Nam thanh niên tổn thương nghiêm trọng do tai nạn pháo nổ

Phần lớn các trường hợp tổn thương gặp ở người trẻ, học sinh, sinh viên, do thiếu kiến thức và chủ quan với mức độ nguy hiểm của pháo.

Các bác sĩ tại khoa Phẫu thuật Chấn thương Chỉnh hình và Y học thể thao - Bệnh viện E đã tiếp nhận và điều trị cho một trường hợp chấn thương bàn tay nghiêm trọng do pháo nổ.

Tai nạn chỉ trong tích tắc phá hủy gân, xương, cơ khớp

Người bệnh là nam giới trẻ tuổi, nhập viện trong tình trạng vết thương phức tạp bàn tay trái sau khi sử dụng pháo nổ. Theo lời kể của bệnh nhân, trong lúc đốt pháo, quả pháo bất ngờ phát nổ ngay trên tay, khiến bàn tay bị tổn thương nặng.

Ngay sau tai nạn, người bệnh được đưa đến cấp cứu tại Bệnh viện E. Khi thăm khám, bác sĩ ghi nhận người bệnh bị vết thương dập nát phức tạp bàn tay trái, chảy máu nhiều, nguy cơ tổn thương gân, mạch máu và thần kinh, có nhiều dị vật và mô hoại tử trong vết thương, nguy cơ mất chức năng bàn tay nếu không xử trí kịp thời…

Các bác sĩ nhận định, đây là tổn thương thường gặp trong tai nạn pháo nổ, có mức độ rất nghiêm trọng do lực nổ mạnh gây phá hủy tổ chức sâu như xương, gân, cơ, khớp… Vì vậy, các bác sĩ đã tiến hành xử trí khẩn cấp để bảo tồn tối đa chức năng bàn tay cho người bệnh.

Ngay lập tức, các bác sĩ tiến hành sơ cứu, cầm máu vết thương cho người bệnh và hội chẩn liên chuyên khoa để đánh giá mức độ tổn thương toàn diện cho người bệnh. Sau đó các bác sĩ tiến hành lên phương án phẫu thuật cấp cứu xử lý vết thương nhằm bảo tồn tối đa chức năng bàn tay trái cho người bệnh.

Trong quá trình phẫu thuật, các bác sĩ Khoa Phẫu thuật chấn thương chỉnh hình và y học thể thao đã tiến hành cắt lọc tổ chức dập nát, lấy bỏ dị vật trên bàn tay của người bệnh. Đồng thời, các bác sĩ làm sạch vết thương, bảo tồn tối đa cấu trúc gân, thần kinh và mạch máu còn lại cho người bệnh. Cuối cùng, các bác sĩ đã cố định xương gãy và khớp bị trật cho người bệnh.

Sau phẫu thuật, người bệnh tiếp tục được điều trị tại khoa Phẫu thuật chấn thương chỉnh hình và Y học thể thao – Bệnh viện E và theo dõi sát nguy cơ nhiễm trùng và hoại tử thứ phát, đồng thời lên kế hoạch phục hồi chức năng nhằm giúp người bệnh sớm trở lại sinh hoạt bình thường.

phao-no-4.jpg
phao-no-1.jpg
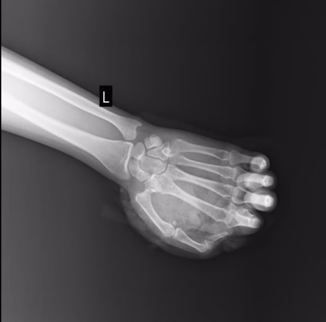
Tổn thương trên phim chụp - Ảnh BVCC

Chấn thương nặng, dễ tàn phế

Theo các bác sĩ chấn thương chỉnh hình, tai nạn do pháo nổ không chỉ gây tổn thương phần mềm, dập nát bàn tay, gãy xương phức tạp mà còn có thể dẫn đến mất ngón, mất bàn tay, tổn thương phần mềm, bỏng gây di chứng tàn phế vĩnh viễn.

Đáng chú ý, phần lớn các trường hợp gặp ở người trẻ, học sinh, sinh viên, do thiếu kiến thức và chủ quan với mức độ nguy hiểm của pháo.

