Một bệnh nhân nam bị thủng ruột non do dị vật tăm tre

Một ca phẫu thuật cấp cứu vì tăm tre đâm thủng ruột nhấn mạnh nguy cơ lớn từ thói quen nhỏ nhưng gây hiểm họa tính mạng.

Khoa Ngoại Tổng hợp – Bệnh viện 19-8 vừa tiếp nhận và phẫu thuật một trường hợp thủng ruột non do dị vật tăm tre.

Bệnh nhân nam, đau bụng hố chậu trái 2 ngày, bí trung đại tiện. Điều đáng chú ý, người bệnh có thói quen ngậm tăm sau khi ăn và cả khi đi ngủ.

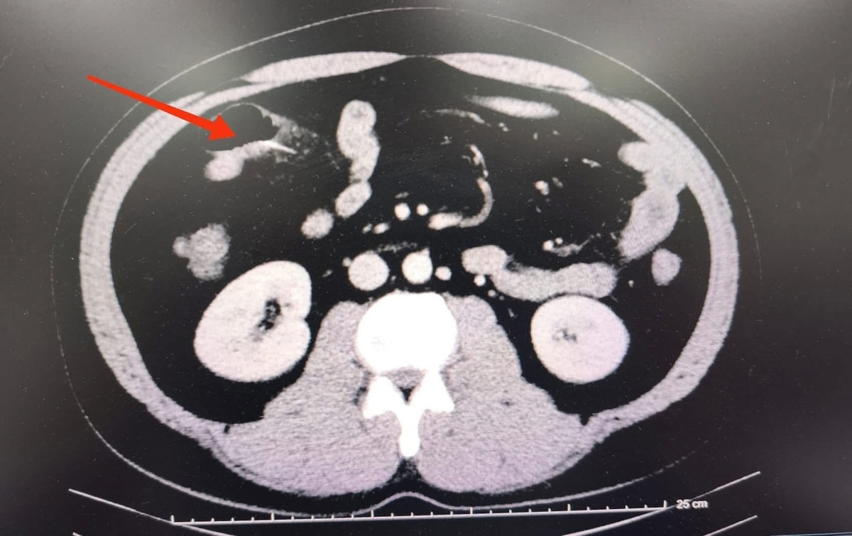
Chụp CT phát hiện một chiếc tăm tre sắc, dài khoảng 3 cm, đâm xuyên thành ruột non gây viêm dày quai ruột.

Ảnh BV

Bệnh nhân được phẫu thuật cấp cứu, lấy dị vật và khâu lỗ thủng. Nhờ can thiệp kịp thời, người bệnh hồi phục tốt và xuất viện sau 9 ngày.

BSCKII Mai Tiến Dũng, Khoa Ngoại Tổng hợp, chia sẻ: “Tăm tre nhỏ, nhọn, dễ mắc vào niêm mạc và đâm thủng đường tiêu hóa. Điểm nguy hiểm nhất là đa số bệnh nhân không nhớ mình đã nuốt, dẫn đến chậm trễ điều trị. Khi vào viện, tổn thương thường đã nặng”.

Nếu không phát hiện sớm, dị vật tăm có thể gây: Thủng ruột non/ruột già; Áp-xe ổ bụng; Viêm phúc mạc, nhiễm trùng huyết; Nguy cơ tử vong nếu điều trị muộn.

Các bác sĩ cho biết, thói quen ngậm tăm khá phổ biến ở Việt Nam và là yếu tố nguy cơ hàng đầu gây thủng ruột do dị vật. Nhiều nghiên cứu trong nước ghi nhận 70–80% bệnh nhân bị thủng ruột do tăm tre không hề biết mình đã nuốt phải.

Ảnh BV

Từ trường hợp này, bác sĩ khuyến cáo người dân tuyệt đối không ngậm tăm sau khi ăn, bỏ thói quen cầm tăm trên miệng khi làm việc hoặc lái xe... Khi nghi ngờ nuốt dị vật hoặc xuất hiện các triệu chứng như đau bụng kéo dài, sốt, buồn nôn, bí trung đại tiện, cần đến cơ sở y tế thăm khám sớm, tránh chần chừ gây hậu quả đáng tiếc.

Phẫu thuật thành công ca u nang lách khổng lồ cho bệnh nhi ở Nghệ An

Sau phẫu thuật, bệnh nhi hồi phục nhanh, không ghi nhận biến chứng, có thể ăn uống và vận động nhẹ.

Ngày 31/1, thông tin từ Bệnh viện Sản nhi Nghệ An cho biết, đơn vị vừa phẫu thuật thành công ca u nang lách khổng lồ cho bệnh nhi 14 tuổi bằng kỹ thuật cắt lách bán phần, bảo tồn chức năng miễn dịch.

Trước đó, bệnh nhi P.T.K.L. (14 tuổi, trú tại xã Lương Sơn) nhập viện trong tình trạng đau âm ỉ vùng bụng trái kéo dài, kèm buồn nôn, cảm giác tức nặng khi vận động và ăn uống kém.

Chất độc thạch tín dùng trong nha khoa nguy hại sức khỏe thế nào?

Một đường dây sản xuất, buôn bán trái phép thạch tín dùng trong nha khoa bị triệt phá tại TP HCM. Chất độc này nguy hiểm thế nào?

Một nhóm người vừa bị bắt vì sản xuất, mua bán trái phép chất độc Arsenic trioxide (thạch tín trắng) với số lượng lớn, được tiêu thụ cho nhiều cơ sở nha khoa dùng để diệt tủy răng, tiềm ẩn nguy cơ đặc biệt nghiêm trọng đối với sức khỏe cộng đồng.

Tại đây, lực lượng chức năng phát hiện cơ sở đang bày bán sản phẩm “Arsenic Blue 5g” và nhiều lọ “Pâte Nécronerve” (chất diệt tủy trong nha khoa) nhưng không xuất trình được hóa đơn, chứng từ chứng minh nguồn gốc hợp pháp.

Gắp thành công dị vật nằm trong tầng sinh môn người phụ nữ suốt 11 năm

Sau thủ thuật, sức khỏe bệnh nhân ổn định, các triệu chứng đau nhói vùng tầng sinh môn đã chấm dứt, vết khâu khô, liền tốt, không sưng đau.

Ngày 29/1, thông tin từ Bệnh viện Hữu nghị Quảng Bình xác nhận, đơn vị vừa tiếp nhận và xử trí thành công trường hợp dị vật kim loại tồn tại lâu năm ở vùng tầng sinh môn, gây đau âm ỉ kéo dài suốt 11 năm cho người bệnh.

Trước đó, bệnh nhân T.T.H. (40 tuổi, trú xã Đông Trạch) đến Bệnh viện Hữu nghị Quảng Bình khám trong tình trạng thỉnh thoảng xuất hiện các cơn đau nhói vùng tầng sinh môn, gây lo lắng và ảnh hưởng đến sinh hoạt hằng ngày.

Đọc nhiều nhất

Tin mới

Sản phụ sau sinh ăn gì để lợi sữa?

Sản phụ sau sinh ăn gì để lợi sữa?

Mẹ bầu sau sinh cần một chế độ dinh dưỡng cân đối, khoa học giữa các nhóm chất dinh dưỡng như chất đạm, chất béo, chất bột đường, vi khoáng, chất xơ.