Viêm túi mật cấp đe dọa tính mạng vì 130 viên sỏi trong túi mật

Bệnh nhân nữ 40 tuổi bất ngờ lấy ra hơn 130 viên sỏi từ túi mật sau phẫu thuật, cảnh báo nguy hiểm của sỏi mật lâu dài và biến chứng nguy hiểm.

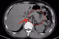
Bệnh nhân nữ, 40 tuổi, nhập Bệnh viện Đa khoa Hùng Vương trong tình trạng đau bụng vùng thượng vị và hạ sườn phải, kèm buồn nôn, chướng nhẹ. Qua thăm khám và siêu âm, các bác sĩ phát hiện sỏi túi mật lâu năm gây viêm túi mật cấp.

Sau hội chẩn, các bác sĩ Khoa Ngoại Tổng hợp quyết định chỉ định phẫu thuật nội soi cắt túi mật nhằm loại bỏ ổ bệnh và ngăn ngừa biến chứng nguy hiểm.

Kết quả khiến ai cũng bất ngờ: 130 viên sỏi với đủ kích thước đã được lấy ra từ túi mật của bệnh nhân. Sau phẫu thuật, bệnh nhân được chuyển về Khoa Ngoại để tiếp tục điều trị và theo dõi sức khỏe.

130-soi-191.jpg
Hơn 130 viên sỏi trong túi mật bệnh nhân - Ảnh VCC

TS.BS Đặng Quốc Ái, Phó trưởng khoa ngoại Bệnh viện E TƯ cho biết, đa phần viêm túi mật cấp là do có sỏi trong túi mật. Đây là một bệnh lý cấp cứu ngoại khoa hàng đầu ở Việt Nam.

Cả sỏi nhỏ và sỏi to đều có thể dẫn tới viêm túi mật. Với sỏi nhỏ, sỏi kẹt ở cổ túi mật, sỏi to kẹt vào Harman hoặc ống túi mật dẫn đến ứ đọng trong túi mật dẫn đến viêm, nhiễm trùng và tổn thương niêm mạc túi mật.

Hầu hết các bệnh nhân viêm túi mật đều có cơn đau bụng quặn gan trước: đau quặn cơn ở thượng vị hay hạ sườn phải, có thể lan lên vai phải, đau thường diễn ra sau bữa ăn nhiều dầu mỡ. Bệnh nhân sốt 38- 38,5 độ. Nếu để muộn hơn, bệnh nhân đau dữ dội, sốt cao, người mệt, lờ đờ...

Tuy nhiên, ở người cao tuổi, các triệu chứng đầu tiên hoặc duy nhất có thể là biểu hiện toàn thân và không đặc hiệu (ví dụ như biếng ăn, nôn, khó chịu, suy nhược, sốt). Đặc biệt nguy hiểm viêm túi mật cấp đa phần do vi khuẩn gram (-) dễ gây sốc nhiễm trùng đường mật gây tử vong nhanh.

TS.BS Nguyễn Thành Khiêm, Trung tâm Phẫu thuật Tiêu hóa - Bệnh viện Bạch Mai cảnh báo, những viên sỏi đường mật nhỏ bé mà nhiều người thường bỏ qua. Nhưng sỏi mật không đơn thuần là bệnh lành tính mà là “kẻ gây viêm” và trở thành “kẻ gây ung thư” đường mật.

Sự phát triển ung thư trên nền sỏi đường mật có thể giải thích bằng một số cơ chế: Sỏi đường mật là tình trạng lắng đọng các chất trong dịch mật tạo thành sỏi. Ban đầu, sỏi có thể chỉ gây ra những cơn đau quặn bụng, sốt, vàng da do tắc nghẽn hoặc viêm.

Tuy nhiên, nếu sỏi tồn tại lâu ngày và gây viêm nhiễm mạn tính, nguy cơ hình thành ung thư đường mật sẽ tăng lên đáng kể.

Vì vậy, các bác sĩ nhắc nhở: Sỏi túi mật có thể tồn tại nhiều năm mà ít triệu chứng rõ ràng. Vì vậy, Khi đau bụng vùng hạ sườn phải, buồn nôn, đầy chướng bụng, người bệnh cần thăm khám sớm để tránh biến chứng nguy hiểm như viêm túi mật hoại tử, viêm phúc mạc, thậm chí nhiễm trùng huyết.

