Giá đắt của sự chủ quan bỏ điều trị lao phổi, hút thuốc lá

Với những người nghiện thuốc lá sẽ làm suy giảm miễn dịch, phá hủy cấu trúc phổi, giảm hiệu quả điều trị và khiến các bệnh lý hô hấp tiến triển nhanh.

Bệnh nhân H.K.C (73 tuổi, Hà Nội) được đưa vào Khoa Cấp cứu, Bệnh viện Bệnh Nhiệt đới Trung ương trong tình trạng suy hô hấp nặng, thể trạng suy kiệt kéo dài.

Theo khai thác từ người nhà, bệnh nhân có tiền sử hút thuốc lá nhiều năm, trung bình khoảng một bao mỗi ngày, đồng thời sử dụng rượu bia thường xuyên từ khi còn trẻ.

Hơn một năm trước, người bệnh từng được chẩn đoán mắc bệnh phổi mạn tính và lao phổi tại cơ sở y tế, đã được chỉ định điều trị nhưng chỉ uống thuốc trong thời gian ngắn rồi tự ý bỏ dở, không tuân thủ phác đồ và không tái khám theo hẹn.

hut-thuoc.jpg
Bệnh nhân suy hô hấp nặng - Ảnh BVCC

Khoảng bốn ngày trước khi nhập viện, bệnh nhân xuất hiện mệt mỏi nhiều, ăn uống kém, sau đó khó thở tăng dần, kèm theo ho nhiều. ThS.BS Trương Tư Thế Bảo cho biết, khi vào viện, chỉ số SpO₂ của bệnh nhân chỉ khoảng 85% khi thở khí phòng.

Người bệnh thở nhanh, thở gắng sức, co kéo cơ hô hấp rõ, toàn trạng suy kiệt, da niêm mạc nhợt. Các xét nghiệm ban đầu ghi nhận rối loạn toan chuyển hóa, lactate tăng cao, gợi ý tình trạng suy tuần hoàn và theo dõi sốc nhiễm trùng. Bệnh nhân nhanh chóng được đặt nội khí quản và thở máy.

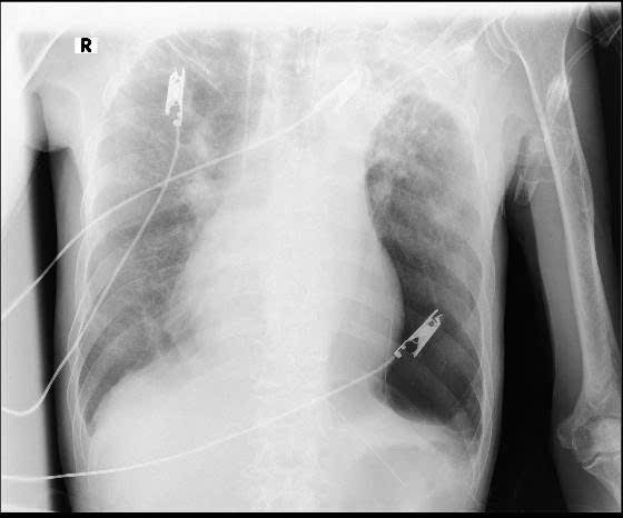
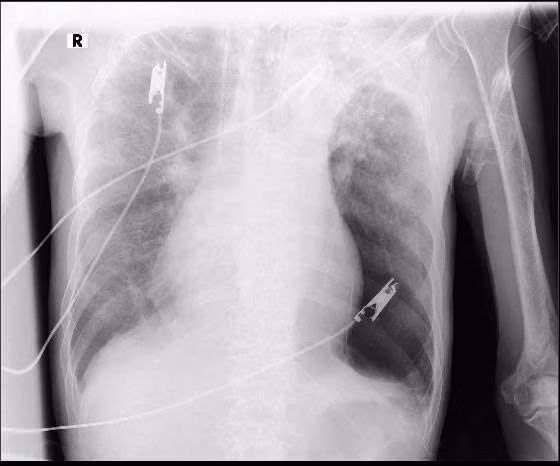
Kết quả chẩn đoán hình ảnh cho thấy tổn thương phổi hai bên rất nặng, kèm theo tràn dịch màng phổi bên phải và tràn khí màng phổi bên trái. Xét nghiệm đờm phát hiện trực khuẩn kháng cồn – kháng toan, gợi ý lao phổi đang hoạt động trên nền phổi đã bị phá hủy kéo dài.

hut-thuoc4.jpg
Phổi của bệnh nhân trên phim chụp - Ảnh BVCC

Theo ThS.BS Trương Tư Thế Bảo, đây là hậu quả điển hình của lao phổi không được điều trị triệt để, kết hợp với việc hút thuốc lá và lạm dụng rượu bia trong nhiều năm, khiến cấu trúc phổi bị tổn thương lan tỏa, khả năng trao đổi khí suy giảm nghiêm trọng và rất khó hồi phục.

