Người phụ nữ 66 tuổi ở Nghệ An bị thủng đại tràng vì ngậm tăm khi ngủ

Ngày 25/11, thông tin từ Trung tâm Y tế Anh Sơn cho biết, các y bác sĩ vừa phẫu thuật lấy dị vật là chiếc tăm ra khỏi đại tràng của một người phụ nữ 66 tuổi.

Các y, bác sĩ Trung tâm Y tế Anh Sơn (Nghệ An) vừa phẫu thuật thành công lấy dị vật là chiếc tăm tre nhọn ra khỏi đại tràng của một người phụ nữ 66 tuổi.

Trước đó, bà Nguyễn Thị T., 66 tuổi trú tại xã Anh Sơn có biểu hiện đau, chướng bụng, sốt nhẹ. Do cơn đau tăng dần, không rõ nguyên nhân, bà T. được người nhà đưa đến Trung tâm Y tế Anh Sơn khám.

Tại đây, qua kết quả chẩn đoán hình ảnh các bác sĩ phát hiện dị vật hình dạng giống tăm tre đã xuyên thủng thành đại tràng, gây viêm phúc mạc khu trú.

Bác sĩ Nguyễn Sóng Hồng, Trưởng Khoa Ngoại, Trung tâm Y tế Anh Sơn và kíp trực phẫu thuật lấy dị vật là một chiếc tăm tre dài khoảng 5 - 7cm ra khỏi cơ thể bệnh nhân và xử trí tổn thương, lấy mẫu bệnh phẩm làm xét nghiệm giải phẫu bệnh.

Nguyên nhân được xác định, bà T., có thói quen xỉa răng sau khi ăn cơm rồi ngủ quên nên vô tình nuốt tăm vào bụng.

Các bác sĩ tiến hành phẫu thuật lấy dị vật cây tăm nhọn ra khỏi đại tràng nạn nhân T. Ảnh tienphong.vn
Các bác sĩ tiến hành phẫu thuật lấy dị vật cây tăm nhọn ra khỏi đại tràng nạn nhân T. Ảnh tienphong.vn

Theo bác sĩ Hồng, trong quá trình mổ, các bác sĩ phát hiện đầu tăm dài đâm xuyên thành đại tràng, gây tổn thương nghiêm trọng. Kíp phẫu thuật tiến hành lấy dị vật, làm sạch ổ bụng, khâu phục hồi tổn thương. Sau phẫu thuật, bệnh nhân được theo dõi tích cực, hiện tình trạng ổn định, phục hồi tốt.

    Dị vật có thể đâm thủng bất kỳ vị trí nào trên đường tiêu hóa (thực quản, dạ dày, tá tràng, ruột non, đại tràng…) gây viêm, áp xe xung quanh, viêm phúc mạc dẫn đến nhiễm trùng nặng và nguy hiểm đến tính mạng nếu không được phát hiện kịp thời.

    Các bác sĩ khuyến cáo người dân nên hết sức cẩn thận khi sử dụng tăm hằng ngày. Không ngậm tăm, đặc biệt là trước khi đi ngủ để tránh dẫn đến những hậu quả đáng tiếc xảy ra.

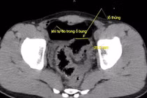
    Dị vật là tăm tre trong bụng bệnh nhân/ Ảnh SKĐS

    Dị vật là tăm tre trong bụng bệnh nhân/ Ảnh SKĐS

    Ngậm tăm – thói quen tưởng vô hại nhưng cực kỳ nguy hiểm

    Các y văn gần đây cho thấy đa số dị vật nuốt phải có thể tự đi qua đường tiêu hóa mà không gây biến chứng. Tuy nhiên, đối với những dị vật có đầu nhọn hoặc hình thon dài như tăm tre, xương cá... nguy cơ thủng ruột lại rất cao, có thể lên tới 15–35%.

    Các vị trí dễ bị thủng nhất thường là hồi tràng, đại tràng, tá tràng và dạ dày. Đáng chú ý, tăm tre là một trong những dị vật nguy hiểm, thường xuyên được ghi nhận trong các trường hợp thủng ruột.

    Những nhóm người có nguy cơ cao gồm: Người cao tuổi, người nghiện rượu, trẻ em, người có rối loạn tâm thần hoặc những ai thường xuyên duy trì thói quen ngậm tăm sau ăn. Nguy cơ nuốt phải dị vật tăng lên khi nói chuyện, ho, ngủ gật hoặc thiếu tập trung trong lúc ngậm tăm.

