Liên tiếp ca thủng tạng nặng, cảnh báo nguy cơ bỏ sót triệu chứng ban đầu

Ở người cao tuổi, việc chẩn đoán càng gặp nhiều khó khăn do triệu chứng thường không điển hình dễ nhầm lẫn với các rối loạn tiêu hóa thông thường.

Trong thời gian ngắn đầu tháng 4/2026, Bệnh viện Đa khoa khu vực Cẩm Phả đã liên tiếp tiếp nhận và xử trí cấp cứu các trường hợp người cao tuổi bị viêm phúc mạc do thủng tạng rỗng.

Thực tế này đang đặt ra cảnh báo về nguy cơ bỏ sót triệu chứng ban đầu trong cộng đồng, đặc biệt ở nhóm người bệnh lớn tuổi.

Gần đây nhất, bệnh viện tiếp nhận bệnh nhân B (84 tuổi, trú tại phường Cửa Ông, tỉnh Quảng Ninh) trong tình trạng đau bụng dữ dội, phản ứng thành bụng rõ, có biểu hiện viêm phúc mạc toàn thể.

Theo người nhà, trước đó khoảng 2 ngày, bệnh nhân chỉ xuất hiện đau âm ỉ vùng thượng vị và quanh rốn, sau đó lan dần ra toàn bụng. Do triệu chứng không rõ ràng, người bệnh chưa đi khám sớm.

Qua thăm khám và các xét nghiệm cận lâm sàng, các bác sĩ xác định bệnh nhân bị viêm phúc mạc do thủng đại tràng trái và nhanh chóng chỉ định phẫu thuật nội soi cấp cứu.

Ê-kíp phẫu thuật gồm BS.CKI Phan Văn Đức, BS.Vũ Thái Bảo, BS.CKI.Phạm Ngọc Hải (Khoa Ngoại), BS.CKI.Hoàng Thị Ngát (Khoa Phẫu thuật gây mê hồi sức) đã tiến hành cắt đoạn đại tràng chứa lỗ thủng, dẫn lưu ổ bụng và làm hậu môn nhân tạo.

Nhờ được can thiệp kịp thời, tình trạng nhiễm trùng được kiểm soát, người bệnh qua cơn nguy kịch, hiện đang hồi phục.

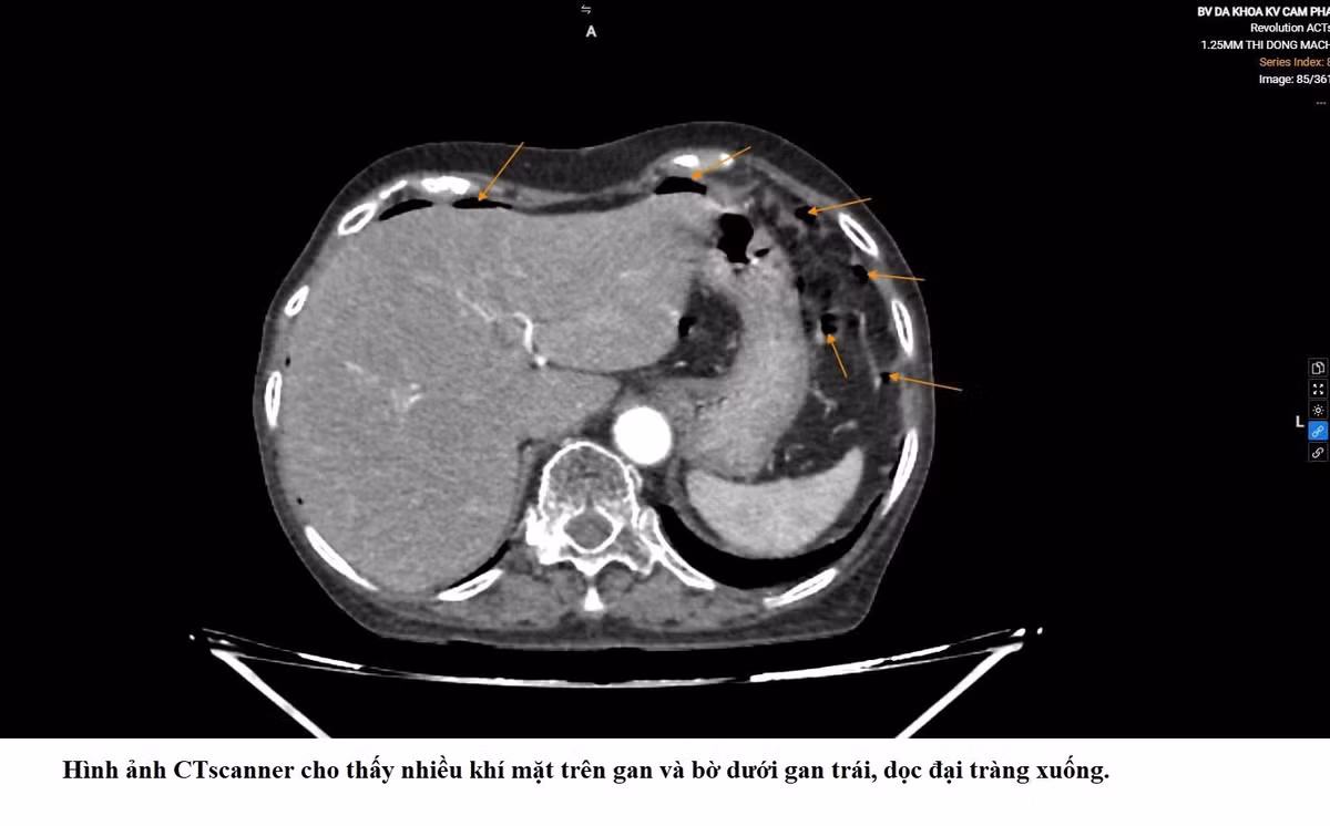
thung-tang.jpg
Biểu hiện của thủng tạng rỗng trên phim chụp - Ảnh BVCC

