Diễn tiến âm thầm, phát hiện u thận đã nặng 1,2kg

Người dân cần khám sức khỏe khi đau hông lưng kéo dài, tiểu máu, gầy sút cân không rõ nguyên nhân, mệt mỏi kéo dài...

U thận là bệnh lý nguy hiểm, thường diễn tiến âm thầm, ít triệu chứng rõ ràng ở giai đoạn đầu. Nếu không được phát hiện và điều trị kịp thời, khối u có thể xâm lấn, di căn, ảnh hưởng nghiêm trọng đến sức khỏe và tính mạng người bệnh.

Các bác sĩ Khoa Ngoại thận – Tiết niệu và Nam học, Bệnh viện Đa khoa tỉnh Tuyên Quang đã tiếp nhận và xử trí thành công một ca u thận phải, giúp người bệnh được phẫu thuật kịp thời và hiện sức khỏe đã ổn định.

u-than.jpg
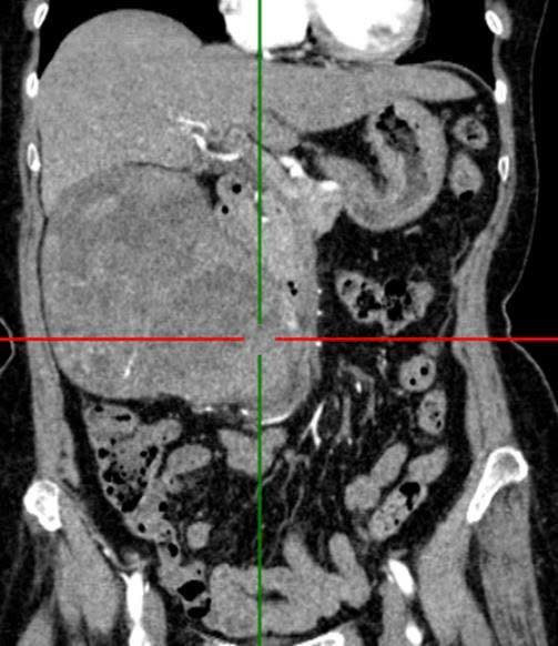
Khối u thận kích thước lớn trên phim chụp - Ảnh BVCC

Người bệnh nữ 72 tuổi nhập viện vì đau âm ỉ vùng hông lưng phải kéo nhiều tháng nay. Khám lâm sàng: Bệnh nhân tỉnh, đau tức nhiều vùng mạn sườn phải, vùng mạn sườn phải, thắt lưng phải có khối, ấn căng tức, mật độ chắc, ranh giới không rõ, PUTB (-), CUPM (-), nước tiểu trong.

Cận lâm sàng: Cắt lớp vi tính bụng (1-32 dãy có thuốc): Thận phải: To, nhu mô không đều, có hình ảnh khối choán chỗ ngấm thuốc mạnh sau tiêm, KT (118 x 133 x 135)mm. Đài bể thận giãn, không thấy sỏi. Kết luận u thận phải.

Nội soi đại trực tràng: viêm trực tràng, trĩ độ I.

Sau hội chẩn khoa, ê-kíp đã quyết định can thiệp phẫu thuật phù hợp, loại bỏ hoàn toàn khối u cho người bệnh. Các bác sĩ Khoa Ngoại thận - Tiết niệu và Nam học, Bệnh viện đa khoa tỉnh Tuyên Quang đã cắt bỏ khối lượng u to, trọng lượng 1,2kg cho bệnh nhân.

Ca phẫu thuật diễn ra an toàn, thuận lợi. Sau mổ, sức khỏe người bệnh ổn định, người bệnh được tư vấn kỹ về bệnh và hướng dẫn theo dõi tiếp sau phẫu thuật.

Khối u thận lớn được phẫu thuật cắt bỏ - Ảnh BVCC

Khối u thận lớn được phẫu thuật cắt bỏ - Ảnh BVCC

u-than-2.jpg
U thận nặng hơn 1,2 kg - Ảnh BVCC

Theo các bác sĩ Khoa Ngoại thận - Tiết niệu và Nam học - Bệnh viện Đa khoa tỉnh Tuyên Quang u thận có thể không có triệu chứng rõ ràng trong thời gian dài. Người dân cần khám sức khỏe định kỳ, đặc biệt khi có các dấu hiệu: Đau hông lưng kéo dài; Tiểu máu; Gầy sút cân không rõ nguyên nhân; Mệt mỏi kéo dài.

Các bác sĩ Khoa Ngoại thận - Tiết niệu và Nam học khuyến cáo: Phát hiện sớm – điều trị đúng – giúp tăng khả năng khỏi bệnh và bảo tồn thận.

Cứu sống người bệnh 69 tuổi nhờ phẫu thuật khối u lớn sau phúc mạc

Phẫu thuật u sau phúc mạc kích thước lớn luôn được xếp vào nhóm phẫu thuật khó, bởi khối u thường nằm sâu, bám sát hoặc đè đẩy các mạch máu lớn...

Bệnh viện Hữu nghị Việt Đức vừa cứu sống người bệnh cao tuổi nhờ phẫu thuật cắt bỏ khối u lớn sau phúc mạc.

Người bệnh nữ 69 tuổi (Hải Phòng) được chẩn đoán u sau phúc mạc kích thước khoảng 20cm. Trước đó, người bệnh đi khám tại Bệnh viện Đa khoa Hải Phòng và sau đó quyết định chuyển lên Bệnh viện Hữu nghị Việt Đức để được điều trị chuyên sâu.

Sỏi thận tái phát dai dẳng do bệnh lý nội tiết bị bỏ quên

Bệnh nhân sỏi thận nhiều lần đã khỏi nhờ phát hiện u tuyến cận giáp, điều trị đúng nguyên nhân nội tiết và phẫu thuật chính xác.

Người bệnh có sỏi thận tái phát nhiều lần, đặc biệt trong các trường hợp điều trị không hiệu quả, không xác định được nguyên nhân, cần được tầm soát các bệnh lý nội tiết, nhất là tuyến giáp.

Trong suốt 5 năm, nữ bệnh nhân đã phải can thiệp tán sỏi tiết niệu thận tới 5 lần do tình trạng sỏi thận tái phát nhanh và dai dẳng. Nguyên nhân gốc rễ chỉ được phát hiện sau khi thăm khám tại Bệnh viện Đa khoa (BVĐK) Hồng Ngọc, do bệnh nhân mắc u tuyến cận giáp - yếu tố trước đó đã bị bỏ sót.

Không khám định kỳ, bất ngờ phải cắt thận vì ung thư vỡ

Mỗi năm, thế giới ghi nhận hơn 430.000 ca ung thư thận mới, riêng Việt Nam có khoảng 1.700 – 2.000 ca.

Người bệnh trẻ tuổi nhưng không có thói quen khám sức khỏe định kỳ, lên cơn đau phải nhập viện, bác sĩ phát hiện u thận vỡ, chảy máu rất nguy hiểm.

Cắt thận vì đột ngột lên cơn đau ở vùng hông lưng

Đọc nhiều nhất

Tin mới