Cảnh báo nhồi máu cơ tim ở người lớn tuổi mắc nhiều bệnh nền phức tạp

Người cao tuổi tăng huyết áp, đái tháo đường, suy thận, suy tim, hô hấp mạn tính làm tăng nguy cơ nhồi máu cơ tim, khiến việc chẩn đoán, điều trị phức tạp.

Các bác sĩ khoa Can thiệp Tim mạch, Bệnh viện Đa khoa Xuyên Á TP HCM vừa thực hiện thành công ca can thiệp đặt stent mạch vành, cứu sống cụ bà 70 tuổi khỏi tình trạng nguy kịch do nhồi máu cơ tim cấp kèm phù phổi cấp.

Trường hợp này tiếp tục gióng lên hồi chuông cảnh báo về nguy cơ tim mạch âm thầm ở người cao tuổi có nhiều bệnh lý nền phức tạp.

nhoi-mau-co-tim-1.jpg
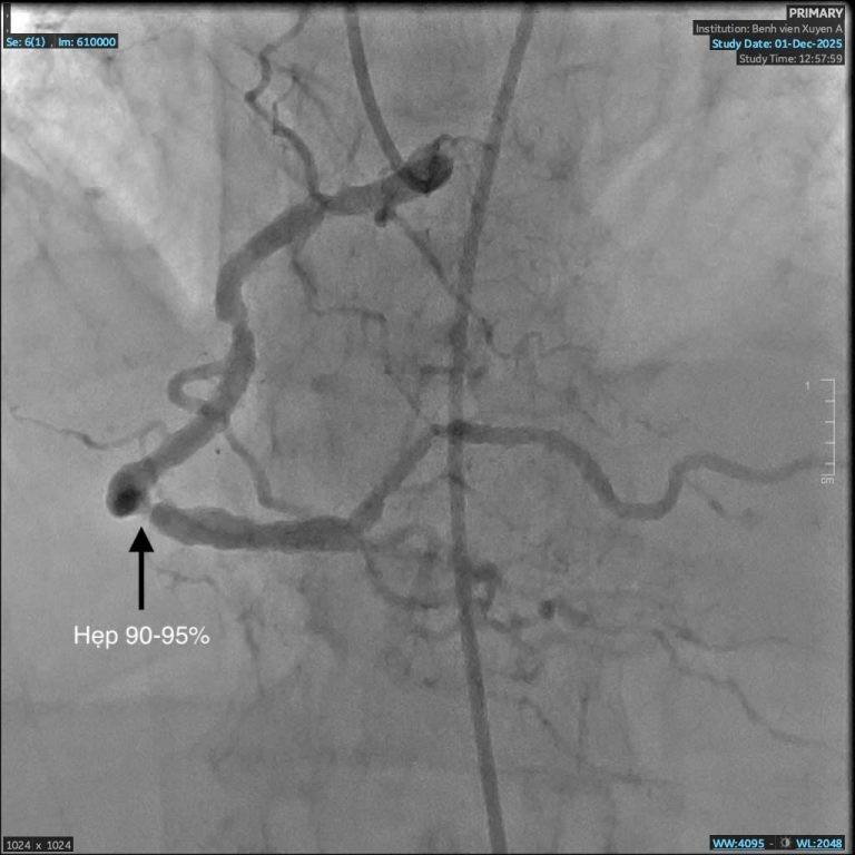
Mạch máu hẹp trước can thiệp - Ảnh BVCC

Hẹp nặng ba nhánh mạch vành kèm vôi hóa

Nửa đêm, bà C. (70 tuổi, Củ Chi) lên cơn khò khè, khó thở, đau nặng ngực. Gia đình cho bà dùng thuốc trị hen suyễn, nhưng tình trạng không cải thiện. Nhận thấy điều bất ổn, gia đình liền đưa bà đến Bệnh viện Đa khoa Xuyên Á cấp cứu.

Bà C. vốn dĩ là một bệnh nhân lớn tuổi, nhiều năm nay bà sống chung với vô số bệnh lý nền phức tạp như: tăng huyết áp, đái tháo đường, suy thận, hen suyễn, suy tim.

