Phẫu thuật thành công lấy dị vật răng trong đường thở bé trai 10 tuổi

Chấn thương vùng hàm mặt, răng gãy hoặc rơi ra có thể bị hít vào đường thở mà không biểu hiện rầm rộ ngay từ đầu, dễ bị bỏ sót.

Bệnh viện Nhi đồng 1 vừa cấp cứu thành công cho bệnh nhi P.V.K (10 tuổi, Cần Thơ) khi lấy được dị vật răng trong đường thở của bé.

Theo lời khai từ gia đình, ngày 24/12/2025, bé gặp tai nạn giao thông khi đang điều khiển xe đạp điện và va chạm vào đuôi xe tải chạy cùng chiều, bé không đội mũ bảo hiểm, có va đập vùng đầu nhưng vẫn tỉnh táo, không mất ý thức, có ho và khó thở ít.

Sau đó, bé được đưa vào bệnh viện địa phương sơ cứu ban đầu và chuyển đến Bệnh viện Nhi đồng 1 để tiếp tục điều trị.

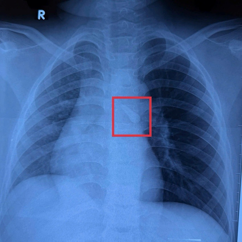
Hình ảnh X-quang của bé ghi nhận một dị vật cản quang ở khí quản. Khai thác bệnh sử và tổn thương vùng hàm mặt thấy bé bị mất răng số 21, từ đó nghĩ đến khả năng răng bị hít sặc vào đường thở sau chấn thương mà bé không để ý.

rang.jpg
Hình ảnh X-quang của bé ghi nhận một dị vật cản quang ở khí quản - Ảnh BVCC

Bé được chẩn đoán: Vỡ xương sàn ổ mắt; Đụng giập nhãn cầu; Dị vật đường thở (răng); Chấn thương đầu; Vết thương đầu sau tai nạn giao thông. Bệnh nhi nhanh chóng được hội chẩn liên chuyên khoa Ngoại thần kinh- Ngoại tổng hợp- Mắt- Răng hàm mặt-Tai mũi họng.

Trước nguy cơ tắc nghẽn đường thở và các biến chứng hô hấp nguy hiểm, bệnh nhi được ê-kíp bác sĩ chỉ định nội soi đường thở can thiệp khẩn, cũng như ổn định các tình trạng chuyên khoa khác. Ca phẫu thuật được thực hiện bởi TS.BS Phú Quốc Việt, Phó khoa Tai mũi họng Bệnh viện Nhi đồng 1, với sự phối hợp chặt chẽ của ê-kíp gây mê – hồi sức.

rang-1.jpg
Nội soi phát hiện răng trong khí quản bệnh nhi - Ảnh BVCC

Qua nội soi, TS.BS Việt ghi nhận dị vật là một chiếc răng nằm trong carina của khí quản và đã gắp ra thành công. Sau phẫu thuật, đường thở của bệnh nhi thông thoáng, không ghi nhận chảy máu hay biến chứng. Trẻ tỉnh táo, hô hấp ổn định, ăn uống được và tiếp tục được theo dõi tại khoa.

di-vat.png
Chiếc răng nằm trong carina của khí quản và đã gắp ra thành công - Ảnh BVCC

Theo BS.CKI Lý Phạm Hoàng Vinh, Khoa Tai Mũi Họng, Bệnh viện Nhi đồng 1, dị vật đường thở ở trẻ em là một tình trạng cấp cứu nguy hiểm, có thể gây suy hô hấp và đe dọa tính mạng nếu không được xử trí kịp thời.

Đặc biệt trong các trường hợp chấn thương vùng hàm mặt, răng gãy hoặc rơi ra có thể bị hít vào đường thở mà không biểu hiện rầm rộ ngay từ đầu, dễ bị bỏ sót.

Do đó, khi trẻ gặp tai nạn hoặc có dấu hiệu nghi ngờ sặc dị vật, gia đình cần đưa trẻ đến cơ sở y tế có chuyên khoa phù hợp càng sớm càng tốt để được chẩn đoán và can thiệp kịp thời.

Xử trí thành công 2 ca dị vật đường thở nguy hiểm

Chỉ trong một tuần, Bệnh viện Phổi Nghệ An đã xử lý thành công hai ca dị vật đường thở, giúp bệnh nhân nhanh chóng hồi phục nhờ nội soi phế quản.

Thông tin từ Bệnh viện Phổi Nghệ An, chỉ trong 1 tuần, đơn vị đã tiếp nhận và gắp thành công hai ca dị vật đường thở đường thở. Cả hai trường hợp đều được gắp bỏ dị vật qua nội soi phế quản, giúp giải phóng đường thở và cải thiện nhanh tình trạng hô hấp.

Trường hợp thứ nhất, dị vật đường thở là hạt hồng xiêm gây viêm phổi

Nhổ răng tại phòng khám tư, răng rơi vào phế quản trẻ 8 tuổi

Bé trai 8 tuổi ho kéo dài, mệt mỏi suốt 1 tháng, bác sĩ phát hiện dị vật là một chiếc răng trong phế quản.

Giật mình vì viêm phổi kéo dài do răng trú ngụ trong phế quản

Một trường hợp hy hữu nhưng vô cùng nguy hiểm vừa được các bác sĩ Bệnh viện Đa khoa Hùng Vương phát hiện khi tiếp nhận bệnh nhi 8 tuổi vào viện trong tình trạng ho kéo dài gần 1 tháng, 5 ngày gần đây trẻ mệt nhiều, ho đờm, ăn uống kém.

Viêm phổi kéo dài do hạt hồng xiêm mắc sâu ở thùy dưới phổi phải

Nhiều ca hóc, sặc dị vật đường thở đến viện muộn đã gặp biến chứng nghiêm trọng, ảnh hưởng nặng nề tới chức năng hô hấp.

Các bác sĩ Bệnh viện Hữu Nghị Việt Nam - Cu Ba Đồng Hới đã thành công lấy hạt hồng xiêm mắc sâu trong thùy phổi bệnh nhân và đưa ra cảnh báo về dị vật đường thở ở người lớn.

Theo đó, bệnh nhân nữ 67 tuổi nhập viện vì ho kéo dài, đau ngực âm ỉ. Qua nội soi phế quản, các bác sĩ tại khoa Thăm dò chức năng - Nội soi đã phát hiện một hạt hồng xiêm mắc sâu ở thùy dưới phổi phải, gây tắc nghẽn và viêm phổi kéo dài. Nhờ can thiệp nội soi phế quản, dị vật được lấy ra an toàn và bệnh nhân hồi phục tốt.

Đọc nhiều nhất

Tin mới