Lấy u, nối dây thần kinh chữa liệt mặt 10 năm cho người phụ nữ 35 tuổi

Khi có biểu hiện méo miệng, nhắm mắt không kín, nếp mũi má mờ, hãy đến khám để được thăm khám và điều trị kịp thời, tránh những hệ lụy đáng tiếc.

“Nhìn lại gương mặt mình trong gương, tôi đã không nghĩ có ngày lại có thể mỉm cười trở lại…”, chị Khuất Thị T., 35 tuổi, quê ở Hòa Bình, xúc động chia sẻ sau ca phẫu thuật phục hồi chức năng thần kinh mặt tại Bệnh viện Tai Mũi Họng Trung ương.

liet-mat.jpg
TS.BS Lê Hồng Anh - Trưởng khoa Tai Thần kinh phẫu thuật cho người bệnh - Ảnh BVCC

Mười năm trước, chị T. bất ngờ bị liệt nửa mặt bên trái, gương mặt bị lệch, mắt không khép kín khiến chị mặc cảm, ngại giao tiếp. Do chủ quan và tin tưởng vào điều trị dân gian, chị chỉ đi bấm huyệt và châm cứu, mà không đến khám tại chuyên khoa Tai Mũi Họng.

Trải qua nhiều năm, đến khi tình trạng ngày càng nặng, chị bắt đầu thấy cảm giác đau rõ trong tai bên trái, chị mới tìm đến bệnh viện trong tình trạng đã bị liệt mặt hoàn toàn.

liet-mat-1.jpg
Hình ảnh nội soi tai trái cho thấy khối màu hồng phía sau màng nhĩ - Ảnh BVCC

Tại đây, các bác sĩ đã tiến hành nội soi tai, phát hiện khối màu hồng ở phía sau màng nhĩ. Hình ảnh trên cắt lớp vi tính và cộng hưởng từ (MRI) cho thấy một khối u lớn ở đoạn II và III dây thần kinh mặt – nguyên nhân gây liệt mặt kéo dài suốt nhiều năm.

Sau khi hội chẩn liên chuyên khoa, chị T. được chẩn đoán liệt mặt hoàn toàn bên trái do khối u thần kinh mặt bên trái và có chỉ định phẫu thuật mở xương chũm lấy toàn bộ khối u đồng thời thực hiện kỹ thuật nối dây VII – XII để phục hồi chức năng vận động cơ mặt.

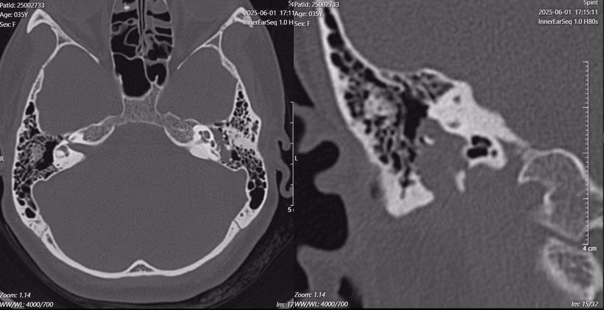
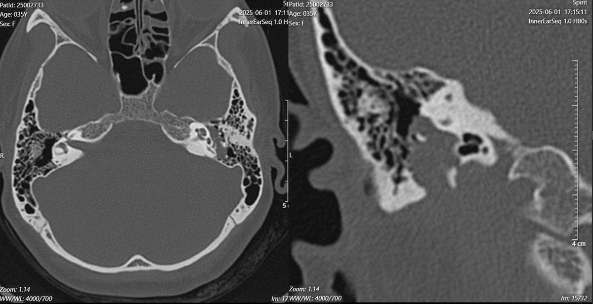
liet-mat-2.jpg
Hình ảnh phim chụp cắt lớp vi tính cho thấy khối mờ nằm dọc theo đoạn II và đoạn III của dây thần kinh mặt trong xương chũm - Ảnh BVCC

Ca phẫu thuật được thực hiện bởi PGS.TS Nguyễn Quang Trung, Giám đốc Trung tâm Ung bướu và Phẫu thuật đầu cổ và TS.BS Lê Hồng Anh, Trưởng khoa Tai Thần kinh cùng ê-kíp phẫu thuật giàu kinh nghiệm.

