Tiểu khó đi khám người đàn ông phát hiện mắc đồng thời hai loại ung thư

Bệnh nhân mắc đồng thời hai loại ung thư nguyên phát gồm ung thư phổi và ung thư tuyến tiền liệt, được phát hiện trong khoảng thời gian chưa đầy 2 tháng.

Các bác sĩ Trung tâm Y học hạt nhân và Ung bướu, Bệnh viện Bạch Mai vừa tiếp nhận và điều trị thành công một trường hợp hiếm gặp, bệnh nhân mắc đồng thời hai loại ung thư nguyên phát gồm ung thư phổi và ung thư tuyến tiền liệt, được phát hiện trong khoảng thời gian chưa đầy 2 tháng.

Theo các chuyên gia, tình trạng đa ung thư nguyên phát đồng thì (Synchronous Multiple Primary Malignancies) là khi hai hoặc nhiều khối u ác tính xuất hiện độc lập trong thời gian ngắn. Mặc dù ung thư phổi và ung thư tuyến tiền liệt đều là những bệnh lý thường gặp ở nam giới, song việc cùng xuất hiện trên một bệnh nhân là tương đối hiếm.

Phát hiện nhiều khối u ở phổi, tuyến thượng thận và xương

Bệnh nhân nam, 63 tuổi, nhập viện trong tình trạng tiểu khó kéo dài. Qua thăm khám và thực hiện các kỹ thuật cận lâm sàng như chụp cắt lớp vi tính (CT), cộng hưởng từ (MRI), xạ hình xương và đặc biệt là PET/CT, các bác sĩ phát hiện tổn thương tại tuyến tiền liệt cùng nhiều khối u ở phổi, tuyến thượng thận và xương.

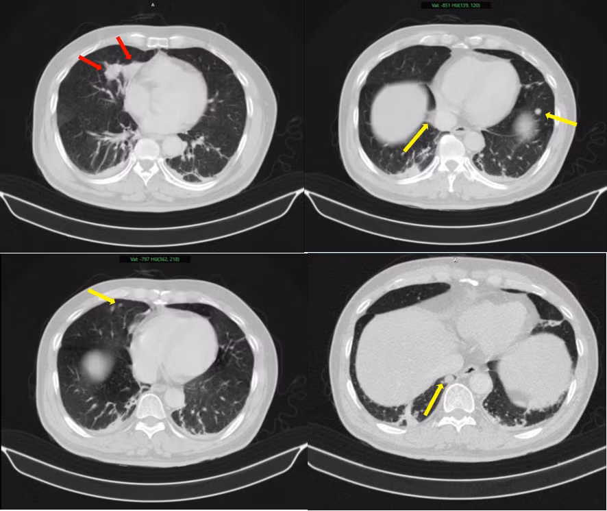
ung-thu-phoi-1.png
Hình ảnh 2 khối u bờ đa cung ở nhu mô thùy giữa phổi phải, dính vào màng phổi trung thất (mũi tên đỏ) kèm nhiều nốt đặc nhỏ rải rác nhu mô phổi hai bên (mũi tên vàng) gợi ý tổn thương thứ phát - Ảnh BVCC

Thách thức lớn nhất trong trường hợp này là xác định bản chất các tổn thương: đâu là khối u nguyên phát, đâu là di căn. Nếu chẩn đoán không chính xác, việc lựa chọn phương pháp điều trị có thể sai lệch, ảnh hưởng trực tiếp đến hiệu quả điều trị.

Kết quả sinh thiết và phân tích mô bệnh học kết hợp hóa mô miễn dịch đã giúp làm rõ: khối u phổi là ung thư biểu mô tuyến của phổi, trong khi khối u tuyến tiền liệt là ung thư biểu mô tuyến với điểm Gleason 9 - thuộc nhóm nguy cơ cao. Hai loại ung thư này có nguồn gốc hoàn toàn khác nhau, không phải di căn chéo.

Chiến lược điều trị cá thể hóa

Sau khi hội chẩn chuyên môn, các bác sĩ đã xây dựng phác đồ điều trị phù hợp, ưu tiên kiểm soát bệnh toàn thân. Cụ thể, bệnh nhân được chỉ định hóa trị ung thư phổi bằng phác đồ Pemetrexed kết hợp Carboplatin, đồng thời điều trị nội tiết cho ung thư tuyến tiền liệt bằng Degarelix.

Sau 2-3 tháng điều trị, tình trạng bệnh nhân ổn định, các triệu chứng lâm sàng cải thiện, các chỉ số dấu ấn ung thư có xu hướng giảm, cho thấy đáp ứng điều trị bước đầu tích cực.

