Tìm lại hy vọng sống cho thanh niên 39 tuổi hôn mê, co giật do nhược cơ

Nhược cơ là một loại bệnh tự miễn dịch dẫn đến rối loạn dẫn truyền tại các điểm nối thần kinh - cơ làm giảm chức năng hoạt động của hệ cơ.

Liệt cơ hô hấp, hôn mê... vì u tuyến ức gây nhược cơ

Từ những ngày yếu tay chân, vận động đi lại khó khăn, hô hấp kém, nam bệnh nhân 39 tuổi đã tìm lại hy vọng sống sau khi được các bác sĩ Bệnh viện Đa khoa tỉnh Quảng Ninh phẫu thuật nội soi cắt bỏ hoàn toàn khối u tuyến ức gây nhược cơ nặng.

Ca mổ thành công giúp người bệnh thoát khỏi nguy cơ suy hô hấp gây tử vong, trả lại khả năng vận động, cải thiện chất lượng cuộc sống.

Đây là trường hợp của bệnh nhân Trần Văn N. (39 tuổi) trú tại xã Lục Hồn, tỉnh Quảng Ninh, nhập viện trong tình trạng yếu tay chân, đi lại khó khăn, ăn uống kém, thường xuyên mệt mỏi. Trước khi chuyển lên Bệnh viện Đa khoa tỉnh, bệnh nhân đã rơi vào hôn mê kèm co giật, được cấp cứu tại trung tâm y tế địa phương.

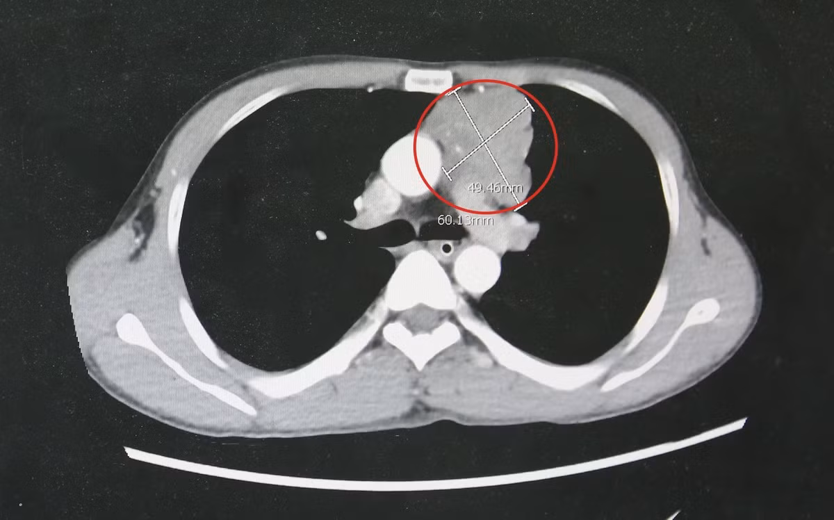
Qua thăm khám lâm sàng, cơ lực chi chỉ còn 3/5, phản xạ kém, cơ lực cổ yếu, cơ hô hấp suy giảm. Kết quả chụp cắt lớp vi tính lồng ngực phát hiện khối u trung thất trước kích thước lớn khoảng 4x6cm, xâm lấn thần kinh hoành, bên trong có vôi hóa.

u-tuyen-uc.jpg
Khối u tuyến ức kích thước lớn của bệnh nhân gây nhược cơ - Ảnh BVCC

Sau khi hội chẩn đa chuyên khoa, các bác sĩ chẩn đoán bệnh nhân bị nhược cơ nặng do khối u tuyến ức và chỉ định phẫu thuật cắt toàn bộ tuyến ức bằng phương pháp nội soi lồng ngực. Đây là hướng điều trị tối ưu giúp loại bỏ nguyên nhân gây nhược cơ, cải thiện đáng kể tình trạng suy yếu cơ và suy hô hấp của người bệnh.

Kíp phẫu thuật khoa Ngoại do BS.CKI Bùi Văn Dũng, Phó khoa Ngoại phụ trách phối hợp với BS.CKI Đoàn Tất Hùng, khoa Gây mê hồi sức thực hiện. Bệnh nhân được gây mê nội khí quản bằng ống Carlens để thông khí một phổi, tạo điều kiện thuận lợi cho phẫu thuật viên thao tác.

Qua ba đường rạch nhỏ trên thành ngực, bác sĩ đưa dụng cụ nội soi vào khoang màng phổi trái, quan sát thấy tuyến ức phì đại, khối u có đường kính khoảng 6 cm, tăng sinh mạch, bám chặt vào thùy trên phổi trái và ôm sát quai động mạch chủ.

“Khó khăn lớn nhất của ca mổ là khối u có kích thước lớn, xâm lấn thần kinh hoành và ôm sát quai động mạch chủ. Điều này đòi hỏi chúng tôi phải bóc tách thật tỉ mỉ, khéo léo để vừa bảo tồn tối đa cơ hoành, giúp bệnh nhân hồi phục tốt nhất chức năng hô hấp, vừa tránh tổn thương gây chảy máu khó kiểm soát.