Ca phẫu thuật diễn ra thuận lợi, kết quả giải phẫu bệnh khối u sau phẫu thuật là u tế bào Schwann – một khối u lành tính, hiếm gặp của dây thần kinh mặt.

Với kinh nghiệm, trình độ chuyên môn sâu cùng kỹ thuật vi phẫu hiện đại và sự can thiệp đúng hướng của đội ngũ bác sĩ, chức năng cơ mặt của chị T. đang dần phục hồi, mang lại nụ cười sau hơn một thập kỷ.

“Tôi thật sự biết ơn các bác sĩ. Nếu biết sớm liệt mặt cần khám ở chuyên khoa Tai Mũi Họng, có lẽ tôi đã không mất 10 năm chờ đợi nụ cười này”, chị T. chia sẻ.

liet-mat-3.jpg
Hình ảnh chụp cộng hưởng từ gợi ý u dây thần kinh mặt - Ảnh BVCC

Theo các bác sĩ của Bệnh viện Tai Mũi Họng Trung ương, liệt mặt ngoại biên là bệnh lý thường gặp, có thể do nhiều nguyên nhân như viêm dây thần kinh mặt, chấn thương hoặc do khối u vùng xương chũm – nền sọ.

Việc điều trị chậm trễ hoặc điều trị sai cách (như chỉ bấm huyệt, châm cứu kéo dài) có thể khiến bệnh nhân bỏ lỡ cơ hội được chẩn đoán và điều trị kịp thời, nguy cơ dây thần kinh tổn thương không hồi phục, gây ảnh hưởng lớn đến thẩm mỹ cũng như chất lượng cuộc sống.

“Khi có biểu hiện méo miệng, nhắm mắt không kín, nếp mũi má mờ, hãy đến khám ngay tại cơ sở chuyên khoa uy tín để được thăm khám và điều trị kịp thời, tránh những hệ lụy đáng tiếc”, các chuyên gia Bệnh viện Tai Mũi Họng Trung ương khuyến cáo.

Người phụ nữ điếc, liệt mặt do biến chứng viêm tai giữa

Cần điều trị dứt điểm viêm tai giữa ngay từ giai đoạn đầu. Khi xuất hiện các dấu hiệu nặng như đau tai dữ dội, tai chảy mủ kéo dài... cần đi khám ngay.

Nhức tai không ngờ điếc, liệt mặt do biến chứng viêm tai giữa

Chị Hà, 38 tuổi, viêm tai giữa kéo dài, tạo ổ nhiễm trùng, hủy xương chũm, ăn mòn xương búa và dây thần kinh số 7, gây điếc, liệt mặt.

Bước hụt xuống hố thang máy, người đàn ông vỡ nát khuôn mặt

Việc triển khai ứng dụng kỹ thuật vi phẫu sớm và chính xác ngay cuộc mổ cấp cứu có ý nghĩa quyết định trong bảo tồn chức năng sinh lý, phục hồi thẩm mỹ tối ưu.

Bệnh viện Hữu nghị Việt Đức đã thực hiện phối hợp đa chuyên khoa thực hiện đồng thời 5 phẫu thuật (3 kỹ thuật vi phẫu) cứu sống người bệnh vỡ nát mặt trên thang máy.

Cú bước hụt hy hữu

Cách phòng tránh liệt mặt khi trời lạnh

Liệt mặt chủ yếu là do lạnh, khiến dây thần kinh số VII ngoại biên bị co mạch, sưng phù và tổn thương chỉ sau vài giây tiếp xúc với gió lạnh.

Thời tiết mới chớm lạnh, Trung tâm Y tế khu vực Cẩm Khê liên tiếp ghi nhận 6 trường hợp nhập viện với triệu chứng méo miệng, mắt nhắm không kín, được bác sĩ chẩn đoán Liệt mặt ngoại biên (liệt dây thần kinh số VII) do lạnh.

Liệt mặt do lạnh là gì?

Đọc nhiều nhất

Tin mới