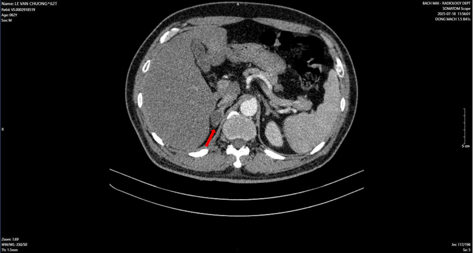
ung-thu-phoi.png
Hình ảnh dày tuyến thượng thận phải tạo nốt có kích thước 19 x 17 mm (mũi tên đỏ) - Ảnh BVCC

Trường hợp này là minh chứng rõ nét cho vai trò quan trọng của chẩn đoán chính xác trong các ca bệnh phức tạp. Việc phân biệt ung thư nguyên phát với tổn thương di căn không chỉ giúp lựa chọn đúng phác đồ điều trị mà còn góp phần nâng cao hiệu quả điều trị và chất lượng sống cho người bệnh.

“Với sự phát triển của y học hiện đại, ngày càng ghi nhận nhiều trường hợp mắc đa ung thư nguyên phát. Do đó, việc thăm khám định kỳ, phát hiện sớm và phối hợp đa chuyên khoa trong chẩn đoán, điều trị là yếu tố then chốt giúp kiểm soát bệnh hiệu quả”, các chuyên gia khuyến cáo.

GS.TS Mai Trọng Khoa, PGS.TS Phạm Cẩm Phương (Trung tâm ung bướu, Bệnh viện Bạch Mai)

>>> Mời quý độc giả theo dõi video: Hỏa hoạn thiêu cháy 13 căn nhà của 8 hộ dân tại Cà Mau

Xạ trị cải thiện chất lượng sống, tuổi thọ bệnh nhân ung thư tiền liệt tuyến

Ung thư tiền liệt tuyến nếu phát hiện sớm bệnh, điều trị đúng phác đồ, theo dõi lâu dài, người bệnh hoàn toàn có thể kiểm soát bệnh, duy trì cuộc sống ổn định.

Tại Bệnh viện Bãi Cháy (tỉnh Quảng Ninh), các bác sĩ đã làm chủ các kỹ thuật xạ trị tiên tiến, xây dựng phác đồ điều trị cá thể hóa và phối hợp đa mô thức giúp bệnh nhân ung thư tiền liệt tuyến cải thiện sức khỏe, chất lượng cuộc sống, giảm triệu chứng bất lợi và kéo dài thời gian sống.

Điều trị chuyên sâu bằng xạ trị điều biến liều IMRT – duy trì chất lượng cuộc sống, kiểm soát tái phát

'Nốt mờ' bằng hạt đậu ở phổi, dễ ung thư đe dọa tính mạng

Ung thư phổi thường tiến triển âm thầm, vì vậy việc chờ có triệu chứng mới đi khám có thể khiến người bệnh bỏ lỡ cơ hội điều trị triệt căn.

Ung thư phổi không còn xa lạ tại Việt Nam, nhưng vẫn là “sát thủ thầm lặng” khi đứng thứ 3 về tỷ lệ tử vong trong các bệnh ung thư. Đáng lo ngại, ngay cả những khối u rất nhỏ - chỉ dưới 1cm cũng có tỷ lệ ác tính cao.

Tuy nhiên, một hướng tiếp cận mới đang được triển khai tại Bệnh viện Bạch Mai, kết hợp trí tuệ nhân tạo (AI) “Make in Vietnam” với các phác đồ điều trị tiên tiến, mở ra cơ hội: phát hiện sớm - điều trị triệt căn.

Cảnh báo, nhiều người chụp CT phổi kiểm tra sức khỏe phát hiện ung thư

Phát hiện sớm ung thư phổi duy nhất chỉ có thể dựa vào chụp CT.

Nhờ kiểm tra sức khỏe phát hiện sớm ung thư phổi

Ngày 27/2, TS.BS Nguyễn Ngọc Cương, Trưởng khoa Can thiệp Điện quang - Trung tâm Chẩn đoán Hình ảnh và Can thiệp Điện quang, Bệnh viện Đại học Y Hà Nội cho biết, trong một tuần cuối năm 2025, bác sĩ liên tiếp gặp ba bệnh nhân giống nhau đến tình cờ. Không liên quan đến nhau, nhưng đều kết thúc bằng một chẩn đoán giống hệt: ung thư phổi giai đoạn sớm.

Đọc nhiều nhất

Tin mới