt 10 năm cho người phụ nữ 35 tuổi

Khi có biểu hiện méo miệng, nhắm mắt không kín, nếp mũi má mờ, hãy đến khám để được thăm khám và điều trị kịp thời, tránh những hệ lụy đáng tiếc.

“Nhìn lại gương mặt mình trong gương, tôi đã không nghĩ có ngày lại có thể mỉm cười trở lại…”, chị Khuất Thị T., 35 tuổi, quê ở Hòa Bình, xúc động chia sẻ sau ca phẫu thuật phục hồi chức năng thần kinh mặt tại Bệnh viện Tai Mũi Họng Trung ương.

liet-mat.jpg
TS.BS Lê Hồng Anh - Trưởng khoa Tai Thần kinh phẫu thuật cho người bệnh - Ảnh BVCC

Đau xương cụ ông 78 tuổi không ngờ đa u tủy xương

Đa u tủy xương là tình trạng tăng sinh ác tính các tế bào tương bào trong tủy xương, làm suy yếu xương và ảnh hưởng trực tiếp đến chức năng tạo máu.

Khoa Huyết học lâm sàng – Bệnh viện Đa khoa tỉnh Phú Thọ vừa ghi nhận một câu chuyện đầy cảm xúc về hành trình chiến đấu và bước đầu vượt qua căn bệnh ung thư máu ác tính – đa u tủy xương của người bệnh B.T.N, 78 tuổi, ở Phong Châu, Phú Thọ.

Những cơn đau không thể chịu đựng

Đọc nhiều nhất

Tin mới