Hiện bệnh nhân đang được duy trì thở máy và hồi sức tích cực. Tình trạng tạm thời ổn định nhưng tiên lượng còn rất dè dặt do tổn thương phổi hai bên nặng nề, nền thể trạng suy kiệt và bệnh lao kéo dài không được kiểm soát.

“Lao phổi là bệnh hoàn toàn có thể điều trị khỏi nếu người bệnh tuân thủ đúng phác đồ. Việc bỏ thuốc giữa chừng không chỉ khiến bệnh nặng lên mà còn làm tăng nguy cơ kháng thuốc, gây tổn thương phổi không hồi phục và đe dọa trực tiếp tính mạng”, ThS.BS Trương Tư Thế Bảo nhấn mạnh.

hut-thuoc-1.jpg
Điều trị tích cực cho bệnh nhân - Ảnh BVCC

Các bác sĩ cảnh báo, với những người nghiện thuốc lá, đặc biệt là người cao tuổi hoặc đang mắc các bệnh phổi mạn tính, việc tiếp tục hút thuốc sẽ làm suy giảm miễn dịch, phá hủy cấu trúc phổi, giảm hiệu quả điều trị và khiến các bệnh lý hô hấp như lao phổi tiến triển nhanh, nặng và khó kiểm soát hơn. Cai thuốc lá không chỉ là khuyến cáo mà là yêu cầu bắt buộc trong quá trình điều trị các bệnh phổi.

Từ ca bệnh này, các bác sĩ khuyến cáo người dân tuyệt đối không chủ quan với lao phổi. Đây là bệnh cần được điều trị đầy đủ, đúng thời gian và theo dõi chặt chẽ.

Khi có các dấu hiệu như ho kéo dài, khó thở, mệt mỏi, sụt cân, người dân cần đi khám sớm và tuân thủ điều trị đúng chuyên khoa để tránh những hậu quả nặng nề, không thể đảo ngược.

Người đàn ông 66 tuổi mắc ung thư vú khổng lồ do tự điều trị

Nam giới vẫn có nguy cơ mắc ung thư vú, dù tỷ lệ thấp chớ nên chủ quan và điều trị không đúng cách khiến bệnh tiến triển nặng đe dọa sức khỏe.

Ung thư vú được xem là bệnh lý thường gặp ở nữ giới, tuy nhiên nam giới vẫn có nguy cơ mắc bệnh, dù tỷ lệ thấp. Trường hợp nam bệnh nhân P. (66 tuổi, Tây Ninh) đang điều trị ung thư vú tại Bệnh viện Đa khoa Xuyên Á là minh chứng rõ nét cho việc chủ quan và tự điều trị không đúng cách khiến bệnh tiến triển nặng đe dọa sức khỏe.

U vú khổng lồ, lở loét do đắp thuốc nam

Làm chủ phẫu thuật cắt kén khí phổi ngay tại Ninh Bình

Kén khí phổi là bệnh hiếm gặp, có thể gây ra những biến chứng nghiêm trọng nhưng có thể điều trị hiệu quả nếu phát hiện sớm.

Phẫu thuật nội soi lồng ngực cắt kén khí phổi là kỹ thuật chuyên sâu, thường được triển khai tại các bệnh viện tuyến Trung ương. Việc Trung tâm Ung bướu - Bệnh viện Đa khoa tỉnh Ninh Bình làm chủ và thực hiện độc lập kỹ thuật này đã mở ra cơ hội điều trị hiệu quả ngay tại địa phương cho người dân.

Mệt mỏi, khó thở không ngờ phổi phải nhiều kén khí

Giành lại sự sống cho người bệnh bị sốc nhiễm khuẩn, áp-xe phổi nguy kịch

Sau 7 ngày nỗ lực điều trị tích cực với đầy đủ các kỹ thuật hồi sức chuyên sâu và máy móc hiện đại, cùng 4 lần lọc máu... bệnh nhân đã giành lại sự sống.

Người bệnh nam 61 tuổi, trú tại xã Yên Sơn, tỉnh Phú Thọ đã may mắn thoát khỏi tình trạng nguy kịch do sốc nhiễm khuẩn, áp-xe phổi sau khi được các bác sĩ tại khoa Hồi sức tích cực – Chống độc yêu cầu, Bệnh viện Đa khoa tỉnh Phú Thọ tích cực điều trị, giành giật lại sự sống từ tay “tử thần”.

ap-xe-phoi.jpg
Hình ảnh người bệnh được điều trị tích cực tại khoa Hồi sức tích cực – Chống độc yêu cầu - Ảnh BVCC

Đọc nhiều nhất

Tin mới