Trẻ đau bụng dữ dội do tăm tre cắm sâu vào thành dạ dày

Phụ huynh cần lưu ý và quan sát tránh để trẻ chơi hoặc ngậm các vật dụng dễ gây nguy hiểm như tăm tre, ghim bấm, kim loại nhỏ, pin cúc áo…

Ngày 11/7, Bệnh viện Việt Nam – Thụy Điển Uông Bí đã tiếp nhận và xử trí trường hợp bệnh nhi V.G.H. (8 tuổi, trú tại Khu 9, phường Uông Bí) bị dị vật tăm tre đâm xuyên thành dạ dày – một tình huống hiếm gặp nhưng tiềm ẩn nguy cơ nghiêm trọng.

Theo người nhà cho biết, trước đó trẻ không có tiền sử bệnh lý tiêu hóa. Tuy nhiên, trẻ đột ngột đau bụng dữ dội, gia đình lập tức đưa đến bệnh viện kiểm tra.

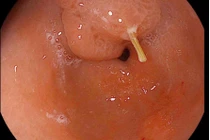
Sau khi khai thác bệnh sử và thăm khám lâm sàng, các bác sĩ nghi ngờ bệnh nhi nuốt phải dị vật nên đã chỉ định nội soi tiêu hóa. Kết quả nội soi cho thấy, niêm mạc dạ dày viêm xung huyết, đặc biệt có dị vật là đoạn tăm tre với hai đầu nhọn đang cắm sâu vào thành dạ dày.

tam-treuot.jpg
Nội soi lấy tăm tre cắm sâu vào thành dạ dày bệnh nhi - Ảnh BVCC

Các bác sĩ Khoa Nội Tiêu hóa đã khẩn trương tiến hành gắp dị vật ra ngoài, đồng thời kẹp clip cầm máu để xử lý tổn thương tại chỗ. Sau thủ thuật, kiểm tra không còn chảy máu, lỗ môn vị đóng mở bình thường, tình trạng sức khỏe ổn định. Hiện sức khỏe bệnh nhi ổn định và đã được xuất viện.

Theo TS.BS. Đỗ Quang Út – Trưởng Khoa Nội tiêu hóa, các dị vật sắc nhọn như tăm tre khi lọt vào đường tiêu hóa có thể gây thủng ruột, xuất huyết, nhiễm trùng ổ bụng, thậm chí đe dọa tính mạng nếu không được phát hiện và xử trí kịp thời.

Qua trường hợp này, bác sĩ khuyến cáo phụ huynh cần lưu ý và quan sát tránh để trẻ chơi hoặc ngậm các vật dụng dễ gây nguy hiểm như tăm tre, ghim bấm, kim loại nhỏ, pin cúc áo…

Đối với những trường hợp nghi ngờ trẻ nuốt phải dị vật, cần đưa trẻ đến cơ sở y tế ngay để được thăm khám và xử trí kịp thời.

Sau 3 ngày nuốt tăm, bệnh nhân thủng dạ dày

Người dân cần cẩn trọng khi sử dụng tăm xỉa răng, nên thay đổi thói quen xỉa răng bằng tăm tre mà dùng chỉ nha khoa để tránh nguy hiểm.

Các bác sĩ Khoa Nội tiêu hóa, Bệnh viện Bãi Cháy vừa nội soi can thiệp thực quản – dạ dày gắp thành công chiếc tăm tre nhọn dài khoảng 4cm đâm xuyên thành dạ dày cho người bệnh.

Bệnh nhân Nguyễn T T (54 tuổi, trú tại phường Bãi Cháy, TP Hạ Long, tỉnh Quảng Ninh) vô tình nuốt phải tăm sau khi ăn. Sau 3 ngày, tình trạng đau bụng tăng dần, đầy chướng bụng, ợ hơi ợ chua nhiều, bệnh nhân đến khám và nhập viện điều trị tại khoa Nội Tiêu hóa - Bệnh viện Bãi Cháy.

Đọc nhiều nhất

Top thực phẩm tốt cho tuyến giáp

Top thực phẩm tốt cho tuyến giáp

Bổ sung hạt điều, hạt bí, trái cây tươi và cá biển để duy trì sức khỏe tuyến giáp, giảm nguy cơ viêm nhiễm và cân bằng hormone tự nhiên.

Tin mới

Top thực phẩm tốt cho tuyến giáp

Top thực phẩm tốt cho tuyến giáp

Bổ sung hạt điều, hạt bí, trái cây tươi và cá biển để duy trì sức khỏe tuyến giáp, giảm nguy cơ viêm nhiễm và cân bằng hormone tự nhiên.

Vì sao càng mệt càng khó ngủ?

Vì sao càng mệt càng khó ngủ?

Mệt mỏi không đồng nghĩa với buồn ngủ. Khi não bộ còn căng thẳng và hormone stress tăng cao, giấc ngủ dễ bị chập chờn, thậm chí biến mất hoàn toàn.

Lợi ích sức khỏe của táo đỏ

Lợi ích sức khỏe của táo đỏ

Đông y cho rằng táo đỏ có tác dụng bổ khí huyết, kiện tỳ vị, an thần nên thường cho vào các bài thuốc có tác dụng bồi bổ cơ thể.