Báo động đỏ cứu bệnh nhi 2 tuổi chấn thương sọ não nặng do ngã cầu thang

Khi trẻ bị ngã, đặc biệt là va đập vùng đầu, nếu xuất hiện nôn, quấy khóc nhiều, lơ mơ, co giật hoặc thay đổi tri giác, cần nhanh chóng đưa trẻ đến cơ sở y tế.

Ngày 17/3, Bệnh viện Nhi Thái Bình cho biết, các bác sĩ khoa cấp cứu chống độc đã cấp cứu thành công bệnh nhi 2 tuổi chấn thương sọ não nặng do ngã cầu thang.

Theo đó, ngày 8/2, bệnh viện tiếp nhận và cấp cứu bệnh nhi Nguyễn Đình Anh T, 14 tháng tuổi, trú tại xã Bắc Tiên Hưng, tỉnh Hưng Yên bị chấn thương sọ não nặng do ngã cầu thang.

Người nhà bệnh nhi cho biết, do gia đình đang trong quá trình xây dựng nhà nên khu vực cầu thang chưa có lan can bảo vệ. Trong lúc người lớn sơ ý, cháu hiếu động đi ra khu vực cầu thang và không may bị ngã, đầu đập vào các bậc cầu thang. Ngay sau khi phát hiện sự việc, gia đình đã nhanh chóng đưa cháu đến Bệnh viện Nhi Thái Bình để cấp cứu.

nga-cau-thang.jpg
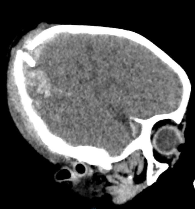
Hình ảnh chụp cắt lớp vi tính vùng đầu của bệnh nhi - Ảnh BVCC

Bệnh nhân được người nhà bế trực tiếp vào khoa Cấp cứu chống độc trong tình trạng lơ mơ, da môi tái nhợt và vùng đầu thái dương bên phải có khối sưng nề lớn.

Qua nhận định và phân loại bệnh nhân cấp cứu, khai thác nhanh trẻ bị ngã cầu thang trước đó, bác sĩ tiếp nhận nhận định ngay bệnh nhân có tình trạng cấp cứu nguy kịch liên quan đến chấn thương.

Ngay lập tức quy trình "báo động đỏ" được kích hoạt. Bệnh nhân được xử trí kiểm soát đường thở, an thần giảm đau, chống phù não, báo cáo trực lãnh đạo, hội chẩn liên khoa, truyền máu cấp cứu và chuẩn bị phòng mổ.

Bệnh nhân được chỉ định chụp cắt lớp vi tính sọ não có kết quả: tụ máu dưới màng cứng bán cầu não phải, xuất huyết dưới nhện lan toả, dập não, vỡ xương thái dương và xương đỉnh hai bên, kèm theo mảnh xương rời trong hộp sọ.

Đây là tình trạng chấn thương sọ não rất nặng, đe dọa trực tiếp đến tính mạng, các y bác sĩ đã hồi sức tích cực, khi các dấu hiệu sinh tồn tạm ổn định được chuyển thẳng nhà mổ và tiến hành phẫu thuật kịp thời.

nga-cau-thang-1.jpg
Ê-kíp các y, bác sĩ thực hiện thành công ca phẫu thuật cho bệnh nhi - Ảnh BVCC

Nhờ sự phối hợp khẩn trương, chính xác và tinh thần trách nhiệm cao của ê–kíp y, bác sĩ, ca phẫu thuật đã thành công, giúp bệnh nhi vượt qua cơn nguy kịch. Sau quá trình điều trị tích cực và chăm sóc toàn diện, đến nay tình trạng sức khỏe của bệnh nhi đã ổn định, các chỉ số sinh tồn cải thiện tốt.

Hiện cháu đã tỉnh táo, tiếp xúc tốt hơn và đang tiếp tục được theo dõi, tập phục hồi chức năng tại bệnh viện.

