Xử trí sỏi thận lớn 4cm cho cụ ông 71 tuổi bằng kỹ thuật tán sỏi qua da

Phẫu thuật tán sỏi qua da giúp loại bỏ viên sỏi lớn 4cm an toàn, ít đau, giảm rủi ro cho bệnh nhân cao tuổi với nhiều bệnh lý nền.

Bệnh viện Đa khoa Thanh Vũ Medic Bạc Liêu vừa điều trị thành công ca sỏi thận phức tạp (viên sỏi to 4cm) cho bệnh nhân 71 tuổi bằng kỹ thuật tán sỏi thận qua da (PCNL).

Đây là phương pháp can thiệp ít xâm lấn hiện đại, giúp loại bỏ sỏi nhanh chóng, giảm thiểu đau đớn và rút ngắn thời gian hồi phục, đặc biệt phù hợp cho người cao tuổi có nhiều bệnh lý nền.

Ông N.V.M - 71 tuổi (xã Long Điền, tỉnh Cà Mau) nhập viện tại Bệnh viện Đa khoa Thanh Vũ Medic Bạc Liêu trong tình trạng bất tỉnh. Khai thác bệnh sử cho biết bệnh nhân đau bụng vùng hông lưng trái tái phát nhiều lần, nay đau nhiều hơn và càng nặng dần.

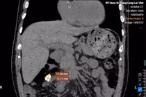
Ngay lập tức, các bác sĩ tiến hành thăm khám và chỉ định thực hiện các cận lâm sàng chuyên sâu. Kết quả chụp CT 160 lát cắt tích hợp trí tuệ nhân tạo (AI) cho biết ông M có viên sỏi to 4cm ở bể thận trái gây ứ nước độ I.

soi-4-cm-1.jpg
Sỏi thận 4 cm trên phim chụp - Ảnh BVCC

Ca bệnh càng trở nên thách thức khi bệnh nhân đã cao tuổi và mang hàng loạt bệnh lý phức tạp: Phì đại và vôi hóa tuyến tiền liệt, xơ vữa vôi hóa động mạch chủ bụng, thoái hóa cột sống thắt lưng kèm tụ khí và xẹp đĩa đệm nặng.

Việc áp dụng phương pháp mổ hở truyền thống sẽ tiềm ẩn nhiều rủi ro về mất máu, nhiễm trùng và thời gian hồi phục kéo dài. Tình trạng trên đòi hỏi một phương pháp điều trị vừa phải nhẹ nhàng để đảm bảo sức khỏe cho bệnh nhân, vừa có hiệu quả triệt để.

soi-4-cm-2.jpg
soi-4-cm-3.jpg
Ê- kíp phẫu thuật cho bệnh nhân - Ảnh BVCC

Sau khi hội chẩn chuyên môn, các bác sĩ quyết định áp dụng kỹ thuật tán sỏi thận qua da (PCNL) cho trường hợp của ông M. Đây là phương pháp điều trị sỏi thận kích thước lớn hoặc sỏi phức tạp tối ưu khi chỉ cần một vết rạch nhỏ khoảng 0.5cm ở vùng lưng. Phương pháp này sở hữu những ưu điểm vượt trội:

Xâm lấn tối thiểu: Ít đau, ít mất máu, không để lại sẹo lớn và thời gian hồi phục nhanh.

Độ chính xác cao: Dưới sự dẫn đường của hệ thống tăng sáng truyền hình C-arm, bác sĩ có thể quan sát rõ nét vị trí sỏi để can thiệp chính xác 100%.

Bảo tồn chức năng thận: Không gây tổn thương các mô lành xung quanh, giữ lại các mô thận khỏe mạnh.