Sau hơn 2,5 tiếng phẫu thuật, toàn bộ tuyến ức cùng khối u đã được bóc tách và lấy ra ngoài an toàn, lượng máu mất ít, các cơ quan xung quanh được bảo tồn nguyên vẹn”, Bs.CKI Bùi Văn Dũng, Phó trưởng khoa Ngoại chia sẻ.

Nhờ áp dụng phương pháp nội soi lồng ngực ít xâm lấn, người bệnh ít đau đớn, phục hồi nhanh. Đến nay, bệnh nhân hồi phục tích cực, triệu chứng nhược cơ cải thiện rõ rệt, cơ lực tăng lên, có thể tự vận động đi lại, hô hấp tốt, ăn uống dễ dàng.

u-tuyen-uc1.jpg
Bệnh nhân hồi phục vận động, sức khỏe tiến triển tốt - Ảnh BVCC

Nguy cơ tàn phế và tử vong nhanh

BS.CKI Bùi Văn Dũng cho biết, nhược cơ là một loại bệnh tự miễn dịch dẫn đến rối loạn dẫn truyền tại các điểm nối thần kinh - cơ làm giảm chức năng hoạt động của hệ cơ. Đây là một bệnh lý khá hiếm gặp với tỷ lệ mới mắc khoảng 5 trường hợp/100.000 dân.

Tuyến ức giữ vai trò quan trọng trong sự phát triển bệnh, thống kê cho thấy có tới 30 – 50% trường hợp u tuyến ức xuất hiện kèm triệu chứng nhược cơ. Nếu không được chẩn đoán và điều trị kịp thời, người bệnh có nguy cơ tàn phế do nhược cơ toàn thân, thậm chí tử vong vì suy hô hấp. Phương pháp điều trị hiệu quả nhất hiện nay là phẫu thuật cắt bỏ toàn bộ tuyến ức.

BS.CKI Bùi Văn Dũng chia sẻ: “Bệnh nhân N. là trường hợp điển hình của nhược cơ nặng do u tuyến ức kích thước lớn, với các biểu hiện suy hô hấp, vận động khó khăn, ăn uống kém. Phẫu thuật nội soi lồng ngực cắt bỏ toàn bộ tuyến ức kèm u là lựa chọn điều trị tối ưu. Đây là kỹ thuật ít xâm lấn, vết mổ nhỏ, giảm đau đớn, hạn chế biến chứng, thời gian hồi phục nhanh và giúp cải thiện rõ rệt triệu chứng nhược cơ.

Tại đây, chúng tôi đã triển khai thường quy kỹ thuật này cho nhiều ca phức tạp, trong đó có trường hợp bệnh nhân N, mở ra cơ hội sống và nâng cao chất lượng cuộc sống cho những người bệnh vốn phải đối diện với nguy cơ suy hô hấp đe dọa tính mạng, cải thiện chất lượng cuộc sống”.

Nội soi cắt u tuyến ức là kỹ thuật khó trong lĩnh vực phẫu thuật nội soi lồng ngực, được thực hiện chủ yếu tại các bệnh viện chuyên sâu tuyến trung ương. Hiện Bệnh viện Đa khoa tỉnh Quảng Ninh đã làm chủ và triển khai hiệu quả kỹ thuật này cho nhiều bệnh nhân giúp họ cải thiện rõ rệt chất lượng sống ngay tại địa phương.

Cắt toàn bộ tuyến ức kèm u cho người phụ nữ 65 tuổi

Tuyến ức là cơ quan nằm ở trung thất trước, đóng vai trò quan trọng trong hệ miễn dịch. U tuyến ức thường tiến triển âm thầm, dễ bỏ sót nếu không được tầm soát.

Bệnh viện Đa khoa tỉnh Quảng Ninh cho biết, đơn vị vừa nội soi lồng ngực hiện đại thành công tránh cho bệnh nhân đau tức ngực do khối u tuyến ức phải mổ mở với vết sẹo dài, đau đớn...

Bệnh nhân là bà Vũ Thị L. (65 tuổi) trú tại xã Quảng Đức, tỉnh Quảng Ninh, nhập viện trong tình trạng thường xuyên mệt mỏi, đau tức nhẹ sau xương ức. Qua thăm khám và chụp cắt lớp vi tính lồng ngực phát hiện khối u tuyến ức kích thước khoảng 16x17 mm. Các bác sĩ chẩn đoán bệnh nhân bị u tuyến ức và chỉ định phẫu thuật nội soi lồng ngực cắt u tuyến ức.

Đọc nhiều nhất

Tin mới

Đi khám sức khỏe phát hiện ung thư amidan

Đi khám sức khỏe phát hiện ung thư amidan

Người dân cần chủ động thăm khám sức khỏe định kