Người bệnh 76 tuổi bị khối u nhầy xoang hàm ăn mòn xương, ổ mắt

Bệnh nhân 76 tuổi mắc u nhầy xoang hàm nặng, đã tiêu xương sàn ổ mắt, sau phẫu thuật nội soi, tình trạng cải thiện rõ rệt.

Bệnh viện Đa khoa tỉnh Quảng Trị cho biết vừa phẫu thuật thành công cho một bệnh nhân bị u nhầy xoang hàm biến chứng nặng, gây tiêu xương thành xoang hàm và ăn mòn xương sàn ổ mắt.

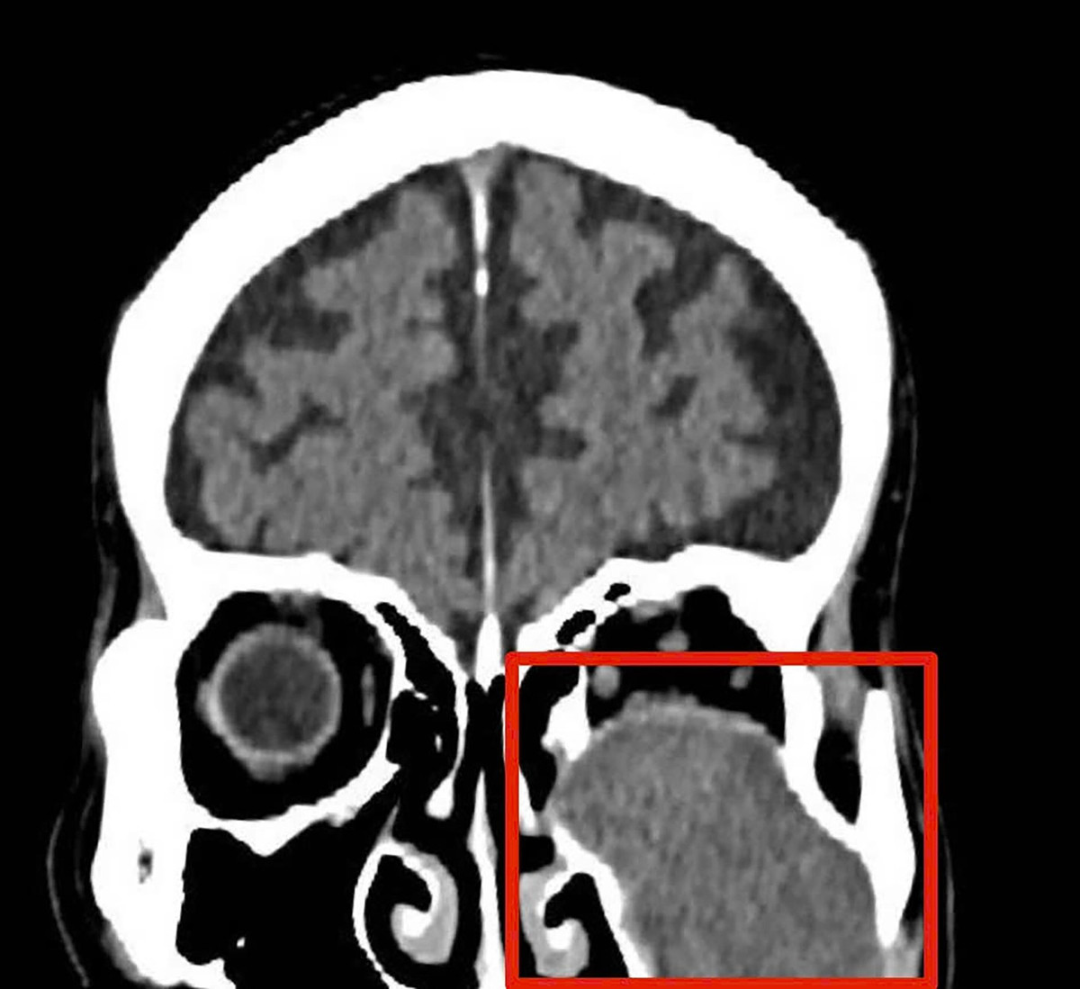
Hình ảnh chụp phim cho thấy khối u ăn mòn tiêu xương sàn ổ mắt. Ảnh nguồn tienphong.vn

Hình ảnh chụp phim cho thấy khối u ăn mòn tiêu xương sàn ổ mắt. Ảnh nguồn tienphong.vn

Chủ quan khiến khối u ăn mòn tiêu xương sàn ổ mắt

Bệnh nhân là ông N.H. (76 tuổi, trú phường Nam Đông Hà), nhập viện trong tình trạng sưng đau vùng má trái kéo dài, khuôn mặt mất cân xứng. Thăm khám lâm sàng ghi nhận vùng lợi hàm trên sần sùi, mắt trái nhìn mờ dần và thường xuyên chảy nước mắt.

Khai thác bệnh sử cho thấy, ông H. đã được chẩn đoán u nhầy xoang hàm từ nhiều năm trước nhưng không điều trị do khối u tiến triển chậm, ít gây đau, sinh hoạt hằng ngày vẫn tạm ổn.

Kết quả chụp chiếu và hội chẩn liên khoa xác định, khối u nhầy xoang hàm trái của bệnh nhân có kích thước lớn, đã ăn mòn tiêu xương các thành xoang hàm, đồng thời xâm lấn và làm tiêu xương sàn ổ mắt.

