Người phụ nữ 66 tuổi ở Nghệ An bị thủng đại tràng vì ngậm tăm khi ngủ
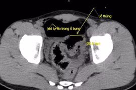
Ngày 25/11, thông tin từ Trung tâm Y tế Anh Sơn cho biết, các y bác sĩ vừa phẫu thuật lấy dị vật là chiếc tăm ra khỏi đại tràng của một người phụ nữ 66 tuổi.
Ngày 25/11, thông tin từ Trung tâm Y tế Anh Sơn cho biết, các y bác sĩ vừa phẫu thuật lấy dị vật là chiếc tăm ra khỏi đại tràng của một người phụ nữ 66 tuổi.
Bệnh viện Đa khoa tỉnh Lạng Sơn vừa cấp cứu thành công một trường hợp thủng đại tràng do bị bạn dùng vòi rửa xe ô tô áp lực cao xịt vào hậu môn.
Bệnh viện Thống Nhất, TP HCM vừa phẫu thuật thành công cho người đàn ông bị thủng đại tràng, áp xe gan do nuốt phải xương.