Ngay khi tiếp nhận, các bác sĩ khoa Cấp Cứu đã thăm khám và ban đầu xác định bệnh nhân bị phù phổi cấp. Người bệnh được chuyển lên khoa Hồi sức Tích cực để điều trị ổn định tình trạng suy hô hấp, sau đó chuyển bệnh nhân lên phòng DSA chụp mạch máu nuôi tim kiểm tra tình trạng tim mạch.

nhoi-mau-co-tim-2.jpg
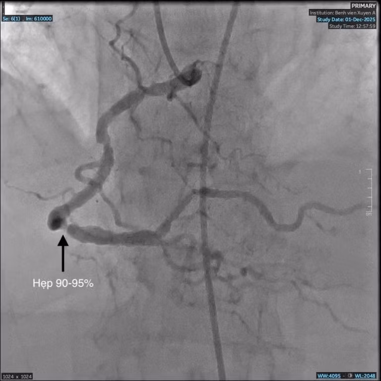
Mạch máu trước can thiệp hẹp đến 95% - Ảnh BVCC

Kết quả chụp động mạch vành phát hiện bà C. bị hẹp nặng ba nhánh mạch vành, rơi vào nguy kịch nhồi máu cơ tim. Đây là nguyên nhân chính khiến bà khó thở, đau nặng ngực.

Với bệnh lý nhồi máu cơ tim nguy hiểm này, nếu không được phát hiện và can thiệp kịp thời, người bệnh sẽ rơi vào nguy cơ sốc tim, rối loạn nhịp dẫn đến tử vong. Không chần chừ, các bác sĩ khoa Can thiệp Tim mạch quyết định can thiệp nong và đặt stent động mạch vành nhằm tái thông dòng máu nuôi tim.

Sau can thiệp, tình trạng huyết động của bệnh nhân dần ổn định, triệu chứng khó thở giảm rõ rệt, người bệnh qua cơn nguy kịch. Bệnh nhân tiếp tục được theo dõi sát và điều trị tích cực tại khoa Can thiệp Tim mạch, kết hợp kiểm soát các bệnh lý nền như tăng huyết áp, đái tháo đường và suy thận.

nhoi-mau-co-tim.png
Ê- kíp can thiệp cho bệnh nhân - Ảnh BVCC

BS Giản Tư Trí, khoa Can thiệp Tim mạch, Bệnh viện Đa khoa Xuyên Á cho biết: “Bệnh nhân C. có tiền căn hen phế quản vào viện trong tình trạng suy hô hấp, việc chẩn đoán gặp nhiều khó khăn.

Trong quá trình can thiệp, dưới hướng dẫn của hệ thống số hóa xóa nền DSA, ê-kíp nhận thấy mạch vành của bệnh nhân bị vôi hóa nhiều do đái tháo đường, suy thận lâu năm.

Vôi hóa là “kẻ thù” của can thiệp mạch vành, gây khó khăn cho việc nong và đặt stent, thậm chí khiến việc can thiệp thất bại. Nhưng với sự tỉ mỉ và kinh nghiệm xử trí nhiều ca đặt stent phức tạp trước đó, các bác sĩ khoa Can Thiệp Tim Mạch đã vượt qua thách thức và đặt stent thành công, tái thông mạch máu nuôi tim, cứu bà C. qua cơn nguy kịch”.

nhoi-mau-co-tim-3.jpg
Mạch máu sau khi đặt stent - Ảnh BVCC

Cảnh báo nguy cơ nhồi máu cơ tim ở người lớn tuổi mắc nhiều bệnh lý nền

Từ trường hợp bệnh nhân C. cho thấy, ở người cao tuổi, đặc biệt là người có nhiều bệnh nền, nhồi máu cơ tim không phải lúc nào cũng biểu hiện bằng cơn đau ngực điển hình. Thay vào đó, bệnh có thể khởi phát bằng các triệu chứng không đặc hiệu như khó thở, mệt. Điều này dễ khiến người bệnh và gia đình bỏ sót, dẫn đến nhập viện muộn, làm tăng nguy cơ biến chứng và tử vong.

Ca bệnh này cho thấy sự nguy hiểm của việc chồng lấp nhiều bệnh lý nền ở người cao tuổi. Tăng huyết áp, đái tháo đường, suy thận, suy tim hay bệnh hô hấp mạn tính không chỉ làm tăng nguy cơ nhồi máu cơ tim mà còn khiến việc chẩn đoán và điều trị trở nên phức tạp hơn, nguy cơ biến chứng và tử vong cao hơn.

nhoi-mau-co-tim-4.jpg
Sau can thiệp stent, tái thông được mạch máu - Ảnh BVCC

Bác sĩ Giản Tư Trí khuyến cáo, những người bị tăng huyết áp, đái tháo đường, mỡ máu, suy thận mạn, hút thuốc lá là những đối tượng có nguy cơ cao nhồi máu cơ tim. Khi có biểu hiện đau ngực, khó thở, giảm khả năng gắng sức thì nên đến bệnh viện ngay để được thăm khám và điều trị kịp thời.

