Bảo vệ gan mỗi ngày từ những thay đổi nhỏ trong bữa ăn

Những thói quen ăn uống tưởng chừng vô hại như ăn đồ mốc, chiên rán nhiều dầu mỡ hay uống rượu bia thường xuyên là nguyên nhân âm thầm gây bệnh ung thư gan.

Tỷ lệ mắc ung thư gan tại Việt Nam đang ở mức đáng báo động, thuộc nhóm cao nhất thế giới. Ít ai ngờ rằng, những thói quen ăn uống hàng ngày, từ việc dùng thực phẩm mốc, uống rượu bia đến ăn nhiều đồ chiên rán lại chính là thủ phạm thầm lặng gây nên căn bệnh nguy hiểm này.

Ung thư gan đang trở thành gánh nặng sức khỏe của người Việt. Ngoài yếu tố virus viêm gan B, C, các chuyên gia cảnh báo rằng chế độ ăn uống thiếu khoa học và lạm dụng rượu bia là nguyên nhân khiến số ca bệnh tăng nhanh trong những năm gần đây.

z7090548392007-f2d7ad39c22bce9e3530c8be1737df47.jpg
Ảnh minh họa/ Nguồn internet

Ung thư gan, căn bệnh cướp đi hàng chục nghìn sinh mạng mỗi năm

Theo thống kê của Tổ chức Y tế Thế giới (WHO), Việt Nam nằm trong nhóm quốc gia có tỷ lệ mắc và tử vong do ung thư gan cao nhất châu Á. Mỗi năm, có hơn 25.000 ca tử vong vì căn bệnh này. Đáng lo ngại, phần lớn bệnh nhân được phát hiện ở giai đoạn muộn, khi cơ hội điều trị hiệu quả đã giảm đáng kể. Ung thư gan có thể diễn tiến âm thầm trong nhiều năm. Ở giai đoạn đầu, bệnh gần như không có triệu chứng, nên người bệnh thường chủ quan, chỉ đến khi gan bị tổn thương nghiêm trọng mới phát hiện ra.

Thói quen ăn uống là nguồn cơn dẫn đến ung thư gan

Ăn thực phẩm mốc, để lâu ngày

Nhiều người Việt vẫn giữ thói quen tiết kiệm, sử dụng lại thực phẩm đã cũ, đặc biệt là gạo, đậu, ngô, lạc… bị mốc. Những loại thực phẩm này chứa aflatoxin – một loại độc tố nấm mốc cực mạnh có thể gây tổn thương tế bào gan và là nguyên nhân hàng đầu gây ung thư gan nguyên phát. Chỉ cần ăn một lượng nhỏ thực phẩm chứa aflatoxin trong thời gian dài, gan sẽ bị tổn thương mãn tính và nguy cơ ung thư tăng cao.

Uống rượu bia thường xuyên

Việt Nam nằm trong nhóm quốc gia tiêu thụ rượu bia hàng đầu châu Á. Việc uống rượu bia kéo dài khiến gan phải làm việc quá tải, dẫn đến viêm gan, xơ gan và cuối cùng là ung thư gan. Theo thống kê, có tới 70% bệnh nhân ung thư gan từng có tiền sử sử dụng rượu bia thường xuyên.

Ăn nhiều đồ chiên rán, dầu mỡ

Thực phẩm chiên rán ở nhiệt độ cao sản sinh các hợp chất độc hại như acrylamide và aldehyde, những chất được chứng minh có khả năng gây đột biến tế bào gan. Việc sử dụng dầu chiên đi chiên lại nhiều lần càng làm tăng lượng độc tố này.

Ăn uống thiếu rau xanh, ít chất chống oxy hóa

Chế độ ăn nghèo rau củ khiến cơ thể thiếu các chất chống oxy hóa tự nhiên như vitamin C, E, và beta-carotene – những dưỡng chất giúp bảo vệ gan khỏi tổn thương do gốc tự do.

Không chỉ virus, chính thói quen ăn uống đầu độc lá gan

Theo các bác sĩ chuyên khoa: Chúng ta thường lo sợ virus viêm gan B, C mà quên rằng chính thói quen ăn uống, sinh hoạt hàng ngày mới là yếu tố kích hoạt bệnh nhanh hơn. Một người có virus viêm gan B nhưng sống lành mạnh vẫn có thể khỏe mạnh suốt đời, trong khi người không mắc virus nhưng uống rượu, ăn đồ mốc, dầu mỡ lại dễ bị ung thư gan hơn.

Cách bảo vệ gan và phòng ngừa ung thư gan

Không sử dụng thực phẩm mốc hoặc bảo quản kém, kể cả khi chỉ bị mốc nhẹ.

Hạn chế rượu bia, đặc biệt là rượu không rõ nguồn gốc, pha chế thủ công.

Ăn nhiều rau xanh, trái cây tươi để tăng cường chất chống oxy hóa.

Duy trì cân nặng hợp lý, tránh béo phì, yếu tố góp phần gây gan nhiễm mỡ và ung thư.

Tiêm phòng viêm gan B đầy đủ, xét nghiệm định kỳ để phát hiện sớm các bệnh lý về gan.

Khám sức khỏe và siêu âm gan định kỳ ít nhất 6 tháng một lần, đặc biệt với người có tiền sử uống rượu bia hoặc mắc viêm gan virus.

Ung thư gan không đến trong một ngày, mà hình thành âm thầm qua từng bữa ăn, từng ly rượu, từng thói quen tưởng chừng vô hại. Bảo vệ gan chính là bảo vệ mạng sống, hãy bắt đầu từ việc thay đổi lối sống và thói quen ăn uống ngay hôm nay.

[INFOGRAPHIC] 6 thực phẩm tự nhiên quét sạch mỡ gan

6-thuc-pham-rau-cu.jpg

Nút mạch hóa chất cứu người bệnh bị ung thư gan nặng

Với một người bệnh lớn tuổi, suy kiệt, lại mắc bệnh hô hấp nặng nề, việc phẫu thuật cắt gan sẽ rất rủi ro trong và sau mổ.

Một người đàn ông 66 tuổi mắc ung thư biểu mô tế bào gan (HCC) kèm nhiều bệnh nền nặng đã được Bệnh viện Đa khoa Trung ương Quảng Nam điều trị thành công bằng phương pháp can thiệp nút mạch hóa chất (TACE).

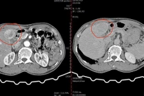
ut-gan-2.jpg
Hình ảnh khối u chụp cắt lớp vi tính trước can thiệp - Ảnh BVCC

Dấu hiệu cảnh báo ung thư gan

Gan có vai trò thực hiện các nhiệm vụ quan trọng để duy trì sức khỏe con người. Nhận biết triệu chứng ở giai đoạn sớm có thể giúp chẩn đoán, điều trị kịp thời.

Khi gan bị tổn thương, cơ thể sẽ có những dấu hiệu bệnh gan để cảnh báo, như:

Sụt cân bất thường

Đọc nhiều nhất

Tin mới