Lấy u GIST đại tràng nặng 5kg choáng hết ổ bụng người đàn ông ở Thanh Hóa

GIST là u mô đệm đường tiêu hóa phần lớn không gây triệu chứng và tiến triển chậm. Ở giai đoạn phát triển u to rất nhanh.

Bệnh viện Ung Bướu Thanh Hoá vừa phẫu thuật thành công khối u GIST khổng lồ của đại tràng phải cho người đàn ông 66 tuổi.

Theo đó, ông T. 63 tuổi tiền sử khoẻ mạnh, vào viện với khối u vùng ổ bụng kích thước rất lớn phát triển nhanh trong chưa đầy 3 tháng. Khi đến với khoa Ngoại Tổng hợp, Bệnh viện Ung bướu Thanh Hoá trong tình trạng khối u khổng lồ chiếm gần hết vùng ổ bụng.

Quá trình chẩn đoán, qua chụp cắt lớp vi tính ổ bụng có hình ảnh khối u dạng đặc chiếm gần hết ổ bụng chủ yếu vùng bụng bên phải, chưa xâm lấn mạch máu lớn. Trên nội soi đường tiêu hoá thì khối u từ ngoài đẩy vào lòng đại tràng lên.

Người bệnh và gia đình được giải thích kỹ về tình trạng bệnh và cần phải phẫu thuật, gia đình không có điều kiện nên đồng ý phẫu thuật tại bệnh viện.

u-git.jpg
u-gist1.jpg
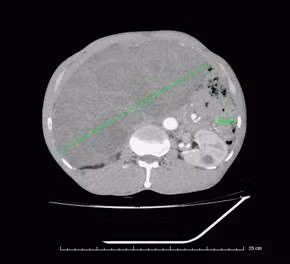
Khối u lớn khoang sau phúc mạc cạnh trước thận phải kích thước 233x191x141mm, bờ gọn, lan sang khoang cạnh trước thận trái, đè ép niệu quản phải gây giãn nhẹ đài bể thận phải, ngấm thuốc sau tiêm - Ảnh BVCC

ThS.BSCKII Viên Đình Bình, Trưởng khoa Ngoại Tổng hợp và ê-kíp phẫu thuật đã tiến hành phẫu thuật cho người bệnh, trong phẫu thuật nhận thấy khối u kích thước khổng lồ xâm lấn đại tràng phải, đè đẩy các tạng khác trong ổ bụng, chưa xâm lấn mạch máu lớn nên có thể cắt bỏ được.

Ê-kíp phẫu thuật đã thống nhất cắt bỏ toàn bộ khối u và đại tràng phải, lập lại lưu thông tiêu hóa bằng cách nối hồi tràng đại tràng ngang ngay trong mổ cho người bệnh.

Khối u sau khi cắt bỏ trọng lượng 5kg. Sau mổ người bệnh được theo dõi, điều trị sát. Bệnh nhân ổn định, phục hồi tốt và xuất viện ngày thứ 7 sau phẫu thuật.

u-gist.jpg
u-git-5.jpg
Khối u sau khi cắt bỏ trọng lượng 5kg - Ảnh BVCC

Kết quả xét nghiệm mô bệnh học và hóa mô miễn dịch sau mổ là u tế bào hình thoi phù hợp với GIST.

GIST là u mô đệm đường tiêu hoá. Đây là loại u mô đệm thường gặp nhất bắt nguồn từ các tế bào Cajal ở khoảng kẽ. U mô đệm đường tiêu hoá chiếm 3% trong các loại ung thư ở dạ dày, xuất hiện bất kỳ vị trí nào của ống tiêu hoá. Khoảng 60-70% xuất hiện ở dạ dày, 20-30% ở tá tràng và ruột non, đại trực tràng là 5% và các bộ phận khác dưới 5%.

Phần lớn GIST không gây triệu chứng và tiến triển chậm. Ở giai đoạn phát triển tình trạng này mới có thể xuất hiện một số triệu chứng: Đau bụng, mệt mỏi, buồn nôn; Đau quặn sau khi ăn; Phân sẫm màu do đường tiêu hoá chảy máu

Để chẩn đoán u GIST cần khám lâm sàng kiểm tra kỹ vùng bụng, thực hiện các xét nghiệm như: Chẩn đoán hình ảnh: Siêu âm, chụp CT, MRI; Nội soi đường tiêu hoá.

