Uống nhầm thuốc sỏi thận nhiều năm, sự thật ngỡ ngàng khi chụp CT 'giải mã'

Hình ảnh cản quang vùng bụng rất dễ gây nhầm lẫn, người dân nên lựa chọn các cơ sở có trang bị hệ thống chuyên, tránh điều trị sai.

Suốt nhiều năm ròng rã, bệnh nhân H. V. T (74 tuổi) sống trong nỗi lo âu với chẩn đoán "sỏi thận phải kích thước gần 3cm". Uống đủ mọi loại thuốc nhưng bệnh tình vẫn "giậm chân tại chỗ".

Chỉ đến khi đặt chân tới Bệnh viện Quốc tế Thăng Long Lạc Việt, sự thật về "viên sỏi" khổng lồ ấy mới chính thức được giải mã.

Tại các cơ sở trước đây, kết quả chụp X-quang chỉ cho thấy một nốt cản quang nằm sát vị trí thận, khiến bác sĩ dễ dàng đi đến kết luận sỏi thận.

soi-than-voi-1.jpg
Nốt vôi hóa từng được kết luận là sỏi thận - Ảnh BVCC

Tuy nhiên, dưới nhãn quan của PGS.TS.BS Thái Khắc Châu, Trưởng khoa Chẩn đoán hình ảnh với hơn 45 năm kinh nghiệm, nốt mờ này ẩn chứa những nghi vấn cần phải được đánh giá sâu hơn để tránh một bản án điều trị sai lầm.

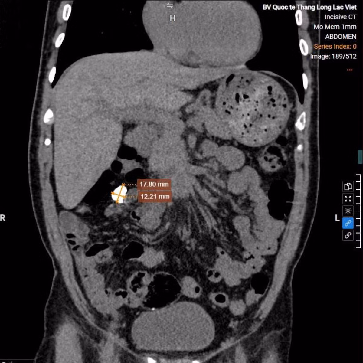
Để mang lại kết quả chính xác nhất, chuyên gia đã chỉ định bệnh nhân T. thực hiện chụp cắt lớp vi tính (CT) ổ bụng. Hệ thống CT 128 dãy hiện đại với khả năng tái tạo hình ảnh siêu sắc nét đã đưa ra kết quả hoàn toàn bất ngờ - không phải sỏi thận như chẩn đoán suốt nhiều năm qua mà là nốt vôi hóa thành ổ bụng (Kích thước ~ 15x10mm).

Sau khám các bác sĩ kết luận: Đây là tổn thương lành tính, không cần can thiệp, không cần dùng thuốc.

soi-than-voi.jpg
Hình ảnh trên phim chụp CT 128 dãy ổ bụng - Ảnh BVCC

Nghe kết luận từ PGS.TS. Thái Khắc Châu, bệnh nhân T. mừng rơi nước mắt: "Hóa ra bấy lâu nay mình lo hão, uống thuốc cũng không đúng bệnh...".

soi-than-voi-2.jpg
Kết quả chụp ổ bụng của bệnh nhân - Ảnh BVCC

Đừng để X-quang thông thường đánh lừa. Hình ảnh cản quang vùng bụng rất dễ gây nhầm lẫn nếu chỉ dựa vào chẩn đoán hình ảnh truyền thống.

PGS. TS. BS Thái Khắc Châu khuyến cáo người dân nên lựa chọn các cơ sở có trang bị hệ thống chuyên sâu như CT Philips, MRI 1.5 Siemens để tầm soát "trúng" bệnh, tránh điều trị sai hướng gây lãng phí tiền bạc và ảnh hưởng nghiêm trọng đến sức khỏe.

>>> Mời quý độc giả theo dõi video: Miền Bắc sắp đón mưa dông sau đợt nắng nóng gay gắt

Lấy sỏi niệu quản 2 cm ngừa biến chứng hỏng thận

Các triệu chứng đau vùng thắt lưng, mạn sườn, rối loạn tiểu tiện đái buốt đái rắt thường không điển hình, dễ khiến người bệnh chủ quan, bỏ qua.

Các bác sĩ tại Bệnh viện Đa khoa khu vực Cẩm Phả vừa phẫu thuật thành công một trường hợp sỏi niệu quản kích thước lớn kèm theo biến chứng nặng, nguy cơ ảnh hưởng đến chức năng thận nếu không được phát hiện và xử trí sớm.

Ngày 11/4/2026, bệnh nhân nữ L.T.M (59 tuổi, trú tại Vân Đồn, Quảng Ninh), nhập viện trong tình trạng sốt cao 38°C, đau nhiều vùng mạn sườn trái lan ra sau lưng, kèm theo nước tiểu đục. Trước đó, các biểu hiện chưa rõ ràng nên người bệnh chưa đi khám.

Lấy sỏi niệu quản phức tạp bảo tồn chức năng thận

Bệnh viện Quảng Yên thành công trong điều trị sỏi niệu quản và hẹp niệu quản, giúp bảo tồn chức năng thận cho bệnh nhân 36 tuổi.

Các bác sĩ Bệnh viện Đa khoa Khu vực Quảng Yên (Tuyên Quang) vừa xử trí thành công ca sỏi niệu quản phức tạp kèm hẹp niệu quản, bảo tồn chức năng thận cho cô gái 36 tuổi.

Theo đó, các bác sĩ tại bệnh viện đã thực hiện thành công ca phẫu thuật nội soi cho bệnh nhân G., 36 tuổi, trú tại thôn 3 Lê Hồng Phong, xã Hồ Thầu, tỉnh Tuyên Quang.

Bé 9 tuổi đau quặn thận do sỏi niệu quản

Cơn đau quặn thận thường dữ dội, đau từng cơn, nôn ói, tiểu buốt hoặc tiểu máu, cần đưa trẻ đi viện để tránh biến chứng ứ nước thận, suy giảm chức năng thận.

Tưởng rối loạn tiêu hóa thông thường

Một buổi tối, bé M.K (9 tuổi) được gia đình đưa vào cấp cứu vì đau bụng dữ dội vùng hông lưng trái. Cơn đau xuất hiện đột ngột, từng cơn quặn thắt, khiến bé không thể nằm yên. Trước đó, trẻ hoàn toàn khỏe mạnh, không ghi nhận bệnh lý đặc biệt.

Đọc nhiều nhất

Đi khám sức khỏe phát hiện ung thư amidan

Đi khám sức khỏe phát hiện ung thư amidan

Người dân cần chủ động thăm khám sức khỏe định kỳ, đặc biệt khi có dấu hiệu bất thường vùng tai mũi họng, đau họng kéo dài, nuốt vướng, khàn tiếng, nổi hạch cổ…

Tin mới

Đi khám sức khỏe phát hiện ung thư amidan

Đi khám sức khỏe phát hiện ung thư amidan

Người dân cần chủ động thăm khám sức khỏe định kỳ, đặc biệt khi có dấu hiệu bất thường vùng tai mũi họng, đau họng kéo dài, nuốt vướng, khàn tiếng, nổi hạch cổ…