Trước diễn biến phức tạp của bệnh, các bác sĩ quyết định tiến hành phẫu thuật nội soi vi phẫu. Ê-kíp đã lấy bỏ hoàn toàn tổ chức u, mở rộng lỗ thông xoang hàm, hút sạch dịch nhầy, súc rửa và dẫn lưu xoang hiệu quả.

Sau 4 ngày phẫu thuật, tình trạng bệnh nhân cải thiện rõ rệt. Ảnh nguồn tienphong.vn

Sau 4 ngày phẫu thuật, tình trạng bệnh nhân cải thiện rõ rệt. Ảnh nguồn tienphong.vn

Sau 4 ngày phẫu thuật, bệnh nhân hồi phục tốt, tỉnh táo, không xuất hiện biến chứng. Tình trạng sưng đau vùng má trái giảm rõ rệt, khuôn mặt dần cân đối trở lại; thị lực mắt trái được cải thiện, hiện tượng chảy nước mắt gần như chấm dứt.

U nhầy mũi xoang – bệnh lý hiếm gặp nhưng dễ biến chứng nếu chậm trễ điều trị

U nhầy vùng mũi xoang là tổn thương lành tính, tương đối hiếm gặp. U nhầy hình thành khi dịch nhầy trong xoang không thoát ra ngoài được do tắc nghẽn xoang. Qua thời gian, dịch nhầy bị ứ đọng lại, tạo thành một khối u lớn dần, gây áp lực chèn ép lên các cơ quan lân cận như ổ mắt, sọ não khiến người bệnh thường xuyên đau đầu, nhức mắt.

Đa số trường hợp bệnh xảy ra sau chấn thương vùng hàm mặt, hoặc do biến chứng của những ca phẫu thuật mũi xoang trước đó. Tuy nhiên cũng có những trường hợp u nhầy nguyên phát, tức là không có nguyên nhân rõ rệt.

Theo một số nghiên cứu, khoảng 60-89% u nhầy xảy ra ở xoang trán, 8-30% ở xoang sàng, 5-10% ở xoang hàm và 2-3% ở xoang bướm. Sự xâm lấn rộng vào các cấu trúc giải phẫu xung quanh của u nhầy là do sự tiết chất nhầy liên tục và đặc tính tiêu huỷ xương của khối u nhầy.

Triệu chứng của bệnh thường âm thầm và dễ bị bỏ qua như nghẹt mũi kéo dài một bên, nhức đầu, cảm giác đầy nặng vùng mặt, hoặc nặng hơn là đau mắt, lồi mắt, mờ mắt.

U nhầy mũi xoang tuy lành tính nhưng nếu không điều trị kịp thời thì u càng lớn dần, xâm lấn đến các cấu trúc lân cận như mắt, sàn sọ, thậm chí u lớn lan rộng đến sàn sọ gây rò dịch, chảy dịch não tủy. Lúc này việc điều trị sẽ khó khăn hơn, ngoài việc lấy u còn phải tái tạo các cấu trúc xung quanh như xương ổ mắt, sàn sọ.

Vì lẽ đó, bác sĩ khuyến cáo người bệnh khi có những triệu chứng đau mắt, mờ mắt, lồi mắt thì nên đến cơ sở y tế uy tín để thăm khám ngay. Trong trường hợp khám mắt mà chưa tìm ra nguyên nhân thì cần nghĩ ngay đến bệnh lý mũi xoang, hãy thăm khám tai mũi họng để tìm chính xác nguyên nhân bệnh cũng như điều trị kịp thời.

Phát hiện sỏi niệu quản sớm, điều trị kịp thời tránh biến chứng nguy hiểm

Sỏi niệu quản có thể gây đau dữ dội, nhiễm trùng, suy thận nếu không được chẩn đoán và điều trị kịp thời. Nhận biết triệu chứng bệnh sớm để bảo vệ sức khỏe.

Biến chứng sỏi niệu quản chớ nên coi thường

Sỏi niệu quản là một trong những bệnh lý đường tiết niệu phổ biến, có thể gây ra nhiều biến chứng nguy hiểm như đau quặn thận dữ dội, nhiễm trùng tiết niệu tái diễn, thậm chí suy thận nếu không được phát hiện, điều trị kịp thời. Tuy nhiên trên thực tế, không ít người vẫn chủ quan cho rằng các biểu hiện ban đầu chỉ là đau lưng thông thường, mỏi người do làm việc nặng hoặc uống ít nước, từ đó bỏ qua thời điểm "vàng" để can thiệp y tế.

Cứu đôi mắt bệnh nhân mắc viêm xoang do nấm xâm lấn đe dọa tính mạng

Viêm xoang do nấm xâm lấn cấp tính là một bệnh lý nặng, diễn tiến nhanh có thể lan đến ổ mắt, làm liệt vận nhãn, lồi mắt, giảm thị lực.

Bệnh viện Đa khoa Thủ Đức vừa điều trị thành công, cứu sống bệnh nhân mắc viêm xoang do nấm xâm lấn cấp tính có biến chứng nguy hiểm đến tính mạng.

Tưởng viêm xoang thông thường không ngờ nhiễm nấm xâm lấn nguy hiểm

Đọc nhiều nhất

Tin mới

Đi khám sức khỏe phát hiện ung thư amidan

Đi khám sức khỏe phát hiện ung thư amidan

Người dân cần chủ động thăm khám sức khỏe định kỳ, đặc biệt khi có dấu hiệu bất thường vùng tai mũi họng, đau họng kéo dài, nuốt vướng, khàn tiếng, nổi hạch cổ…