Để phòng ngừa sỏi túi mật, cần duy trì chế độ ăn uống lành mạnh và sinh hoạt điều độ. Nên ăn nhiều rau xanh, trái cây tươi và ngũ cốc nguyên hạt để tăng chất xơ, đồng thời hạn chế chất béo bão hòa từ mỡ động vật và thực phẩm chiên rán.

Cần uống đủ nước mỗi ngày (khoảng 2 lít) và duy trì cân nặng hợp lý, tập thể dục thường xuyên, tránh giảm cân đột ngột, hạn chế rượu bia và không hút thuốc.

Người dân nên khám sức khỏe định kỳ, đặc biệt siêu âm bụng để phát hiện sớm nguy cơ hình thành sỏi túi mật.

Khi có dấu hiệu của căn bệnh, người bệnh cần nhanh chóng thăm khám y tế tại các bệnh viện chuyên khoa để phát hiện và điều trị kịp thời, tránh các biến chứng nguy hiểm đến tính mạng.

Sỏi ống mật chủ tái phát cẩn thận sốc nhiễm trùng đe dọa tính mạng

Các viên sỏi hiện diện bên trong ống mật chủ có thể gây cản trở dịch mật lưu thông, lâu dần dẫn đến biến chứng đe dọa tính mạng.

Khi sỏi ống mật chủ tái phát, người bệnh rất lo lắng vì sợ phải chịu thêm một ca mổ mở nặng nề, ê-kíp quyết định áp dụng phẫu thuật nội soi hiện đại – ít xâm lấn.

Bệnh tái phát sợ mổ vì nhiều lần phẫu thuật

Lạm dụng rượu bia, người đàn ông 47 tuổi viêm tụy cấp

Việc sử dụng rượu, bia lâu dài là yếu tố nguy cơ lớn gây viêm tụy cấp, nếu chậm trễ có thể dẫn tới suy đa tạng, nguy cơ tử vong cao.

Bệnh viện Đa khoa tỉnh Phú Thọ đưa ra cảnh báo nguy cơ viêm tụy cấp do lạm dụng rượu bia từ một ca cấp cứu.

Theo đó, Khoa Cấp cứu tiếp nhận người bệnh N.V.C (47 tuổi, trú tại tỉnh Phú Thọ), nhập viện trong tình trạng đau bụng dữ dội vùng thượng vị, buồn nôn, bụng chướng nhiều… và được chẩn đoán viêm tụy cấp. Đáng chú ý, từ năm 2020 đến nay, người bệnh có thói quen uống rượu mỗi ngày từ 300-500ml.

Gắp hơn 100 viên sỏi từ túi mật của nữ bệnh nhân 54 tuổi

Bệnh viện Đa khoa Trung tâm tỉnh Gia Lai đã thực hiện ca phẫu thuật nội soi cắt túi mật hiếm gặp, lấy ra hơn 100 viên sỏi từ một nữ bệnh nhân 54 tuổi.

Bệnh viện Đa khoa Trung tâm tỉnh Gia Lai vừa thực hiện thành công ca phẫu thuật nội soi cắt túi mật đặc biệt hiếm gặp với gần 100 viên sỏi được lấy ra cho nữ bệnh nhân là bà D.T.N.T. (54 tuổi, trú tại phường Quy Nhơn Nam, tỉnh Gia Lai).

Bà D.T.N.T. nhập viện trong tình trạng đau dữ dội vùng hạ sườn phải, sốt cao và liên tục nôn ói. Kết quả chụp CT cho thấy viêm túi mật hoại tử, nhiễm trùng, bạch cầu tăng cao, buộc phải mổ cấp cứu.

Đọc nhiều nhất

Vì sao nọng heo được ưa chuộng?

Vì sao nọng heo được ưa chuộng?

Nọng heo được ưa chuộng vì sự kết hợp độc đáo giữa vị ngọt của thịt nạc và béo ngậy của mỡ, tạo nên hương vị mềm mọng, giòn sật đặc trưng.

Tin mới

Vì sao nọng heo được ưa chuộng?

Vì sao nọng heo được ưa chuộng?

Nọng heo được ưa chuộng vì sự kết hợp độc đáo giữa vị ngọt của thịt nạc và béo ngậy của mỡ, tạo nên hương vị mềm mọng, giòn sật đặc trưng.