Theo TS.BS Nguyễn Trung Tuyến, trưởng khoa khoa Phẫu thuật Chấn thương và Y học thể thao, khuyến cáo: Không tự ý sử dụng pháo, đặc biệt là pháo tự chế hoặc không rõ nguồn gốc; Tuyệt đối không cho trẻ em tiếp xúc với pháo; Tuân thủ quy định pháp luật về sử dụng pháo…

Bên cạnh đó, gia đình và nhà trường cần tăng cường giáo dục, nâng cao nhận thức cho thanh thiếu niên về nguy cơ tai nạn do pháo nổ.

tai-nan-phao-no.jpg
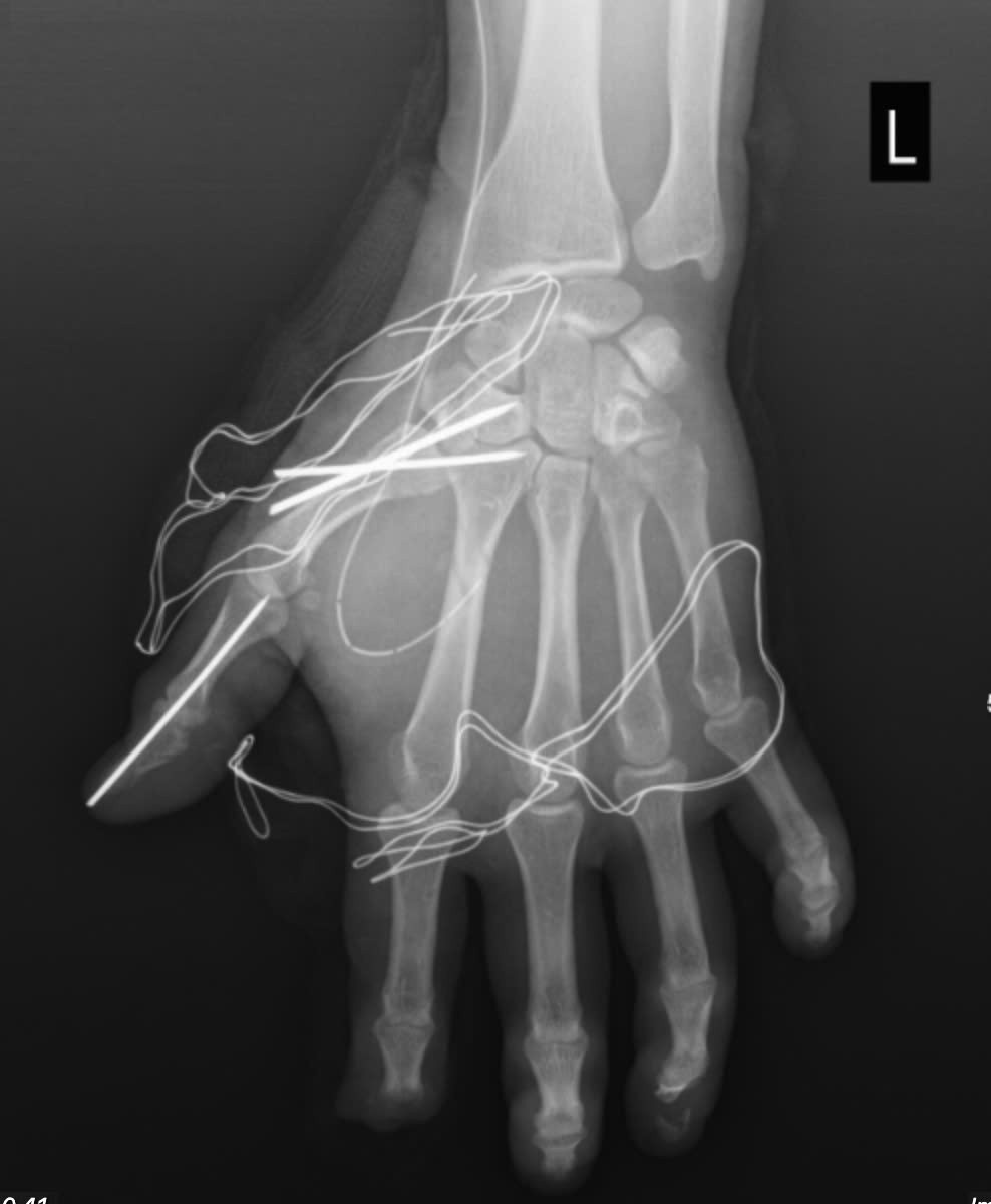
Tổn thương sau phẫu thuật - Ảnh BVCC

Đặc biệt, TS.BS Nguyễn Trung Tuyến khuyến cáo, tai nạn pháo nổ là hoàn toàn có thể phòng tránh được. Mỗi người cần nâng cao ý thức để bảo vệ bản thân và người thân, tránh những hậu quả đáng tiếc.