Ê- kíp phẫu thuật Bệnh viện Thanh Vũ đã tạo một đường hầm siêu nhỏ xuyên qua da vào đài bể thận. Dưới sự hỗ trợ của máy Laser công suất cao 100W, viên sỏi nhanh chóng bị tán vụn và gắp sạch ra ngoài dưới sự kiểm soát chặt chẽ của màn hình nội soi.

soi-4-cm-2101.jpg
Sỏi thận trên phim chụp - Ảnh BVCC

Sau 2 giờ tập trung cao độ, viên sỏi thận kích thước 4cm đã được loại bỏ, khai thông hệ thống niệu đạo cho bệnh nhân. Sau phẫu thuật, ông M đã tỉnh táo, hồi phục nhanh và có thể sinh hoạt bình thường ngay tại giường.

soi-4-cm-4.jpg
Viên sỏi sau khi tán và được mang ra ngoài - Ảnh BVCC

BSCKII Tạ Hữu Nghĩa, Khoa Ngoại - Liên chuyên khoa - Bệnh viện Đa khoa Thanh Vũ Medic Bạc Liêu chia sẻ, sỏi thận ở người cao tuổi thường kèm theo nhiều bệnh lý nền, nếu không xử lý sớm sẽ dẫn đến nhiễm khuẩn tiết niệu hoặc suy thận không hồi phục.

Với kỹ thuật tán sỏi thận qua da (PCNL) hiện đại, người bệnh cao tuổi đã không còn phải lo lắng về những cuộc phẫu thuật mổ mở lớn. Người dân khi có các dấu hiệu đau âm ỉ vùng hông lưng, tiểu gắt hoặc mệt mỏi bất thường cần đến cơ sở y tế uy tín gần nhất để được thăm khám kịp thời và điều trị bằng phương pháp phù hợp.

>>> Mời quý độc giả theo dõi video: Eo biển Hormuz bị phong tỏa kép, anh cảnh báo nguy cấp cao nhất

Uống nhầm thuốc sỏi thận nhiều năm, sự thật ngỡ ngàng khi chụp CT 'giải mã'

Hình ảnh cản quang vùng bụng rất dễ gây nhầm lẫn, người dân nên lựa chọn các cơ sở có trang bị hệ thống chuyên, tránh điều trị sai.

Suốt nhiều năm ròng rã, bệnh nhân H. V. T (74 tuổi) sống trong nỗi lo âu với chẩn đoán "sỏi thận phải kích thước gần 3cm". Uống đủ mọi loại thuốc nhưng bệnh tình vẫn "giậm chân tại chỗ".

Chỉ đến khi đặt chân tới Bệnh viện Quốc tế Thăng Long Lạc Việt, sự thật về "viên sỏi" khổng lồ ấy mới chính thức được giải mã.

Lấy sỏi niệu quản 2 cm ngừa biến chứng hỏng thận

Các triệu chứng đau vùng thắt lưng, mạn sườn, rối loạn tiểu tiện đái buốt đái rắt thường không điển hình, dễ khiến người bệnh chủ quan, bỏ qua.

Các bác sĩ tại Bệnh viện Đa khoa khu vực Cẩm Phả vừa phẫu thuật thành công một trường hợp sỏi niệu quản kích thước lớn kèm theo biến chứng nặng, nguy cơ ảnh hưởng đến chức năng thận nếu không được phát hiện và xử trí sớm.

Ngày 11/4/2026, bệnh nhân nữ L.T.M (59 tuổi, trú tại Vân Đồn, Quảng Ninh), nhập viện trong tình trạng sốt cao 38°C, đau nhiều vùng mạn sườn trái lan ra sau lưng, kèm theo nước tiểu đục. Trước đó, các biểu hiện chưa rõ ràng nên người bệnh chưa đi khám.

Lấy sỏi niệu quản phức tạp bảo tồn chức năng thận

Bệnh viện Quảng Yên thành công trong điều trị sỏi niệu quản và hẹp niệu quản, giúp bảo tồn chức năng thận cho bệnh nhân 36 tuổi.

Các bác sĩ Bệnh viện Đa khoa Khu vực Quảng Yên (Tuyên Quang) vừa xử trí thành công ca sỏi niệu quản phức tạp kèm hẹp niệu quản, bảo tồn chức năng thận cho cô gái 36 tuổi.

Theo đó, các bác sĩ tại bệnh viện đã thực hiện thành công ca phẫu thuật nội soi cho bệnh nhân G., 36 tuổi, trú tại thôn 3 Lê Hồng Phong, xã Hồ Thầu, tỉnh Tuyên Quang.

Đọc nhiều nhất

Tin mới