Dấu hiệu của cơn cảm cúm nguy hiểm chết người

Dấu hiệu của cơn cảm cúm nguy hiểm chết người

Đừng nên coi thường bệnh cúm, vì nếu không được điều trị kịp thời, cúm hoàn toàn có thể gây tử vong.

Cúm là gì?: Có ba loại virus cúm có thể gây bệnh ở người: cúm A, cúm B và cúm C. Cúm A có thể được chia làm nhiều loại, như cúm A H1N1, cúm A H5N1,...
Cúm là gì?: Có ba loại virus cúm có thể gây bệnh ở người: cúm A, cúm B và cúm C. Cúm A có thể được chia làm nhiều loại, như cúm A H1N1, cúm A H5N1,...
Triệu chứng cúm: Đôi khi bạn sẽ nhầm bệnh cúm với cơn cảm lạnh thông thường vì các triệu chứng tương tự. Tuy nhiên, các triệu chứng cảm lạnh có mức độ nhẹ hơn nhiều so với triệu chứng cúm. Khi bị cúm, bạn sẽ bị sổ mũi, rát họng, sốt cao, ớn lạnh, đau đầu và suy nhược.
Triệu chứng cúm: Đôi khi bạn sẽ nhầm bệnh cúm với cơn cảm lạnh thông thường vì các triệu chứng tương tự. Tuy nhiên, các triệu chứng cảm lạnh có mức độ nhẹ hơn nhiều so với triệu chứng cúm. Khi bị cúm, bạn sẽ bị sổ mũi, rát họng, sốt cao, ớn lạnh, đau đầu và suy nhược.
Nhiễm khuẩn thứ phát: Virus cúm có thể nguy hiểm chết người khi nó kích thích một bệnh khác, ví dụ như viêm phổi, viêm cơ tim, viêm não hay nhiễm trùng hệ thống. Đây là những phản ứng của cơ thể đối với nhiễm khuẩn thứ phát, dẫn đến viêm các nội tạng và có thể gây tử vong.
Nhiễm khuẩn thứ phát: Virus cúm có thể nguy hiểm chết người khi nó kích thích một bệnh khác, ví dụ như viêm phổi, viêm cơ tim, viêm não hay nhiễm trùng hệ thống. Đây là những phản ứng của cơ thể đối với nhiễm khuẩn thứ phát, dẫn đến viêm các nội tạng và có thể gây tử vong.
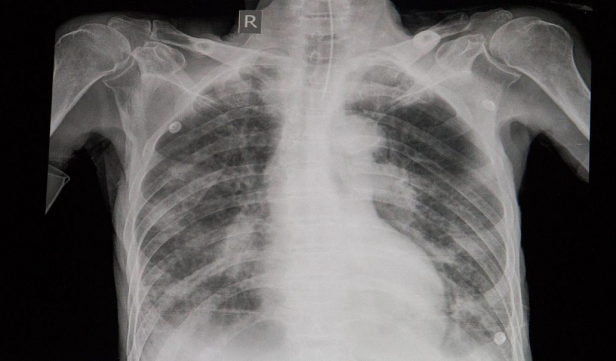
Khó thở: Khó thở hoặc thở gấp mà không phải do nghẹt mũi là những dấu hiệu cho thấy bạn đã gặp phải biến chứng của bệnh cúm. Các dạng nhiễm khuẩn thứ phát như viêm phổi có thể khiến bạn gặp phải tình trạng này.
Khó thở: Khó thở hoặc thở gấp mà không phải do nghẹt mũi là những dấu hiệu cho thấy bạn đã gặp phải biến chứng của bệnh cúm. Các dạng nhiễm khuẩn thứ phát như viêm phổi có thể khiến bạn gặp phải tình trạng này.
Đau ngực hoặc đau bụng: Cảm giác đau tức ngực khi bị cúm có thể là dấu hiệu của viêm cơ tim hoặc viêm màng tim - các biến chứng của bệnh cúm.
Đau ngực hoặc đau bụng: Cảm giác đau tức ngực khi bị cúm có thể là dấu hiệu của viêm cơ tim hoặc viêm màng tim - các biến chứng của bệnh cúm.
Cảm giác chóng mặt hoặc mất phương hướng đột ngột: Cơn sốt cao có thể chỉ khiến bạn thấy váng vất khó chịu. Còn nếu bạn đột nhiên thấy chóng mặt dữ dội, suy giảm khả năng tư duy, hay mất phương hướng, đó có thể là dấu hiệu nhiễm khuẩn thứ phát.
Cảm giác chóng mặt hoặc mất phương hướng đột ngột: Cơn sốt cao có thể chỉ khiến bạn thấy váng vất khó chịu. Còn nếu bạn đột nhiên thấy chóng mặt dữ dội, suy giảm khả năng tư duy, hay mất phương hướng, đó có thể là dấu hiệu nhiễm khuẩn thứ phát.
