Làm chủ phẫu thuật cắt kén khí phổi ngay tại Ninh Bình

Kén khí phổi là bệnh hiếm gặp, có thể gây ra những biến chứng nghiêm trọng nhưng có thể điều trị hiệu quả nếu phát hiện sớm.

Phẫu thuật nội soi lồng ngực cắt kén khí phổi là kỹ thuật chuyên sâu, thường được triển khai tại các bệnh viện tuyến Trung ương. Việc Trung tâm Ung bướu - Bệnh viện Đa khoa tỉnh Ninh Bình làm chủ và thực hiện độc lập kỹ thuật này đã mở ra cơ hội điều trị hiệu quả ngay tại địa phương cho người dân.

Mệt mỏi, khó thở không ngờ phổi phải nhiều kén khí

Gần một tháng trời, anh N.V.D (54 tuổi, Yên Mô - Ninh Bình) thường xuyên bị đau tức ngực. Ban đầu là những cơn đau thoáng qua, rồi kéo dài hơn, khiến sinh hoạt hàng ngày trở nên mệt mỏi. Người lo lắng nhất không chỉ là bản thân anh, mà còn là vợ con - những người luôn âm thầm quan sát từng biểu hiện bất thường của anh mỗi ngày.

“Thấy anh đau ngực liên tục, cả nhà ai cũng sốt ruột. Chỉ mong đi khám sớm để biết rõ bệnh, chứ cứ thế này thì không yên tâm được…”, người thân anh chia sẻ.

Kết quả chụp cắt lớp vi tính tại Bệnh viện Đa khoa tỉnh Ninh Bình cho thấy anh có nhiều kén khí ở thùy trên phổi phải, trong đó có kén kích thước lớn tới 26×40 mm. Với tiền sử hút thuốc lá nhiều năm, nguy cơ biến chứng là điều khiến gia đình càng thêm lo lắng.

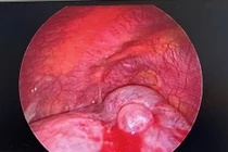
can-ken-khi.jpg
Hình ảnh tổn thương trong mổ - Ảnh BVCC

Sau hội chẩn liên chuyên khoa, các bác sĩ đã giải thích tình trạng bệnh, chỉ định phẫu thuật nội soi lồng ngực cắt kén khí phổi - giải pháp tối ưu nhằm loại bỏ tổn thương, bảo tồn phổi lành và ngăn ngừa các biến chứng nguy hiểm.

Ca phẫu thuật diễn ra trong một giờ, toàn bộ kén khí được cắt bỏ an toàn bằng phương pháp nội soi. Những giờ chờ đợi bên ngoài phòng mổ của người thân là khoảng thời gian đầy hồi hộp - cho đến khi nhận được tin ca phẫu thuật thành công.

Sau phẫu thuật, anh D giảm đau rõ rệt, phổi giãn nở tốt, nhanh chóng vận động và sinh hoạt bình thường. Sau 6 ngày điều trị, anh được xuất viện trong niềm vui của gia đình - nhẹ nhõm sau những ngày căng thẳng vì bệnh tật.

Anh D xúc động chia sẻ: “Trước mổ tôi rất lo, nhưng khi tỉnh dậy thấy nhẹ ngực hẳn, thở dễ hơn, tôi yên tâm lắm. Giờ sức khỏe ổn định, được về nhà sớm, tôi thật sự cảm ơn các bác sĩ”.

cat-ken-khi.jpg
Hình ảnh kíp phẫu thuật tiến hành cắt bỏ thương tổn - Ảnh BVCC

Các bác sĩ Trung tâm Ung bướu, Bệnh viện Đa khoa tỉnh Ninh Bình cho biết, phẫu thuật nội soi lồng ngực cắt kén khí phổi là kỹ thuật chuyên sâu, thường được triển khai tại các bệnh viện tuyến Trung ương. Việc Trung tâm Ung bướu - Bệnh viện Đa khoa tỉnh Ninh Bình làm chủ và thực hiện độc lập kỹ thuật này đã mở ra cơ hội điều trị hiệu quả ngay tại địa phương cho người dân.

So với mổ mở, phẫu thuật nội soi mang lại nhiều lợi ích: Ít xâm lấn, vết mổ nhỏ, giảm đau; phục hồi nhanh, rút ngắn thời gian nằm viện; giảm nguy cơ biến chứng và chi phí điều trị; bảo tồn tối đa mô phổi lành.

Thành công của ca phẫu thuật không chỉ là kết quả của tay nghề bác sĩ, mà còn là minh chứng cho sự đầu tư bài bản về trang thiết bị, quy trình chuyên môn và tinh thần lấy người bệnh làm trung tâm trong điều trị.

Vỡ kén gây nguy hiểm cho người bệnh

Các bác sĩ Bệnh viện Đa khoa Medlatec cho biết, kén khí phổi hay còn gọi là kén khí ở phổi là bệnh lý ít gặp và thường không gây ra những triệu chứng rõ ràng. Trường hợp không được điều trị kịp thời có thể xảy ra vỡ kén, dẫn tới tràn dịch màng phổi và gây nguy hiểm cho người bệnh.

cat-ken-khi-1.jpg
Hình ảnh bệnh nhân ổn định xuất viện - Ảnh BVCC

Bệnh kén khí phổi là căn bệnh do dị tật bẩm sinh ở phổi gây ra hoặc cũng có thể do mắc phải:

Kén khí phổi bẩm sinh: Tình trạng dị tật bẩm sinh ở phổi này khá hiếm gặp. Quá trình cấu tạo thành phổi đã xảy ra lỗi ngay từ khi còn là bào thai. Trong phổi có nhiều nang tuyến nhỏ nhưng không có nhu mô. Phần lớn những nang này đều có cấu trúc đơn giản, chỉ có một lớp bao bọc kén khí bên trong. Chính vì cấu trúc đơn giản nên những nang này không thực hiện được các chức năng hô hấp.