Đáng chú ý, đây là trường hợp thứ hai trong thời gian ngắn mà bệnh viện tiếp nhận người cao tuổi bị viêm phúc mạc do thủng tạng. Điểm chung của các ca bệnh là đều có biểu hiện ban đầu không điển hình, tiến triển âm thầm, khiến người bệnh và gia đình dễ chủ quan, dẫn đến nhập viện muộn khi tình trạng đã nặng.

Theo các bác sĩ, thủng tạng rỗng là biến chứng nguy hiểm của các bệnh lý tiêu hóa như viêm loét dạ dày - tá tràng, túi thừa đại tràng… Khi xảy ra thủng, dịch tiêu hóa tràn vào ổ bụng gây viêm phúc mạc cấp tính. Nếu không được phát hiện và xử trí kịp thời, người bệnh có thể nhanh chóng rơi vào tình trạng nhiễm trùng nặng, sốc nhiễm khuẩn, thậm chí tử vong.

Ở người cao tuổi, việc chẩn đoán càng gặp nhiều khó khăn do triệu chứng thường không điển hình: Có thể không sốt, không nôn, mức độ đau ban đầu không rõ ràng hoặc dễ nhầm lẫn với các rối loạn tiêu hóa thông thường. Đây chính là nguyên nhân dẫn đến nguy cơ bỏ sót hoặc chậm trễ trong việc phát hiện bệnh.

Trước thực tế trên, các bác sĩ khuyến cáo người dân không nên chủ quan với các biểu hiện đau bụng, đặc biệt ở người cao tuổi. Khi có dấu hiệu đau kéo dài, đau tăng dần hoặc lan rộng, cần đưa người bệnh đến cơ sở y tế để được thăm khám kịp thời. Đồng thời, những người có tiền sử bệnh lý đường tiêu hóa cần được theo dõi định kỳ và tuân thủ điều trị.

Việc nhận biết sớm các dấu hiệu bất thường và chủ động thăm khám không chỉ giúp giảm thiểu biến chứng nguy hiểm mà còn góp phần nâng cao hiệu quả công tác chăm sóc sức khỏe người cao tuổi trong cộng đồng.

>>> Mời quý độc giả theo dõi video: Cảnh báo: Tự ý nghỉ việc, bạn sẽ mất trắng trợ cấp thất nghiệp

Cảnh báo biến chứng thủy dạ dày nguy hiểm ở người cao tuổi

Bệnh lý dạ dày nếu không điều trị đúng cách có thể gây thủng tạng rỗng, đe dọa tính mạng, đặc biệt ở người cao tuổi cần theo dõi sát các triệu chứng.

Ngày 31/3, Bệnh viện Đa khoa khu vực Cẩm Phả cho biết, các bác sĩ khoa vừa tiếp nhận và cấp cứu thành công một trường hợp người bệnh cao tuổi rơi vào tình trạng nguy kịch do biến chứng của bệnh lý dạ dày kéo dài.

Cấp cứu trong đêm giành lại sự sống

Cảnh báo nguy cơ thủng dạ dày ở trẻ em ngày càng tăng

Khi trẻ có biểu hiện đau vùng thượng vị, chướng bụng, buồn nôn, ợ hơi, kém ăn, mệt mỏi kéo dài, phụ huynh cần đưa trẻ đi khám sớm để được điều trị kịp thời.

Thời gian gần đây, Bệnh viện Nhi Thái Bình (tỉnh Hưng Yên) tiếp nhận nhiều trường hợp trẻ nhập viện vì đau bụng dữ dội, được chẩn đoán thủng tạng rỗng nghi do thủng dạ dày.

Điều đáng chú ý là nguyên nhân không xuất phát từ chấn thương hay dị vật mà chủ yếu do viêm dạ dày kèm thói quen ăn uống không hợp lý và căng thẳng tâm lý kéo dài. Đây là hồi chuông cảnh báo về tình trạng gia tăng bệnh lý dạ dày ở lứa tuổi học đường, nhóm tuổi vốn được xem là ít có nguy cơ mắc các bệnh tiêu hóa nặng.

Đọc nhiều nhất

Tin mới

Đi khám sức khỏe phát hiện ung thư amidan

Đi khám sức khỏe phát hiện ung thư amidan

Người dân cần chủ động thăm khám sức khỏe định kỳ, đặc biệt khi có dấu hiệu bất thường vùng tai mũi họng, đau họng kéo dài, nuốt vướng, khàn tiếng, nổi hạch cổ…