    Biểu hiện lâm sàng của việc nuốt dị vật gây thủng ruột thường không đặc hiệu, dễ bị nhầm lẫn với các bệnh liên quan đường tiêu hóa khác. Đặc biệt, do tăm tre là dị vật khó phát hiện trên phim X-quang, dẫn đến chẩn đoán trễ. Khi triệu chứng lâm sàng được nghi ngờ, nhưng hình ảnh học không rõ ràng, các biện pháp như phẫu thuật thám sát hoặc nội soi chẩn đoán thường được chỉ định.

    Phần lớn dị vật sẽ tự thải ra ngoài qua phân, nhưng dị vật nhọn như tăm tre cần được theo dõi sát và can thiệp sớm. Nội soi có thể được chỉ định khi dị vật ở đoạn trên của ống tiêu hóa (dạ dày, tá tràng) và tiếp cận được. Khi phát hiện dấu hiệu thủng ruột hoặc viêm phúc mạc, phẫu thuật cấp cứu là bắt buộc để lấy dị vật ra và làm sạch ổ bụng.

    Nếu nghi ngờ nuốt phải tăm hoặc vật nhọn, cần đến ngay cơ sở y tế để kiểm tra, không nên tự ý chờ đợi hoặc sử dụng các phương pháp dân gian.

    Đau bụng, vật vã người phụ nữ 67 tuổi viêm phúc mạc do thủng tạng rỗng

    Bệnh nhân sốc nhiễm khuẩn nặng, phụ thuộc thuốc vận mạch (nhóm thuốc dùng để nâng huyết áp) liều cao, thở máy với oxy nồng độ cao và vô niệu hoàn toàn.

    3 đêm trắng hồi sức tích cực để cứu bệnh nhân

    Trung tâm Y tế Đoan Hùng (Phú Thọ) đã lọc máu liên tục thành công cứu sống bệnh nhân sốc nhiễm khuẩn nặng do thủng đại tràng, viêm phúc mạc nguy kịch sống phụ thuộc vào thuốc vận mạch.

    Cấp cứu thành công ca thủng đại tràng do bị vòi rửa xe xịt vào hậu môn

    Bệnh viện Đa khoa tỉnh Lạng Sơn vừa cấp cứu thành công một trường hợp thủng đại tràng do bị bạn dùng vòi rửa xe ô tô áp lực cao xịt vào hậu môn.

    Khoa Ngoại tiêu hóa – Bệnh viện Đa khoa Tỉnh Lạng Sơn vừa tiếp nhận và điều trị thành công một trường hợp đau bụng cấp do thủng đại tràng, nguyên nhân hi hữu là do dùng vòi xịt rửa xe ô tô để xịt vào hậu môn.

    Bệnh nhân nhập viện trong tình trạng đau bụng dữ dội, bụng chướng căng, khó thở và mệt lả. Khai thác bệnh sử ghi nhận trước đó bệnh nhân bị bạn trêu đùa và dùng vòi xịt rửa xe ô tô (áp lực cao) để xịt vào hậu môn. Kết quả chụp X-quang và CT scan ổ bụng cho thấy nhiều khí tự do trong ổ bụng, nghi ngờ thủng tạng rỗng. Bệnh nhân được chỉ định mổ cấp cứu ngay.

    Nuốt phải xương, người đàn ông 58 tuổi bị thủng đại tràng

    Bệnh viện Thống Nhất, TP HCM vừa phẫu thuật thành công cho người đàn ông bị thủng đại tràng, áp xe gan do nuốt phải xương.

    Người đàn ông tên N.T.H (58 tuổi, ngụ phường Bảy Hiền, TP HCM), nhập viện trong tình trạng đau bụng kéo dài, kèm nhiều bệnh lý nền phức tạp.

    Khoảng một tháng trước khi vào viện, bệnh nhân thường xuyên bị đau bụng quanh rốn kèm nôn 2–3 lần/ngày và tự ý dùng thuốc giảm đau nhưng không cải thiện. Khi vào Bệnh viện Thống Nhất, ông H được ghi nhận có tiền sử tăng huyết áp, đái tháo đường, béo phì và xuất hiện nhiễm trùng ổ bụng.

    Đọc nhiều nhất

    Hiểu lầm phổ biến về 'detox' sau Tết

    Hiểu lầm phổ biến về 'detox' sau Tết

    Thay vì các phương pháp “detox” nguy hiểm, hãy duy trì thói quen uống đủ nước, ăn rau quả, ngủ đủ giấc và vận động nhẹ nhàng để giữ gìn sức khỏe lâu dài.

    Tin mới

    Hiểu lầm phổ biến về 'detox' sau Tết

    Hiểu lầm phổ biến về 'detox' sau Tết

    Thay vì các phương pháp “detox” nguy hiểm, hãy duy trì thói quen uống đủ nước, ăn rau quả, ngủ đủ giấc và vận động nhẹ nhàng để giữ gìn sức khỏe lâu dài.