Đặc biệt, người lớn tuổi mắc nhiều bệnh nền và có nguy cơ cao mắc bệnh lý động mạch vành thì nên theo dõi tái khám và tầm soát bệnh lý bằng các cận lâm sàng như siêu âm tim, đo điện tim, CT mạch vành để giảm nguy cơ bị nhồi máu cơ tim trong tương lai.

Tầm soát và theo dõi sức khỏe tim mạch định kỳ chính là “chìa khóa” giúp bảo vệ tính mạng cho người cao tuổi có bệnh nền phức tạp, tránh những biến cố nguy hiểm xảy ra bất ngờ, đặc biệt trong đêm khuya khi việc cấp cứu gặp nhiều khó khăn.

Nhồi máu cơ tim cấp, chậm 1 phút mất hàng triệu tế bào cơ tim

Nhồi máu cơ tim cấp là một trong những nguyên nhân tử vong tim mạch hàng đầu, tỷ lệ tử vong tăng nhanh theo từng phút nếu không được xử trí kịp thời.

Nhồi máu cơ tim cấp là một trong những nguyên nhân tử vong tim mạch hàng đầu. Đặc biệt ở những trường hợp nhập viện muộn hoặc xuất hiện biến chứng nặng, tỷ lệ tử vong tăng nhanh theo từng phút nếu không được chẩn đoán và xử trí kịp thời.

Bệnh viện 19-8, Bộ Công an vừa cấp cứu và điều trị thành công một trường hợp nhồi máu cơ tim cấp ST chênh lên diễn biến nguy kịch, nhờ phát hiện sớm, hồi sức tích cực kịp thời và phối hợp chặt chẽ giữa Khoa Tim mạch và Khoa Điều trị tích cực – Chống độc.

Hồi sinh bệnh nhân ngừng tuần hoàn do nhồi máu cơ tim cấp ngoài viện

Bệnh nhân 51 tuổi vượt qua ngừng tim kéo dài 2 giờ nhờ chuỗi cấp cứu liên tục, thể hiện vai trò quan trọng của hồi sức tim mạch chuyên sâu.

Khoa Hồi sức Tim mạch, Bệnh viện Trung ương Quân đội 108 (Bệnh viện TWQĐ 108) vừa tiếp nhận và điều trị thành công một bệnh nhân nam, 51 tuổi, quê Thanh Hóa, ngừng tuần hoàn do nhồi máu cơ tim cấp.

Ca bệnh là minh chứng rõ nét cho năng lực hồi sức tim mạch chuyên sâu, tinh thần không bỏ cuộc và sự phối hợp hiệu quả của chuỗi cấp cứu liên tục.

Người đàn ông 45 tuổi bị nhồi máu cơ tim do thói quen hút thuốc từ 12 tuổi

Một bệnh nhân trẻ tuổi bị nhồi máu cơ tim do thuốc lá, nhấn mạnh tầm quan trọng của khám sức khỏe định kỳ và bỏ thuốc để giảm nguy cơ tử vong.

Theo Vietnamnet, một người đàn ông 45 tuổi (trú tại phường Tân Định, TP HCM) vừa được các bác sĩ cấp cứu thành công trong tình trạng nguy kịch do nhồi máu cơ tim cấp, biến chứng sốc tim. Trường hợp này nếu chậm thêm vài giờ, bệnh nhân có thể ngưng tim và tử vong.

Theo thông tin từ bệnh viện, bệnh nhân bắt đầu hút thuốc lá từ năm 12 tuổi. Đến nay, người bệnh vẫn duy trì thói quen hút khoảng 2 gói thuốc mỗi ngày. Bệnh nhân không đi khám sức khỏe định kỳ nên không rõ có bệnh nền hay không.

Đọc nhiều nhất

Lợi ích sức khỏe của táo đỏ

Lợi ích sức khỏe của táo đỏ

Đông y cho rằng táo đỏ có tác dụng bổ khí huyết, kiện tỳ vị, an thần nên thường cho vào các bài thuốc có tác dụng bồi bổ cơ thể.

Tin mới

Lợi ích sức khỏe của táo đỏ

Lợi ích sức khỏe của táo đỏ

Đông y cho rằng táo đỏ có tác dụng bổ khí huyết, kiện tỳ vị, an thần nên thường cho vào các bài thuốc có tác dụng bồi bổ cơ thể.