Hạt hồng xiêm gây đông đặc nhu mô phổi cụ bà 90 tuổi

Dị vật bỏ quên lâu ngày bám chắc và sâu hơn, gây ra nhiễm trùng đường hô hấp, biến chứng gây áp xe phổi, tràn mủ màng phổi, giãn phế quản...

Một cụ bà 90 tuổi được các bác sĩ Bệnh viện Đa khoa tỉnh Quảng Ninh vô tình phát hiện dị vật hạt hồng xiêm nằm sâu trong phế quản khi đang điều trị bệnh lý khác tại viện.

Nhờ kỹ thuật nội soi khéo léo và chính xác, bác sĩ khoa Hô hấp đã gắp thành công dị vật ra ngoài, giúp tránh nguy cơ biến chứng hô hấp nghiêm trọng ở người cao tuổi.

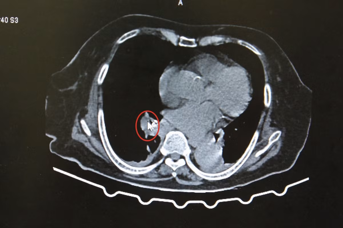
Bệnh nhân là N.T.L (90 tuổi) ở phường Cao Xanh, tỉnh Quảng Ninh, đang điều trị viêm mô bào cổ trái và gãy mấu chuyển xương đùi trái tại Bệnh viện Đa khoa tỉnh. Trong quá trình thăm khám, chụp cắt lớp vi tính lồng ngực, các bác sĩ phát hiện hình ảnh tổn thương đông đặc nhu mô dạng xẹp phổi phân thùy dưới phổi phải, nghi ngờ do có dị vật nằm trong phế quản tương ứng vị trí xẹp phổi.

hat-hong-xeim.jpg
Hình ảnh nghi ngờ dị vật trong phế quản qua phim chụp cắt lớp vi tính lồng ngực - Ảnh BVCC

Ngay sau hội chẩn, bệnh nhân được chuyển đến Khoa Hô hấp và Bệnh nghề nghiệp để tiến hành nội soi phế quản ống mềm kiểm tra, xử trí. Dưới sự hỗ trợ của hệ thống nội soi, các bác sĩ kiểm tra phát hiện vị trí phế quản đáy phổi phải có dị vật hình bầu dục màu đen, trơn nhẵn.

Nội soi đã khéo léo tiếp cận và gắp thành công dị vật ra khỏi phế quản người bệnh sau khoảng 15 phút thực hiện. Sau gắp xác định dị vật là hạt hồng xiêm kích thước 2x1,2cm có bề mặt trơn nhẵn, có cạnh sắc. Nhờ kinh nghiệm và kỹ thuật nội soi thuần thục của đội ngũ bác sĩ đã giúp bệnh nhân tránh được những biến chứng nguy hiểm.

hat-hong-xiem-1.jpg
hat-hong-xiem-2.jpg
Thực hiện nội soi gắp dị vật nằm trong phế quản bệnh nhân 90 tuổi - Ảnh BVCC

BS.CKI Đinh Tuấn Anh, Phó khoa Hô hấp và Bệnh nghề nghiệp, Bệnh viện Đa khoa tỉnh, cho biết: “Cụ bà nhập viện điều trị bệnh lý khác và vô tình được chúng tôi phát hiện dị vật nằm sâu trong phế quản dù không có triệu chứng rõ ràng.

Do dị vật nằm sâu, bám chắc, đã gây phù nề, đông đặc nhu mô phổi tại chỗ nên chúng tôi hội chẩn điều trị kháng sinh, chống viêm ổn định trước khi can thiệp nội soi.

Quá trình lấy dị vật gặp khó khăn do hạt hồng xiêm trơn nhẵn, dễ trượt khỏi dụng cụ nội soi, đòi hỏi sự kiên nhẫn và kỹ thuật thuần thục của kíp thực hiện. Hơn nữa, dị vật lại nằm sâu ở đáy phế quản phổi phải, việc gắp dị vật càng đòi hỏi sự khéo léo và cẩn trọng để tránh gây thêm tổn thương lòng phế quản”.

Nếu không được phát hiện và xử trí kịp thời, dị vật có thể bám chắc và sâu hơn, gây ra nhiễm trùng đường hô hấp, biến chứng nặng hơn có thể gây áp xe phổi, tràn mủ màng phổi, giãn phế quản do dị vật bỏ quên lâu ngày... khi đó sẽ rất khó khăn cho điều trị, cũng như ảnh hưởng lâu dài tới chức năng thở của bệnh nhân.

