Giữ 'cái ngàn vàng', cô gái phát hiện ung thư niêm mạc tử cung muộn

Rong kinh kéo dài, ra máu bất thường không rõ nguyên nhân, dù ở người trẻ, chưa từng quan hệ tình dục vẫn cần được thăm khám đầy đủ để tìm nguyên nhân.

Chủ quan với rong kinh kéo dài và cái kết không ai muốn

Mới đây, Khoa khám Phụ khoa Tự nguyện – Bệnh viện Phụ sản Hà Nội vừa tiếp nhận một bệnh nhân nữ 30 tuổi, chưa từng quan hệ tình dục, có tiền sử rong kinh kéo dài gần một năm. Trong thời gian đó, chị đã đi khám tại nhiều cơ sở y tế, được chẩn đoán rối loạn nội tiết và điều trị bằng thuốc nội tiết nhiều đợt, tuy nhiên tình trạng ra máu kéo dài không cải thiện.

Kết quả siêu âm cho thấy niêm mạc tử cung dày. Tuy nhiên, do quan điểm giữ gìn “cái ngàn vàng”, bệnh nhân không được tư vấn hút niêm mạc tử cung làm xét nghiệm tế bào, bởi thủ thuật thông thường cần đặt mỏ vịt qua đường âm đạo, có nguy cơ ảnh hưởng đến màng trinh. Chính sự e ngại này khiến việc chẩn đoán nguyên nhân rong kinh bị trì hoãn suốt một thời gian dài.

ngang-vang-1.png
Nội soi cho bệnh nhân - Ảnh BVCC

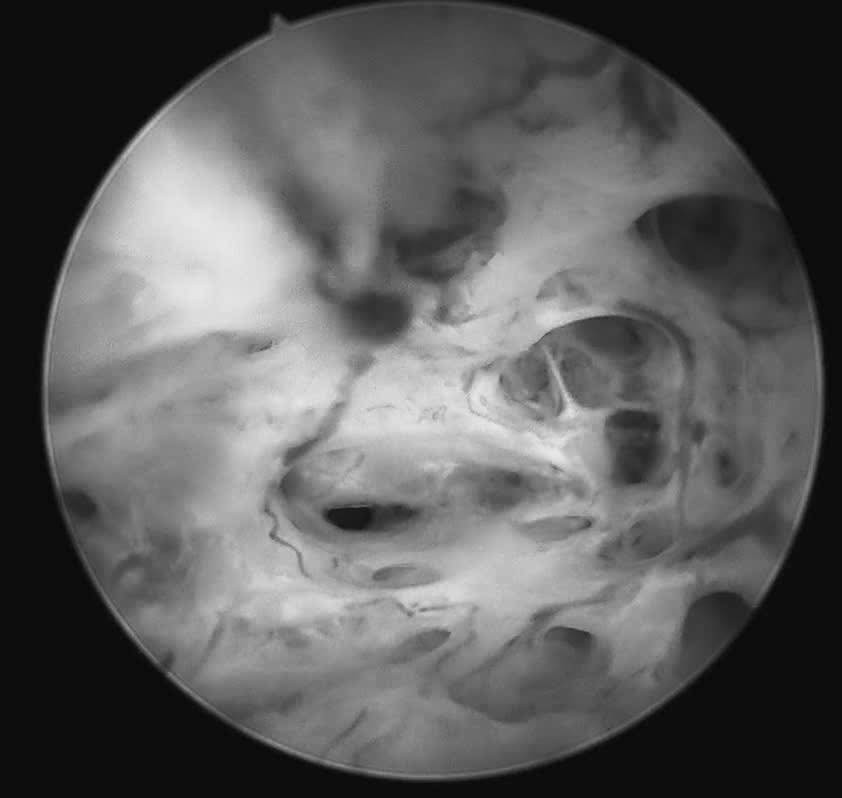
Trước tình huống đó, tại Khoa Khám Phụ khoa Tự nguyện, bệnh nhân được tư vấn thực hiện soi buồng tử cung sinh thiết bằng ống soi nhỏ, một phương pháp cho phép đánh giá trực tiếp buồng tử cung mà không làm tổn thương màng trinh. Ca thủ thuật được ThS.BSCKII Nguyễn Biên Thùy – Trưởng khoa Khám Phụ khoa Tự nguyện trực tiếp thực hiện.

