Dị vật đường tiêu hoá nếu không được phát hiện sớm và điều trị sẽ gây ra các nguy cơ chảy máu, thủng ruột, tắc ruột, áp xe ổ bụng, nghiêm trọng hơn có thể gây nhiễm khuẩn huyết nguy hiểm đến tính mạng.
Dị vật đường tiêu hoá nếu không được phát hiện sớm và điều trị sẽ gây ra các nguy cơ chảy máu, thủng ruột, tắc ruột, áp xe ổ bụng, nghiêm trọng hơn có thể gây nhiễm khuẩn huyết nguy hiểm đến tính mạng.
Dị vật nằm trong đường tiêu hóa nếu không được can thiệp kịp thời có thể gây loét thủng, tắc ruột,... để lâu có thể làm quá trình xử lý khó khăn hơn, thậm chí có nguy cơ dẫn đến các biến chứng gây tử vong.
Dùng tăm sau khi ăn và ngậm trong miệng là thói quen của không ít người. Tuy nhiên thói quen này tưởng chừng rất bình thường mà vô cùng nguy hại thậm chí có thể nguy hiểm đến tính mạng.
Xương cá có đầu sắc nhọn di chuyển trong hệ tiêu hóa có thể đâm vào thành ruột gây dị vật tại thành ruột, gây phù nề, viêm nhiễm, tạo ổ áp xe, thậm chí có thể hoại tử gây thủng ruột.
Dị vật nam châm trong đường tiêu hóa là tai nạn rất nguy hiểm. Khi các viên nam châm đi vào đường ruột, các cực trái dấu sẽ hít nhau gây tổn thương niêm mạc, thủng ruột dẫn tới nhiễm trùng đe dọa tính mạng của trẻ.
Nhiều loại dị vật có thể đi vào đường tiêu hóa (GI) một cách vô tình hoặc cố ý. Nhiều dị vật tự đi qua ống tiêu hóa, nhưng một số bị dừng lại, gây nên các triệu chứng và đôi khi gây các biến chứng.
Hơn 1 tháng đau bụng nôn ói cấp cứu phát hiện 10 cục nam châm dính 2 đoạn ruột non gây thủng và tắc ruột. Nuốt dị vật tiêu hóa là một tai nạn sinh hoạt khá thường gặp trong cuộc sống hằng ngày nên cha mẹ cần chú ý.
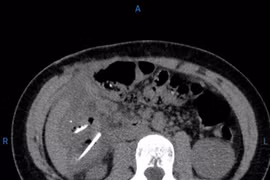
(khoahocdoisong.vn) - Cơ thể vẫn khỏe mạnh, không bị đau bụng, vẫn chơi thể thao, nhờ kiểm tra sức khỏe định kỳ, các bác sĩ đã kịp thời tìm thấy dị vật nằm trong ruột của bệnh nhân đồng thời phát hiện sớm viêm ruột thừa.
(khoahocdoisong.vn) - Nạn nhân lần này là bé trai, 6 tuổi được chuyển viện từ tuyến dưới với biểu hiện đau bụng 3 ngày, ói nhiều, không đi cầu được kèm bụng trướng hơi, sốt.