Những điều nên nhớ để không chết oan vì viêm phổi thủy đậu

Những điều nên nhớ để không chết oan vì viêm phổi thủy đậu

(Kiến Thức) - Để không chết oan uổng như nữ sinh tử vong do bác sĩ tắc trách, bạn nên phòng, điều trị và phát hiện sớm biến chứng viêm phổi thủy đậu.

Thủy đậu xảy ra nhiều nhất vào mùa Đông Xuân, từ cuối năm dương lịch cho đến tháng 4 hàng năm. Bệnh thường thấy ở trẻ 5-9 tuổi nhưng có thể gặp ở mọi lứa tuổi. Nếu phòng tránh và chữa trị kịp thời sẽ không có trường hợp biến chứng viêm phổi thủy đậu gây chết người như nữ sinh tử vong do bác sĩ tắc trách ở Nghệ An vừa qua.
Thủy đậu xảy ra nhiều nhất vào mùa Đông Xuân, từ cuối năm dương lịch cho đến tháng 4 hàng năm. Bệnh thường thấy ở trẻ 5-9 tuổi nhưng có thể gặp ở mọi lứa tuổi. Nếu phòng tránh và chữa trị kịp thời sẽ không có trường hợp biến chứng viêm phổi thủy đậu gây chết người như nữ sinh tử vong do bác sĩ tắc trách ở Nghệ An vừa qua.
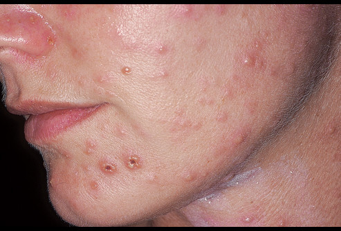
Một trong những dấu hiệu của bệnh thủy đậu là người bệnh sốt cao, đau nhức, sau đó xuất hiện mụn nước trên da, trong vòng 24-48 giờ có thể nổi toàn thân. Trong trường hợp người bệnh có sức đề kháng tốt, mụn nước thường nổi ít hơn và biểu hiện không quá trầm trọng. Tuy nhiên, người mắc thủy đậu càng lớn tuổi thì khả năng bị các biến chứng nguy hiểm như viêm phổi và tử vong giống như bệnh nhân Lý Thị Thu ở Quỳnh Lưu – Nghệ An vừa qua.
Một trong những dấu hiệu của bệnh thủy đậu là người bệnh sốt cao, đau nhức, sau đó xuất hiện mụn nước trên da, trong vòng 24-48 giờ có thể nổi toàn thân. Trong trường hợp người bệnh có sức đề kháng tốt, mụn nước thường nổi ít hơn và biểu hiện không quá trầm trọng. Tuy nhiên, người mắc thủy đậu càng lớn tuổi thì khả năng bị các biến chứng nguy hiểm như viêm phổi và tử vong giống như bệnh nhân Lý Thị Thu ở Quỳnh Lưu – Nghệ An vừa qua.
Viêm phổi thủy đậu có biểu hiện là ho ra máu, khó thở, thở nhanh, sốt cao, tổn thương đường hô hấp. Nếu không chữa trị kịp thời có thể dẫn đến tử vong.
Viêm phổi thủy đậu có biểu hiện là ho ra máu, khó thở, thở nhanh, sốt cao, tổn thương đường hô hấp. Nếu không chữa trị kịp thời có thể dẫn đến tử vong.
Để phòng thủy đậu, bạn nên vệ sinh cá nhân thường xuyên, bổ sung các thực phẩm có lợi cho sức khỏe, luyện tập thể thao để tăng sức đề kháng của cơ thể.
Để phòng thủy đậu, bạn nên vệ sinh cá nhân thường xuyên, bổ sung các thực phẩm có lợi cho sức khỏe, luyện tập thể thao để tăng sức đề kháng của cơ thể.
Cách phòng ngừa bệnh thủy đậu hiệu quả nhất là tiêm vacxin. Trẻ em và người lớn ở mọi lứa tuổi đều có thể tiêm vacxin phòng chống thủy đậu. Đối với phụ nữ trong độ tuổi sinh đẻ, nên tiêm ngừa ít nhất 3 tháng trước khi dự định có thai.