Chia sẻ về tình trạng của con, mẹ của cháu xúc động cho biết, khi thấy con bị ngã, gia đình vô cùng hoảng loạn, chỉ biết nhanh chóng đưa cháu đến bệnh viện trong tâm trạng lo lắng tột độ.

Nhờ sự tận tâm, trách nhiệm và xử trí kịp thời của các y, bác sĩ, cháu đã được phẫu thuật và điều trị thành công, vượt qua cơn nguy kịch tưởng chừng khó có thể qua khỏi. Hiện sức khỏe của cháu đã tiến triển tốt, gia đình vô cùng biết ơn các bác sĩ của bệnh viện.

nga-cau-thang-2.jpg
Bệnh nhi đang thực hiện phục hồi chức năng tại Bệnh viện - Ảnh BVCC

Thành công của ca phẫu thuật không chỉ giúp bệnh nhi vượt qua thời điểm nguy hiểm mà còn khẳng định năng lực chuyên môn vững vàng của đội ngũ y, bác sĩ Bệnh viện Nhi Thái Bình trong xử trí các ca chấn thương sọ não phức tạp ở trẻ nhỏ.

Sự phối hợp chặt chẽ từ khâu tiếp nhận, chẩn đoán hình ảnh, hội chẩn đến phẫu thuật và hồi sức sau mổ đã tạo nên một quy trình điều trị khẩn trương, chính xác và an toàn.

Từ trường hợp trên, các chuyên gia Bệnh viện Nhi Thái Bình khuyến cáo, đối với gia đình có trẻ nhỏ, đặc biệt là trẻ trong độ tuổi tập bò, tập đi, cần hết sức chú ý đảm bảo an toàn trong sinh hoạt hằng ngày.

Các khu vực tiềm ẩn nguy cơ như cầu thang, ban công, sân thượng cần được lắp đặt lan can, rào chắn chắc chắn; tuyệt đối không để trẻ nhỏ chơi một mình ở những nơi có nguy cơ cao.

Khi trẻ không may bị ngã, đặc biệt là va đập vùng đầu, nếu xuất hiện các dấu hiệu bất thường như nôn, quấy khóc nhiều, lơ mơ, co giật hoặc thay đổi tri giác, gia đình cần nhanh chóng đưa trẻ đến cơ sở y tế để được thăm khám và xử trí kịp thời, tránh những biến chứng nguy hiểm có thể xảy ra.

>>> Mời quý độc giả theo dõi video: Cuộc sống chật chội ở các khu nhà chung cư cũ xuống cấp tại Hà Nội

Hồi sinh bệnh nhân chấn thương sọ não nặng ở Quảng Ngãi

Bệnh nhân chấn thương sọ não nặng tại Quảng Ngãi đã vượt qua nguy kịch sau phẫu thuật cấp cứu, điều trị liên chuyên khoa thành công.

Bệnh viện Đa khoa tỉnh Quảng Ngãi vừa cứu sống bệnh nhân chấn thương sọ não nặng.

Bệnh nhân là anh M. L. H, 40 tuổi, sống tại xã Thiện Tín, tỉnh Quảng Ngãi, nhập viện cấp cứu trong tình trạng lơ mơ, được chẩn đoán tổn thương nội sọ, đa chấn thương. Trải qua ca phẫu thuật sọ não cấp cứu và gần một tháng điều trị tích cực, đến nay bệnh nhân đã hồi phục, có thể tự đi lại và giao tiếp với mọi người. Đánh dấu một kết quả điều trị ấn tượng nhờ sự phối hợp chặt chẽ về chuyên môn giữa các chuyên khoa với nhau.

Đọc nhiều nhất

Tin mới

Đi khám sức khỏe phát hiện ung thư amidan

Đi khám sức khỏe phát hiện ung thư amidan

Người dân cần chủ động thăm khám sức khỏe định kỳ, đặc biệt khi có dấu hiệu bất thường vùng tai mũi họng, đau họng kéo dài, nuốt vướng, khàn tiếng, nổi hạch cổ…