Nuốt phải xương, người đàn ông 58 tuổi bị thủng đại tràng

Bệnh viện Thống Nhất, TP HCM vừa phẫu thuật thành công cho người đàn ông bị thủng đại tràng, áp xe gan do nuốt phải xương.

Người đàn ông tên N.T.H (58 tuổi, ngụ phường Bảy Hiền, TP HCM), nhập viện trong tình trạng đau bụng kéo dài, kèm nhiều bệnh lý nền phức tạp.

Khoảng một tháng trước khi vào viện, bệnh nhân thường xuyên bị đau bụng quanh rốn kèm nôn 2–3 lần/ngày và tự ý dùng thuốc giảm đau nhưng không cải thiện. Khi vào Bệnh viện Thống Nhất, ông H được ghi nhận có tiền sử tăng huyết áp, đái tháo đường, béo phì và xuất hiện nhiễm trùng ổ bụng.

Sau phẫu thuật, sức khỏe bệnh nhân đã cải thiện rõ, chức năng gan – thận dần ổn định. Ảnh: BVCC/Nguồn SKĐS

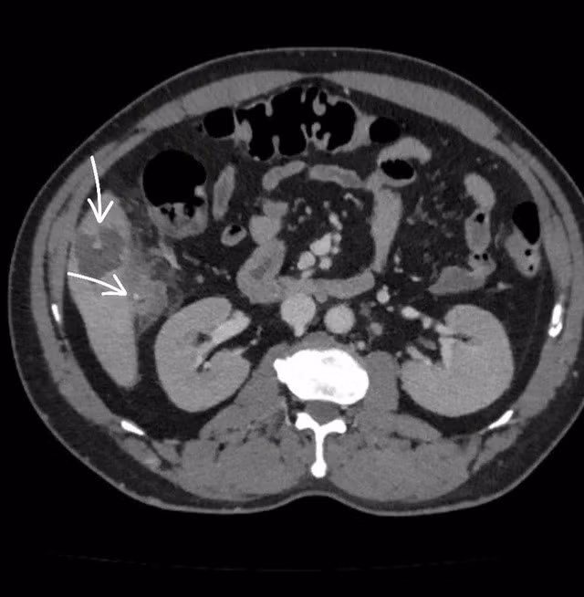
Kết quả chẩn đoán hình ảnh (CT scan) cho thấy một mảnh xương nhỏ xuyên qua thành đại tràng tại góc gan, găm vào nhu mô gan hạ phân thùy V, tạo ổ áp xe kích thước 56x36mm, kèm viêm dày thành đại tràng vùng góc gan. Đây là nguyên nhân chính gây ra ổ nhiễm trùng nguy hiểm. Bệnh nhân nhanh chóng được các bác sĩ phẫu thuật nội soi, lấy dị vật và xử lý ổ áp xe thành công. Sau phẫu thuật, bệnh nhân đáp ứng với điều trị, tình trạng dần ổn định và được chuyển sang Khoa Ngoại Tiêu hóa để tiếp tục điều trị.

Bệnh nhân bị áp xe gan do bị mảnh xương nhỏ đâm phải. Ảnh: BVCC/Nguồn SKĐS.

Các bác sĩ khuyến cáo trong ăn uống cần đặc biệt lưu ý, tránh để xương - nhất là xương cá - lọt vào đường tiêu hóa, vì có thể gây biến chứng nặng nề, thậm chí nguy hiểm tính mạng. Bên cạnh đó, khi có triệu chứng đau bụng kéo dài, người bệnh cần đến bệnh viện thăm khám sớm, không nên tự ý dùng thuốc tại nhà để tránh nhập viện muộn, khiến việc điều trị khó khăn và nguy cơ biến chứng tăng cao.

Cứu bệnh nhân 35 tuổi người Philippines vỡ thai ngoài tử cung nguy kịch

Bệnh nhân người Philippines nhập viện với khối thai ở vòi tử cung phải đã có dấu hiệu chảy máu kèm theo tiền sử mổ lấy thai 2 lần nên khó khăn trong xử trí.

Mới đây, một bệnh nhân người Philippines 35 tuổi bị vỡ khối chửa ngoài tử cung được các bác sĩ khoa Phụ sản, Bệnh viện Đa khoa tỉnh Quảng Ninh kịp thời phẫu thuật nội soi điều trị thành công.

Theo khoa Phụ sản cho biết, bệnh nhân là E.V.T (35 tuổi), quốc tịch Philippines, hiện đang làm việc tại Quảng Ninh. Bệnh nhân đau bụng, chậm kinh đi khám phát hiện chửa ngoài tử cung, nên đến Bệnh viện Đa khoa tỉnh Quảng Ninh điều trị.

Người đàn ông cấp cứu với mức đường huyết nguy cấp

Người đàn ông ở Hà Nội nhập viện trong tình trạng nguy hiểm do tăng đường huyết quá cao.

Ông H.V.N (51 tuổi, trú tại Khương Trung, Hà Nội) được gia đình đưa đi cấp cứu tại Bệnh viện Nội tiết Trung ương trong tình trạng tăng đường huyết và ceton niệu. Một tuần trước khi nhập viện, bệnh nhân thấy người mệt mỏi, khát nước, uống nhiều, tiểu nhiều...

Bệnh nhân N. bị tăng huyết áp, xuất huyết não cách đây 10 năm và để lại di chứng yếu nửa người phải và rối loạn ngôn ngữ. Bệnh nhân không tuân thủ hướng dẫn điều trị của bác sĩ, chỉ dùng thuốc một năm sau đó tự ý ngừng.

Cứu sống người phụ nữ chửa ngoài tử cung vỡ sốc mất máu

Một phụ nữ 29 tuổi ở Quảng Ninh thai chửa ngoài tử cung bị vỡ sốc mất máu vừa được các bác sĩ Trung tâm Y tế Hải Hà (Quảng Ninh) cứu sống.

1h30 sáng ngày 12/8, các bác sĩ Trung tâm Y tế Hải Hà phẫu thuật cấp cứu kịp thời cho bệnh nhân chửa ngoài tử cung vỡ mất máu nguy kịch.

Bệnh nhân N.T.X 29 tuổi (trú tại Hải Ninh - Quảng Ninh) được người nhà đưa vào Trung tâm Y tế Hải Hà trong tình trạng đau bụng nhiều, đau lan khắp bụng kèm theo mệt và choáng.

Đọc nhiều nhất

Tin mới