Phẫu thuật nội soi cắt lách xoắn cho bệnh nhi ở Quảng Trị

Bé N.T.N. (40 tháng tuổi, trú xã Hoàn Lão, tỉnh Quảng Trị) được chuyển lên từ tuyến dưới trong tình trạng đau bụng nhiều và buồn nôn.

Ngày 6/2, thông tin từ Bệnh viện Hữu nghị Việt Nam – Cuba Đồng Hới cho biết, đơn vị vừa thực hiện thành công ca phẫu thuật nội soi cắt lách xoắn cho bệnh nhi 40 tháng tuổi.

Trước đó, bé gái N.T.N. (40 tháng tuổi, trú xã Hoàn Lão, tỉnh Quảng Trị) được chuyển lên từ tuyến dưới trong tình trạng đau bụng nhiều và buồn nôn. Tình trạng đau được người nhà ghi nhận từ 2 ngày trước.

img6551-17703646888121388475921.jpg
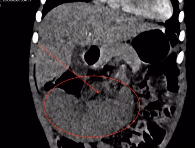
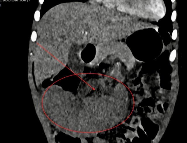
Phần lách của bệnh nhi lớn, nằm ở vị trí bất thường, lách không tưới máu...

Ngay sau đó, các bác sĩ tiến hành khám và cho bệnh nhân thực hiện các xét nghiệm. Kết quả phát hiện phần lách của bệnh nhi lớn, nằm ở vị trí bất thường, lách không tưới máu (nhồi máu lách), toàn bộ lá lách bị thiếu oxy và dưỡng chất do mạch máu nuôi dưỡng (động mạch lách) bị tắc nghẽn, dẫn đến mô lách bị hoại tử.

Sau khi phát hiện tình trạng của bệnh nhi, các bác sĩ đã tổ chức hội chẩn từ xa với Khoa Nhi Bệnh viện Việt Đức, Bệnh viện Nhi Trung ương và Bệnh viện Nhi đồng 2, thống nhất phương án phẫu thuật nội soi cắt lách.

“Ca mổ kéo dài khoảng 2 giờ, ê-kíp thực hiện phương pháp phẫu thuật nội soi, chỉ mở một đường rạch nhỏ để lấy lách. Nếu phải mổ mở, vết mổ sẽ dài và kém thẩm mỹ, đồng thời nguy cơ dính ruột về sau rất cao. Phẫu thuật nội soi giúp giảm nguy cơ dính và đảm bảo tính thẩm mỹ cho bé gái”, BSCKII Hoàng Minh Hùng chia sẻ.

Sau 5 ngày phẫu thuật và điều trị, tình trạng bệnh nhi đã ổn định được chỉ định xuất viện.

Người đàn ông ở Quảng Trị nguy kịch vì chiếc răng sâu

Do răng sâu không được điều trị sớm, người đàn ông ở Quảng Trị bị nhiễm trùng lan rộng, phải phẫu thuật cắt lọc, ghép da ở vùng cổ và ngực.

Ngày 5/2, thông tin từ Bệnh viện Đa khoa tỉnh Quảng Trị cho biết, đơn vị vừa điều trị thành công cho bệnh nhân N.Đ.K. (43 tuổi, trú tại Quảng Trị), bị nhiễm trùng nặng ở vùng cổ và ngực.

Trước đó, ngày 2/1, anh K. nhập viện tại khoa Ngoại Tổng hợp trong tình trạng vùng cổ và ngực sưng nề, đau, chảy nhiều dịch.

Nhập viện cấp cứu vì tắc ruột do bã thức ăn

Tắc ruột do bã thức ăn có thể gây biến chứng nguy hiểm, cần khám sớm để tránh hoại tử, viêm phúc mạc.

Tắc ruột do bã thức ăn là tình trạng cấp cứu ngoại khoa nguy hiểm, thường xảy ra do ăn nhiều thực phẩm khó tiêu (hồng ngâm, măng, ổi, trái cây xanh), nhai không kỹ, hoặc ở người cao tuổi/sau phẫu thuật dạ dày. Triệu chứng gồm đau bụng, nôn, bí trung tiện, cần phẫu thuật hoặc nội soi kịp thời để tránh vỡ, hoại tử ruột.

Một bệnh nhân nam bị thủng ruột non do dị vật tăm tre

Một ca phẫu thuật cấp cứu vì tăm tre đâm thủng ruột nhấn mạnh nguy cơ lớn từ thói quen nhỏ nhưng gây hiểm họa tính mạng.

Khoa Ngoại Tổng hợp – Bệnh viện 19-8 vừa tiếp nhận và phẫu thuật một trường hợp thủng ruột non do dị vật tăm tre.

Bệnh nhân nam, đau bụng hố chậu trái 2 ngày, bí trung đại tiện. Điều đáng chú ý, người bệnh có thói quen ngậm tăm sau khi ăn và cả khi đi ngủ.

Đọc nhiều nhất

Tin mới

Đi khám sức khỏe phát hiện ung thư amidan

Đi khám sức khỏe phát hiện ung thư amidan

Người dân cần chủ động thăm khám sức khỏe định kỳ, đặc biệt khi có dấu hiệu bất thường vùng tai mũi họng, đau họng kéo dài, nuốt vướng, khàn tiếng, nổi hạch cổ…