Quá trình soi diễn ra an toàn, nhẹ nhàng. Bệnh nhân hoàn toàn tỉnh táo và có thể quan sát trực tiếp hình ảnh buồng tử cung trên màn hình: niêm mạc nham nhở, tăng sinh không đồng đều, nhiều mạch máu bất thường, những dấu hiệu gợi ý tổn thương ác tính. Mẫu sinh thiết được lấy ngay trong quá trình soi để làm xét nghiệm mô bệnh học.

Năm ngày sau, kết quả trả về là điều không ai mong muốn: Ung thư niêm mạc tử cung.

ngang-vang-3.jpg
Hình ảnh tổn thương qua nội soi - Ảnh BVCC

Câu hỏi bệnh nhân đặt ra khiến các bác sĩ không khỏi trăn trở:

“Nếu em được làm xét nghiệm sớm hơn, ngay từ khi bắt đầu rong kinh, liệu em có còn cơ hội giữ lại tử cung không?”.

Đây không chỉ là nỗi day dứt của người bệnh, mà còn là lời cảnh tỉnh rõ ràng trong thực hành lâm sàng: rong kinh kéo dài, ra máu bất thường không rõ nguyên nhân, dù ở người trẻ, dù chưa từng quan hệ tình dục vẫn cần được thăm dò đầy đủ để tìm nguyên nhân đến cùng.

Việc trì hoãn chẩn đoán vì tâm lý e ngại thủ thuật có thể khiến người bệnh đánh mất “thời gian vàng” cho điều trị sớm.

Chính vì vậy, khi có bất thường về sản phụ khoa, người bệnh nên đến các cơ sở chuyên sâu nơi có phương tiện chẩn đoán hiện đại và đội ngũ bác sĩ giàu kinh nghiệm, để được tiếp cận những giải pháp phù hợp, an toàn và chính xác, trước khi những câu hỏi “giá như” trở nên quá muộn.

Phát hiện sớm nâng cao chất lượng cuộc sống

ThS.BS Trần Anh Tuấn, Bệnh viện K cho biết, ung thư nội mạc tử cung là sự phát triển bất thường của các tế bào trong lớp niêm mạc tử cung, tức là lớp màng lót bên trong tử cung. Bệnh thường xảy ra khi các tế bào này bắt đầu phân chia không kiểm soát, phát triển quá nhanh dẫn đến sự hình thành các khối u. Đây là loại ung thư phổ biến thứ tư ở phụ nữ, sau ung thư vú, ung thư ruột và ung thư phổi.

Bệnh có thể xảy ra với phụ nữ ở mọi lứa tuổi, nhưng phổ biến nhất là ở người từ 50-70 tuổi hoặc sau mãn kinh. Bệnh lý này có sự liên quan chặt chẽ đến các yếu tố di truyền và nội tiết tố. Nếu không được phát hiện và điều trị kịp thời, bệnh có thể tiến triển nhanh chóng và lan rộng đến các cơ quan khác trong cơ thể.

ngan-vang.png
Nội soi phát hiện sớm bệnh nâng cao chất lượng sống - Ảnh BVCC

Bệnh thường được phân thành 2 loại phổ biến. Ung thư loại 1 là loại bệnh có tiên lượng tốt nhất, có tỷ lệ xâm lấn nội mạc tử cung dưới 50%. Các tế bào trong loại này thường có cấu trúc gần giống với tế bào bình thường và quá trình phát triển của bệnh chậm.

