Khi thấy các triệu chứng đau bụng âm ỉ hoặc dữ dội ở vùng hạ sườn phải, buồn nôn, nôn ói, sốt, vàng da, đặc biệt là các cơn đau bụng tái diễn... đừng chủ quan.
Sỏi đường mật nếu không được phát hiện sớm và điều trị kịp thời có thể gây ra nhiều biến chứng nguy hiểm như viêm đường mật, viêm tuỵ, xơ gan…Ngoài ra, sỏi đường mật trong gan là yếu tố nguy cơ gây ung thư đường mật trong gan.
(khoahocdoisong.vn) - Sỏi đường mật là một bệnh lý hay tái phát và có những bệnh nhân phải mổ đi mổ lại hơn chục lần mà vẫn không hết sỏi. Để hạn chế sự tái phát sỏi mật, chế độ ăn uống và sinh hoạt đóng vai trò rất quan trọng.
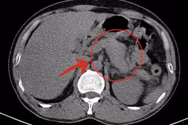
(khoahocdoisong.vn) - Sỏi đường mật trong gan (thường được gọi tắt là sỏi gan), bản chất là sỏi mật nhưng nằm trong các ống gan. Sỏi trong gan thường dễ gây biến chứng hơn so với sỏi tại các vị trí khác trong đường mật.