Đến nay, khoa học vẫn chưa tìm ra nguyên nhân dẫn đến nay khoa học vẫn chưa tìm ra được nguyên nhân dẫn tới dị tật bẩm sinh này là gì và kén khí phổi cũng được cho là không liên quan đến yếu tố di truyền.

Kén khí phổi do một số bệnh lý mắc phải: Là những trường hợp mắc bệnh thứ phát do một số bệnh lý như:

Áp xe phổi hoặc rách phổi vì chấn thương tai nạn hay chấn thương lao động,

Nhiễm trùng có tạo kén do nhiễm sán chó, do bệnh nấm phổi, lao phổi …

Khí phế thũng phổi do các bệnh lý như COPD,...

Phần lớn những trường hợp bị kén khí phổi đều không có triệu chứng gì đặc biệt, thậm chí có những bệnh nhân đã sống chung với bệnh trong nhiều năm mà không hề hay biết. Rất nhiều người bệnh tình cờ được chẩn đoán trong các cuộc khám sức khỏe định kỳ.

Tuy nhiên, một số kén to có thể gây chèn ép vào các cơ quan lân cận hoặc bị nhiễm khuẩn gây mủ, khiến người bệnh cảm thấy bất thường và đi khám. Lúc này, mới phát hiện ra bệnh.

Bệnh có thể nhận biết qua một số triệu chứng lâm sàng: Nhiễm trùng, ho ra máu, vỡ kén gây tràn khí phổi,…

Nếu không điều trị dứt điểm bệnh có thể gây ra một số biến chứng nguy hiểm như:

- Tình trạng kén bị nhiễm khuẩn và vỡ ra thông với phế quản.

- Nếu chỗ vỡ thủng vào màng phổi có thể dẫn đến tràn mủ màng phổi.

- Những trường hợp kén khí có kích thước lớn gây chèn ép vào các vùng lân cận.

- Kén khí phổi đè vào khí quản gây khó thở, xẹp phổi. Những thùy phổi bị xẹp sẽ tăng nguy cơ nhiễm khuẩn.

- Kén khí đè vào thực quản sẽ khiến bệnh nhân bị khó nuốt, ảnh hưởng đến tiêu hóa.

- Gây suy hô hấp, khi vỡ ra gây tràn khí màng phổi và dẫn đến tử vong.

Bệnh kén khí phổi tuy là bệnh hiếm gặp và có thể gây ra những biến chứng nghiêm trọng nhưng có thể được điều trị hiệu quả nếu phát hiện sớm.

“Kén khí phổi có thể âm thầm tiến triển, đặc biệt ở người hút thuốc lá hoặc mắc bệnh phổi mạn tính.

Việc khám sức khỏe định kỳ và phát hiện sớm đóng vai trò rất quan trọng trong điều trị hiệu quả và phòng ngừa biến chứng nguy hiểm”, bác sĩ Bệnh viện Đa khoa tỉnh Ninh Bình lưu ý người dân.

Tràn khí màng phổi phức tạp do kén khí vỡ

Kén khí phổi là một bệnh lý thường gặp gây nên các biến chứng như chèn ép các phần phổi còn lại, gây xẹp phổi, nhiễm trùng kén khí, chảy máu …

5 ngày không xì hết khí nguy cơ đe dọa tính mạng

Khoa ngoại Lồng ngực, Bệnh viện Đa khoa Trung ương Quảng Nam vừa thực hiện thành công ca phẫu thuật cắt kén khí phức tạp ở phổi cho 1 nam bệnh nhân bị tràn khí màng phổi do vỡ kén khí.

Hút thuốc hơn 40 năm người đàn ông bị kén khí phổi khổng lồ

Kén khí phổi là một dạng tổn thương phế nang gây ra các biến chứng như tràn khí màng phổi, khó thở, đau ngực, ho ra máu hoặc nhiễm trùng.

Kén khí lớn ở phổi, chèn ép hoàn toàn phổi bên trái

Trong lần khám sức khỏe định kỳ dành cho người lao động gần đây, ông N.T.P (61 tuổi, ngụ tại TP Hồ Chí Minh) tình cờ phát hiện có bất thường ở phổi và được hướng dẫn đến bệnh viện chuyên khoa để thăm khám.

Cứu sống trẻ 13 tuổi nguy cấp vì vỡ kén khi gây tràn khí màng phổi

Khi trẻ có dấu hiệu đau ngực, khó thở, mệt bất thường, cần đưa đến bệnh viện ngay để được thăm khám, bởi tràn khí màng phổi có thể đe dọa tính mạng.

Ngày 12/9, Bệnh viện Nhi Thanh Hóa cho biết, đơn vị đã phẫu thuật nội soi thành công cứu sống bệnh nhi 13 tuổi bị tràn khí màng phổi nặng do vỡ kén khí.

Theo đó, ngày 18/8/2025 bệnh nhi T.C.L., 13 tuổi, nhập viện trong tình trạng khó thở, đau tức ngực phải. Sau khi thăm khám, trẻ được chỉ định chụp CT, XQ với hình ảnh chụp X-quang và CT ngực cho thấy, bệnh nhân có kén khí lớn ở thùy trên phổi phải vỡ gây tràn khí khoang màng phổi phải số lượng lớn làm đẩy lệch trung thất, tình trạng nguy cấp.

Đọc nhiều nhất

Tin mới