Bệnh thường được phát hiện ở giai đoạn sớm và đáp ứng tốt với điều trị, thường là phẫu thuật cắt bỏ tử cung kết hợp với xạ trị với tỷ lệ sống sót của bệnh nhân sau 5 năm là 100%.

Ung thư nội mạc loại 2 có khả năng tiến triển nhanh chóng và di căn sang các bộ phận khác của cơ thể. Tế bào trong loại này có hình dạng và cấu trúc bất thường, thể hiện sự phát triển không kiểm soát. Bệnh nhân mắc ung thư loại 2 thường có tiên lượng xấu hơn, cần phải áp dụng nhiều phương pháp điều trị phức tạp hơn, bao gồm phẫu thuật, hóa trị và xạ trị.

Khi phụ nữ mắc phải ung thư nội mạc tử cung, cơ thể thường xuất hiện các dấu hiệu và triệu chứng như:

Chảy máu âm đạo bất thường: Chảy máu âm đạo bất thường không liên quan đến chu kỳ kinh nguyệt, biểu hiện bởi việc ra huyết âm đạo kéo dài, ra huyết giữa chu kỳ kinh, ra huyết sau mãn kinh, hành kinh không đều là dấu hiệu phổ biến và thường gặp nhất ở phụ nữ mắc bệnh.

Đau bụng hoặc đau vùng chậu: Đau bụng dữ dội hoặc đau nhức vùng chậu là những triệu chứng thường gặp ở giai đoạn sau của bệnh khi các khối u phát triển nhanh, gia tăng kích thước và gây áp lực lên các cơ quan lân cận, làm ảnh hưởng đến sức khỏe và hoạt động hằng ngày của phụ nữ.

Sụt cân không rõ nguyên nhân: Nhiều bệnh nhân trải qua tình trạng sụt cân nhanh chóng và đáng kể trong thời gian ngắn mà không có sự thay đổi trong chế độ ăn uống, tập luyện hay chế độ sinh hoạt thì đây có thể là dấu hiệu cho thấy nội mạc tử cung bị ung thư có những tiến triển nhanh và nghiêm trọng hơn.

Mệt mỏi, khó chịu kéo dài: Cảm giác mệt mỏi, khó chịu, thiếu năng lượng… kéo dài là những triệu chứng mà chị em không nên bỏ qua, đây có thể là biểu hiện cho sự mất cân bằng của cơ thể khi bệnh bắt đầu hình thành và phát triển.

ngan-vang-2.jpg
Rong kinh kéo dài do ung thư niêm mạc tử cung - Ảnh BVCC

Nguyên nhân của ung thư nội mạc tử cung vẫn chưa được xác định rõ. Tuy nhiên, hầu hết trường hợp được chẩn đoán mắc bệnh ở phụ nữ đã mãn kinh. Tuy nhiên, bệnh lý này cũng có thể gặp ở phụ nữ trẻ, đặc biệt khi người phụ nữ có thêm các yếu tố nguy cơ như: Mất cân bằng hormone; Kinh nguyệt bắt đầu sớm hoặc mãn kinh muộn; Chưa từng mang thai; Béo phì; Điều trị ung thư vú bằng liệu pháp hormone; Hội chứng Lynch...

Nếu không được phát hiện và điều trị kịp thời, ung thư nội mạc tử cung có thể dẫn đến nhiều biến chứng nghiêm trọng, ảnh hưởng trực tiếp đến sức khỏe và tinh thần của bệnh nhân như:

Di căn: Tế bào ung thư có thể lây lan sang các bộ phận khác của cơ thể như phổi, gan và xương, gây ra những ảnh hưởng nghiêm trọng đến sức khỏe và làm giảm đi cơ hội điều trị thành công.

Tổn thương cơ quan: Sự phát triển của khối u có thể gây tổn thương cho các cơ quan lân cận, ảnh hưởng đến chức năng sinh lý và gây ra các triệu chứng đau nhức, khó chịu cho người bệnh.

Tâm lý: Bệnh nhân có thể trải qua những cảm giác như lo âu, buồn bã, trầm cảm và sẽ có cảm giác cô đơn trong quá trình điều trị. Việc đối mặt với bệnh tật có thể tạo ra áp lực lớn, vì thế người bệnh rất cần sự hỗ trợ và đồng hành từ những người thân trong gia đình.

Nếu có bất kỳ triệu chứng bất thường nào từ cơ thể có liên quan đến chảy máu âm đạo, đặc biệt là các triệu chứng xuất hiện sau thời kỳ mãn kinh, giữa các kỳ kinh và không liên quan đến chu kỳ kinh nguyệt hoặc có các triệu chứng đau bụng dữ dội, đau đớn vùng chậu, mệt mỏi kéo dài; sụt cân không rõ nguyên nhân;… chị em nên đến gặp bác sĩ để được thăm khám và chẩn đoán ngay.

Ngoài ra, phụ nữ trong độ tuổi 50 trở lên hoặc những người có nguy cơ cao nên thực hiện kiểm tra sức khỏe định kỳ để phát hiện sớm các vấn đề liên quan đến sức khỏe phụ khoa.

Việc phát hiện sớm các triệu chứng, điều trị kịp thời với những phương pháp phù hợp, chính xác không chỉ mang lại hiệu quả cao trong điều trị mà còn giúp phụ nữ nhanh chóng cải thiện và phục hồi tốt sức khỏe.

Dấu hiệu mắc ung thư nội mạc tử cung

Dấu hiệu chính của ung thư nội mạc tử cung thường là chảy máu âm đạo bất thường, như ra máu giữa chu kỳ kinh, sau mãn kinh, hoặc rong kinh kéo dài.

Nội mạc tử cung là lớp niêm mạc bao phủ toàn bộ mặt trong tử cung, có vai trò quan trọng trong việc thụ thai và bảo vệ quá trình mang thai ở phụ nữ. Hàng tháng dưới sự tác động của hormon sinh dục nữ, lớp niêm mạc tử cung sẽ phát triển dày lên, sẵn sàng nhận trứng thụ tinh làm tổ. Nếu sự thụ tinh không xảy ra, lớp nội mạc tử cung sẽ tự bong ra, gây ra sự hành kinh.

Sau khi kinh nguyệt kết thúc, lớp niêm mạc tử cung sẽ được tái tạo mới. Trong thời gian mang thai, lớp niêm mạc tử cung dày lên, trở thành lớp rất đặc biệt gọi là màng rụng vừa bảo vệ vừa cung cấp chất dinh dưỡng giúp phôi thai, nhau thai phát triển.

Bé 7 tuổi chảy máu âm đạo do đỉa trú ngụ khi đi tắm suối

Đỉa khi chui vào cơ thể người có thể tiết ra chất hirudin - một loại chất chống đông máu mạnh, gây chảy máu âm đạo kéo dài và khó cầm.

Bệnh viện Phụ sản Hà Nội vừa tiếp nhận trường hợp bé gái 7 tuổi đến từ Bắc Ninh bị chảy máu vùng âm đạo do đỉa cắn sau khi đi tắm suối.

Tại phòng khám cấp cứu, các bác sĩ nhận thấy vẫn có máu chảy từ âm đạo. Ngay lập tức, ê-kíp gồm ThS.BSCKII Lê Thị Hiếu, Trưởng khoa Khám bệnh, cùng bác sĩ Nguyễn Bích Ngọc, bác sĩ Nguyễn Xuân Huỳnh và ê kíp Gây mê hồi sức đã tiến hành gây tê, kiểm tra vùng kín, làm sạch vùng tổn thương, xử lý nơi tiết dịch của đỉa bám vào để hạn chế tối đa nguy cơ chảy máu tiếp tục và biến chứng nhiễm trùng, loại trừ khả năng còn đỉa ở bên trong.

Đọc nhiều nhất

Tin mới