Bệnh nhân sốc nhiễm khuẩn nặng, phụ thuộc thuốc vận mạch (nhóm thuốc dùng để nâng huyết áp) liều cao, thở máy với oxy nồng độ cao và vô niệu hoàn toàn.
Khi trẻ có biểu hiện đau vùng thượng vị, chướng bụng, buồn nôn, ợ hơi, kém ăn, mệt mỏi kéo dài, phụ huynh cần đưa trẻ đi khám sớm để được điều trị kịp thời.
Thủng tạng rỗng đang có xu hướng trẻ hóa. Nhiều người trẻ mắc bệnh do stress, áp lực học tập và lao động, thói quen thức khuya, ăn uống thiếu khoa học...
Thủng tạng rỗng nếu không được chẩn đoán sớm và xử trí kịp thời sẽ biến chứng đe dọa tính mạng bệnh nhân, đây là tình trạng cấp cứu hết sức nguy hiểm vì ổ bụng bị nhiễm khuẩn do phân gây viêm phúc mạc toàn thể.
Thủng tạng rỗng nếu không được chẩn đoán sớm và xử trí kịp thời sẽ biến chứng đe dọa tính mạng bệnh nhân, đây là tình trạng cấp cứu hết sức nguy hiểm vì ổ bụng bị nhiễm khuẩn do phân gây viêm phúc mạc toàn thể.
Thủng tạng rỗng là bệnh lý cấp cứu ngoại khoa nguy hiểm, tỷ lệ tử vong cao đặc biệt ở người lớn tuổi có bệnh nền như huyết áp, tim mạch, đái tháo đường… Việc tự dùng thuốc giảm đau dễ dẫn đến bệnh lý đường tiêu hóa nguy hiểm.
Thủng tạng rỗng do nhiều nguyên nhân như u ruột, dị vật, tai nạn giao thông hoặc biến chứng của loét dạ dày – tá tràng.... Nhiều người nhập viện do thủng tạng rỗng viêm phúc mạc toàn thể nguy hiểm tính mạng.
Người trẻ tuổi cần điều chỉnh chế độ sinh hoạt điều độ, xây dựng chế độ ăn nghỉ khoa học, thường xuyên kiểm tra sức khỏe định kỳ để kịp thời phát hiện, điều trị các chứng bệnh liên quan đến viêm loét dạ dày tá tràng.
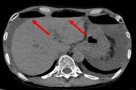
Bệnh viện TWQĐ 108 vừa tiếp nhận một bệnh nhân nữ, 73 tuổi, vào viện vì đau bụng, sốt cao. Bác sĩ nghi ngờ thủng tạng rỗng. Kết quả CT là dị vật vỏ thuốc làm thủng tá tràng.
(khoahocdoisong.vn) - Các bác sĩ Bệnh viện Việt Nam - Thụy Điển Uông Bí đã phẫu thuật cứu sống thành công bệnh nhân bị sốc nhiễm trùng nhiễm độc do thủng tạng rỗng biến chứng suy đa tạng... Đây là bệnh lý thường xảy ra ở người viêm loét dạ dày - tá tràng.
(khoahocdoisong.vn) - Thủng tạng rỗng là một cấp cứu ngoại khoa nguy hiểm, tỷ lệ tử vong cao cần được phẫu thuật cấp cứu sớm. Nhiều người vì chủ quan với đau bụng sau ăn, đau dạ dày mạn tính... dẫn tới tình trạng nguy kịch.