Đối phó với bệnh cúm thế nào? Làm sao để mỗi người mắc bệnh biết cách sử dụng thuốc an toàn, hiệu quả, tránh những sai lầm khiến bệnh trở nên trầm trọng hơn?
Các thuốc chứa hoạt chất Oseltamivir điều trị cúm hiện vẫn đảm bảo về nguồn cung. Cục quản lý dược, Bộ Y tế đã có công văn triển khai các nội dung về đảm bảo nguồn cung thuốc cho các bệnh viện điều trị cúm.
Thời tiết mùa đông xuân với điều kiện khí hậu gió mùa, nồm ẩm, thuận lợi cho các mầm bệnh lây truyền qua đường hô hấp phát triển dẫn đến nguy cơ gia tăng số mắc như cúm mùa, sởi, sốt phát ban...
Chuyên gia dinh dưỡng, TS.BS. Trương Hồng Sơn (Viện Y học ứng dụng Việt Nam) cho biết, chọn hoặc "né" đúng thực phẩm trong khi bị cúm sẽ giúp cơ thể nhanh chóng lành bệnh, tăng tốc độ hồi phục.
Cúm mùa là một bệnh truyền nhiễm gây ra nhiều đại dịch khiến hàng triệu người chết trong lịch sử nhân loại. Cùng điểm qua những đại dịch cúm tàn khốc nhất từng xảy ra.
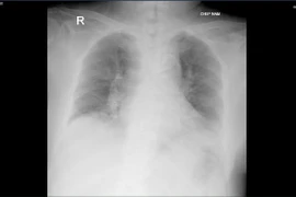
Cúm mùa có thể mắc quanh năm, nhưng thời điểm sau Tết số ca mắc thường tăng cao hơn. Khi mắc cúm mùa mọi người tuyệt đối không nên chủ quan, bệnh hoàn toàn có thể gây biến chứng nặng, thậm chí nguy hiểm đến tính mạng.
Sự ra đi của Từ Hy Viên sau khi nữ diễn viên bị bệnh cúm và viêm phổi khiến nhiều người hoang mang, lo lắng về cách chăm sóc sức khỏe nếu bị mắc căn bệnh này.
Những ngày thời tiết chuyển lạnh sâu, tại Bệnh viện Bãi Cháy (Quảng Ninh) ghi nhận số ca mắc cúm mùa có xu hướng gia tăng, trong đó có nhiều ca diễn biến nặng.
Bệnh cúm mùa thường diễn biến nhẹ, nhưng cũng có thể biến chứng nặng và nguy hiểm hơn ở những người có bệnh lý mạn tính về tim mạch, hô hấp, người bị suy giảm miễn dịch.
Từ năm 2026, phụ nữ sẽ được tiêm miễn phí vắc-xin phòng ung thư cổ tử cung. Đến năm 2030, vắc-xin phòng cúm mùa cũng sẽ được tiêm chủng miễn phí cho mọi đối tượng.
Bệnh cúm thông thường diễn biến nhẹ và hồi phục trong vòng 2-7 ngày. Tuy nhiên, đối với trẻ em, người già sức đề kháng kém, đặc biệt là người có bệnh nền thì bệnh cúm có thể diễn biến nặng hơn.