Cách phòng ngừa bệnh thủy đậu hiệu quả nhất là tiêm vacxin. Trẻ em và người lớn ở mọi lứa tuổi đều có thể tiêm vacxin phòng chống thủy đậu. Đối với phụ nữ trong độ tuổi sinh đẻ, nên tiêm ngừa ít nhất 3 tháng trước khi dự định có thai.
Nếu chẳng may bị thủy đậu, bệnh nhân nên đến các cơ sở y tế để thăm khám và chữa trị. Không nên tự chữa trị ở nhà bằng những mẹo dân gian như tắm hoặc uống nước gốc rạ.
Nếu chẳng may bị thủy đậu, bệnh nhân nên đến các cơ sở y tế để thăm khám và chữa trị. Không nên tự chữa trị ở nhà bằng những mẹo dân gian như tắm hoặc uống nước gốc rạ.
Điều trị hạ sốt và vệ sinh thân thể sạch sẽ là những việc tối quan trong để tránh các biến chứng nhiễm trùng. Dân gian cho rằng người mắc bệnh thủy đậu nên kiêng tắm, nhưng đây là quan niệm hoàn toàn phản khoa học vì vệ sinh kém có thể khiến cho các nốt đầu dễ nhiễm trùng hơn.
Điều trị hạ sốt và vệ sinh thân thể sạch sẽ là những việc tối quan trong để tránh các biến chứng nhiễm trùng. Dân gian cho rằng người mắc bệnh thủy đậu nên kiêng tắm, nhưng đây là quan niệm hoàn toàn phản khoa học vì vệ sinh kém có thể khiến cho các nốt đầu dễ nhiễm trùng hơn.
Người bệnh không nên gãi để gây bội nhiễm vi khuẩn, khiến cho các nốt đậu lây lan rộng hơn thậm chí nhiễm trùng. Khi nốt đậu bị nhiễm trùng mà không chữa trị kịp thời sẽ dẫn đến các biến chứng nguy hiểm, trong đó có viêm phổi.
Người bệnh không nên gãi để gây bội nhiễm vi khuẩn, khiến cho các nốt đậu lây lan rộng hơn thậm chí nhiễm trùng. Khi nốt đậu bị nhiễm trùng mà không chữa trị kịp thời sẽ dẫn đến các biến chứng nguy hiểm, trong đó có viêm phổi.
Thủy đậu nếu nhẹ thì rất lành tính và có thể đi khám, lấy thuốc và điều trị tại nhà, không cần nằm viện. Tuy nhiên, bệnh nhân và người nhà cần theo dõi sát sao để phát hiện kịp thời các biến chứng có thể xảy ra.
Thủy đậu nếu nhẹ thì rất lành tính và có thể đi khám, lấy thuốc và điều trị tại nhà, không cần nằm viện. Tuy nhiên, bệnh nhân và người nhà cần theo dõi sát sao để phát hiện kịp thời các biến chứng có thể xảy ra.
Tuyệt đối không tự ý mua thuốc về uống. Vì một số thuốc như corticoide có thể khiến cho bệnh nặng và dễ biến chứng hơn.
Tuyệt đối không tự ý mua thuốc về uống. Vì một số thuốc như corticoide có thể khiến cho bệnh nặng và dễ biến chứng hơn.
Khi thấy cơ thể mệt mỏi, sốt cao li bì, khó thở thì phải đưa bệnh nhân đến các cơ sở y tế càng sớm càng tốt để chẩn đoán và điều trị sớm các biến chứng nếu có.
Khi thấy cơ thể mệt mỏi, sốt cao li bì, khó thở thì phải đưa bệnh nhân đến các cơ sở y tế càng sớm càng tốt để chẩn đoán và điều trị sớm các biến chứng nếu có.

GALLERY MỚI NHẤT