Nôn mửa dữ dội và kéo dài: Triệu chứng nôn mửa do bệnh cúm thường chỉ kéo dài 1-2 ngày. Nếu sau thời gian này mà bạn vẫn bị nôn mửa, hoặc nếu bạn nôn ra máu và sốt cao hơn 40 độ C, bạn cần đến cơ sở y tế để được điều trị ngay lập tức.
Nôn mửa dữ dội và kéo dài: Triệu chứng nôn mửa do bệnh cúm thường chỉ kéo dài 1-2 ngày. Nếu sau thời gian này mà bạn vẫn bị nôn mửa, hoặc nếu bạn nôn ra máu và sốt cao hơn 40 độ C, bạn cần đến cơ sở y tế để được điều trị ngay lập tức.
Bệnh cúm ở người cao tuổi và người thừa cân: Người cao tuổi (trên 65 tuổi) và người béo phì hoặc thừa cân dễ mắc cúm hơn và dễ gặp phải các biến chứng nguy hiểm của bệnh cúm hơn. Nhóm đối tượng này có hệ miễn dịch yếu hơn và phản xạ miễn dịch đối với virus kém hơn.
Bệnh cúm ở người cao tuổi và người thừa cân: Người cao tuổi (trên 65 tuổi) và người béo phì hoặc thừa cân dễ mắc cúm hơn và dễ gặp phải các biến chứng nguy hiểm của bệnh cúm hơn. Nhóm đối tượng này có hệ miễn dịch yếu hơn và phản xạ miễn dịch đối với virus kém hơn.
Người đang dùng thuốc hoặc đang mang thai: Người đang phải điều trị một bệnh mãn tính khác hoặc người đang mang thai, nếu bị cúm sẽ có nguy cơ mắc biến chứng cao hơn. Thai phụ hoặc người mắc các bệnh mãn tính như hen suyễn, phổi tắc nghẽn mãn tính, giãn phế quản hay u xơ nang có nguy cơ cao gặp biến chứng khi bị cúm.
Người đang dùng thuốc hoặc đang mang thai: Người đang phải điều trị một bệnh mãn tính khác hoặc người đang mang thai, nếu bị cúm sẽ có nguy cơ mắc biến chứng cao hơn. Thai phụ hoặc người mắc các bệnh mãn tính như hen suyễn, phổi tắc nghẽn mãn tính, giãn phế quản hay u xơ nang có nguy cơ cao gặp biến chứng khi bị cúm.
Trẻ sơ sinh: Trẻ em dưới 5 tuổi, đặc biệt là trẻ sơ sinh, có nguy cơ mắc biến chứng cúm cao. Nếu bạn thấy trẻ bị khó thở, da đổi sang màu xanh tái, cáu gắt, sốt cao và mẩn đỏ, không chịu uống nước hoặc sữa, hoặc có các triệu chứng cúm thuyên giảm rồi lại trở nặng, bạn cần đưa trẻ đến các cơ sở y tế ngay.
Trẻ sơ sinh: Trẻ em dưới 5 tuổi, đặc biệt là trẻ sơ sinh, có nguy cơ mắc biến chứng cúm cao. Nếu bạn thấy trẻ bị khó thở, da đổi sang màu xanh tái, cáu gắt, sốt cao và mẩn đỏ, không chịu uống nước hoặc sữa, hoặc có các triệu chứng cúm thuyên giảm rồi lại trở nặng, bạn cần đưa trẻ đến các cơ sở y tế ngay.
Bảo vệ bản thân khỏi bệnh cúm: Cách tốt nhất để phòng ngừa bệnh cúm là tiêm phòng cúm. Chuyên gia khuyến cáo mọi cá nhân trên 6 tháng tuổi đều nên được tiêm phòng cúm.
Bảo vệ bản thân khỏi bệnh cúm: Cách tốt nhất để phòng ngừa bệnh cúm là tiêm phòng cúm. Chuyên gia khuyến cáo mọi cá nhân trên 6 tháng tuổi đều nên được tiêm phòng cúm.

GALLERY MỚI NHẤT