“Việc gắp bỏ dị vật giúp điều trị nhiễm trùng đường hô hấp triệt để và ngăn ngừa các đợt nhiễm trùng tái phát”, bác sĩ Tuấn Anh nhấn mạnh.

z6805764228221-cb02eda499b29d2fa1ada7dcda6f1fa6.jpg
Dị vật nhỏ, trơn nhẵn đòi hỏi bác sĩ phải khéo léo để gắp dị vật ra ngoài nhanh chóng - Ảnh BVCC
hat-hong-xiem-3.jpg
Dị vật là hạt hồng xiêm nhỏ, có cạnh sắc được lấy ra - Ảnh BVCC

Thời gian qua, khoa Hô hấp và Bệnh nghề nghiệp đã tiếp nhận và xử trí nhiều ca hóc, sặc dị vật đường thở do các tác nhân rất đa dạng: mảnh xương, viên thuốc, các loại hạt hay các vật dụng nhỏ khác…

Nhiều trường hợp đến viện muộn đã gặp biến chứng nghiêm trọng, ảnh hưởng nặng nề tới chức năng hô hấp.

Dị vật đường thở là một trong những tai nạn thường gặp không chỉ đối với trẻ nhỏ mà còn cả người lớn tuổi, có thể gây ra những biến chứng nguy hiểm nếu không xử trí kịp thời.

Để phòng tránh các trường hợp tương tự, bác sĩ khuyến cáo, mọi người cần chú ý cẩn thận khi ăn uống và làm việc với các vật dụng nhỏ dễ nuốt. Đồng thời, cần nâng cao nhận thức về việc không tự ý điều trị tại nhà khi không may sặc dị vật vào đường thở và nhanh chóng đến các cơ sở y tế để được thăm khám và xử lý kịp thời.

Xương cá 2,5 cm mắc tại thực quản, nguy hiểm của hóc xương

Khi bị hóc dị vật, nên đến ngay các cơ sở y tế. Người dân không nên móc họng, nuốt nắm cơm lớn hay các mẹo dân gian khác làm dị vật bị đẩy xuống sâu hơn,...

Tưởng hóc xương đơn giản không ngờ đe dọa tính mạng

Trung tâm Y tế Quảng Yên vừa tiếp nhận một ca cấp cứu hóc dị vật thực quản – một tai nạn sinh hoạt tưởng chừng đơn giản nhưng có thể đe dọa đến tính mạng nếu không xử trí đúng cách và kịp thời.

Trẻ đau bụng dữ dội do tăm tre cắm sâu vào thành dạ dày

Phụ huynh cần lưu ý và quan sát tránh để trẻ chơi hoặc ngậm các vật dụng dễ gây nguy hiểm như tăm tre, ghim bấm, kim loại nhỏ, pin cúc áo…

Ngày 11/7, Bệnh viện Việt Nam – Thụy Điển Uông Bí đã tiếp nhận và xử trí trường hợp bệnh nhi V.G.H. (8 tuổi, trú tại Khu 9, phường Uông Bí) bị dị vật tăm tre đâm xuyên thành dạ dày – một tình huống hiếm gặp nhưng tiềm ẩn nguy cơ nghiêm trọng.

Theo người nhà cho biết, trước đó trẻ không có tiền sử bệnh lý tiêu hóa. Tuy nhiên, trẻ đột ngột đau bụng dữ dội, gia đình lập tức đưa đến bệnh viện kiểm tra.

Cây kim băng dài nhọn kẹt trong lòng thực quản bé 12 tháng

Dị vật đường tiêu hóa là tai nạn phổ biến ở trẻ nhỏ, đặc biệt trong các kỳ nghỉ khi trẻ ở nhà nhiều hơn và ít được giám sát.

Kim băng đâm vào thực quản do xử lý sai

Ngày 4/7, Bệnh viện Nhi Đồng 2 cho biết, tuần qua, Khoa Tiêu hóa đã tiếp nhận trường hợp bé P.P.K. (12 tháng tuổi) nhập viện trong tình trạng nguy hiểm do nuốt một cây kim băng.

Đọc nhiều nhất

Top thực phẩm tốt cho tuyến giáp

Top thực phẩm tốt cho tuyến giáp

Bổ sung hạt điều, hạt bí, trái cây tươi và cá biển để duy trì sức khỏe tuyến giáp, giảm nguy cơ viêm nhiễm và cân bằng hormone tự nhiên.

Tin mới

Top thực phẩm tốt cho tuyến giáp

Top thực phẩm tốt cho tuyến giáp

Bổ sung hạt điều, hạt bí, trái cây tươi và cá biển để duy trì sức khỏe tuyến giáp, giảm nguy cơ viêm nhiễm và cân bằng hormone tự nhiên.

Vì sao càng mệt càng khó ngủ?

Vì sao càng mệt càng khó ngủ?

Mệt mỏi không đồng nghĩa với buồn ngủ. Khi não bộ còn căng thẳng và hormone stress tăng cao, giấc ngủ dễ bị chập chờn, thậm chí biến mất hoàn toàn.

Lợi ích sức khỏe của táo đỏ

Lợi ích sức khỏe của táo đỏ

Đông y cho rằng táo đỏ có tác dụng bổ khí huyết, kiện tỳ vị, an thần nên thường cho vào các bài thuốc có tác dụng bồi bổ cơ thể.