Xét nghiệm hóa mô miễn dịch khối u cũng có thể được chỉ định thực hiện để giúp chẩn đoán xác định GIST, dựa trên các đặc điểm bệnh lý của mẫu mô và kết hợp các đặc điểm hình thái và hóa mô miễn dịch.

Trong các trường hợp liên quan đến biểu hiện hình thái điển hình của GIST, nhưng nhuộm KIT âm tính, nhuộm DOG-1 và CD34 có thể được sử dụng để xác định chẩn đoán. Định gen cũng có thể được sử dụng trong trường hợp GIST âm tính với KIT.

Phẫu thuật là liệu pháp đầu tay đối với GIST nguyên phát và còn khả năng cắt bỏ. Nguyên tắc chính là đảm bảo lấy được toàn bộ khối u nguyên vẹn với diện cắt âm tính, không cần nạo vét hạch, nhưng tránh làm lây lan và phát tán tế bào u trong ổ bụng, đặc biệt là các túi cùng.

Dùng thuốc hay điều trị đích được chỉ định khi khối u không thể cắt bỏ được.

ThS.BSCKII Viên Đình Bình (Khoa ngoại Tổng hợp, Bệnh viện Ung bướu Thanh Hóa)

Phát hiện u nang hố lưỡi thanh thiệt khổng lồ ở trẻ sơ sinh

Nang hố lưỡi thanh thiệt gặp chủ yếu ở người lớn hoặc trẻ lớn, hầu như không gây ra triệu chứng nào trong giai đoạn đầu.

U hiếm gặp khổng lồ chèn ép thanh quản

Bệnh nhi M.N., 28 ngày tuổi, được nhập viện tại Bệnh viện Nhi Hà Nội trong tình trạng thở dốc, lõm ngực và thở rít. Bé được chẩn đoán viêm phổi, sau vài ngày điều trị, các biểu hiện của viêm phổi đã cải thiện nhiều, nhưng bé vẫn còn biểu hiện thở rít, khó thở đặc biệt khi nằm ngửa, bé được chuyển sang khám chuyên khoa Tai Mũi Họng.

Cứu sống hai người bệnh bị u máu gan khổng lồ

Dù đối mặt với những ca phẫu thuật khó khăn, hai bệnh nhân đều vượt qua nhờ sự tận tâm của các bác sĩ, chứng minh sức mạnh của y đức và niềm tin.

Đôi khi cuộc đời đặt con người trước những thử thách khắc nghiệt, nhưng cũng chính lúc ấy, hy vọng lại lóe lên, dẫn lối bước chân đi tiếp. Hy vọng ấy đến từ sự tận tâm, tài năng và lòng nhân ái của người thầy thuốc.

Hành trình tìm lại niềm tin khi khối u máu khổng lồ khó điều trị

Tìm lại hy vọng sống cho thanh niên 39 tuổi hôn mê, co giật do nhược cơ

Nhược cơ là một loại bệnh tự miễn dịch dẫn đến rối loạn dẫn truyền tại các điểm nối thần kinh - cơ làm giảm chức năng hoạt động của hệ cơ.

Liệt cơ hô hấp, hôn mê... vì u tuyến ức gây nhược cơ

Từ những ngày yếu tay chân, vận động đi lại khó khăn, hô hấp kém, nam bệnh nhân 39 tuổi đã tìm lại hy vọng sống sau khi được các bác sĩ Bệnh viện Đa khoa tỉnh Quảng Ninh phẫu thuật nội soi cắt bỏ hoàn toàn khối u tuyến ức gây nhược cơ nặng.

Đọc nhiều nhất

Hiểu lầm phổ biến về 'detox' sau Tết

Hiểu lầm phổ biến về 'detox' sau Tết

Thay vì các phương pháp “detox” nguy hiểm, hãy duy trì thói quen uống đủ nước, ăn rau quả, ngủ đủ giấc và vận động nhẹ nhàng để giữ gìn sức khỏe lâu dài.

Tin mới

Hiểu lầm phổ biến về 'detox' sau Tết

Hiểu lầm phổ biến về 'detox' sau Tết

Thay vì các phương pháp “detox” nguy hiểm, hãy duy trì thói quen uống đủ nước, ăn rau quả, ngủ đủ giấc và vận động nhẹ nhàng để giữ gìn sức khỏe lâu dài.