Trong trường hợp gặp tai nạn về pháo nổ, người bệnh cần đến ngay cơ sở y tế, có chuyên khoa phẫu thuật chấn thương chỉnh hình và y học thể thao để được xử trí kịp thời, nhằm bảo tồn tối đa chức năng bàn tay cho người bệnh.

TS.BS Nguyễn Trung Tuyến, BS Phạm Sơn Tùng, BS Lê Vân Nam (Khoa PT Chấn thương Chỉnh hình và Y học thể thao)

>>> Mời quý độc giả xem video: Xe khách giường nằm hai tầng bị rà soát trên toàn quốc sau hàng loạt tai nạn

Nhiều ca chấn thương mắt nghiêm trọng do pháo nổ Tết 2026

Thời gian vàng trong xử trí chấn thương nhãn cầu chỉ tính bằng giờ. Can thiệp càng sớm, cơ hội bảo tồn thị lực càng cao.

Chỉ trong 3 ngày đầu năm 2026, khoa Mắt - Bệnh viện Bạch Mai đã tiếp nhận liên tiếp nhiều trường hợp chấn thương mắt nghiêm trọng do pháo nổ. Đáng lo ngại, phần lớn nạn nhân là trẻ em và thanh thiếu niên. Không ít trường hợp đối mặt nguy cơ mất thị lực vĩnh viễn.

Theo các bác sĩ, người bệnh nhập viện trong tình trạng rất nặng: rách giác mạc, thủng nhãn cầu, vỡ nhãn cầu, xuất huyết nội nhãn, dị vật kim loại cắm sâu trong mắt, bỏng nhiệt và bỏng hóa chất vùng mặt. Đây đều là những tổn thương có thể để lại di chứng nặng nề, thậm chí không thể phục hồi.

Mua pháo về đốt, trẻ 13 tuổi bị bỏng mặt nặng, mất thị lực

Trẻ nhỏ chưa có khả năng tự bảo vệ, phản xạ chậm, nên mức độ tổn thương thường nặng hơn người lớn.

Bệnh viện Nhi đồng 2 vừa tiếp nhận một trường hợp bệnh nhi 13 tuổi bị chấn thương nặng vùng mặt và mắt do pháo nổ. Theo lời gia đình, pháo được đặt mua trên mạng và đốt tại nhà.

Hậu quả để lại vô cùng nghiêm trọng: Bỏng nặng vùng mặt gây nhiều mảng hoại tử da; Tổn thương mắt nghiêm trọng, bao gồm rách giác mạc, xuất huyết tiền phòng; Nguy cơ mất thị lực vĩnh viễn.

Liên tiếp các ca chấn thương mắt nghiêm trọng do pháo

Hầu hết các trường hợp chấn thương mắt do pháo đều để lại hậu quả nặng nề, ảnh hưởng nghiêm trọng đến thị lực, thậm chí mù lòa vĩnh viễn.

Thời gian gần đây, Bệnh viện Mắt Trung ương liên tục tiếp nhận nhiều ca chấn thương mắt rất nặng do pháo gây ra, trong đó không ít trường hợp đối diện nguy cơ mù lòa vĩnh viễn, để lại hậu quả nặng nề cho người bệnh và người thân.

Ngày 26/01/2026, Bệnh viện Mắt Trung ương tiếp nhận bệnh nhân Lê Văn H. (30 tuổi, xã Đại Đồng, tỉnh Bắc Ninh) trong tình trạng mắt trái chấn thương nặng do pháo nổ.

Đọc nhiều nhất

Tin mới

Đi khám sức khỏe phát hiện ung thư amidan

Đi khám sức khỏe phát hiện ung thư amidan

Người dân cần chủ động thăm khám sức khỏe định kỳ, đặc biệt khi có dấu hiệu bất thường vùng tai mũi họng, đau họng kéo dài, nuốt vướng, khàn tiếng, nổi hạch cổ…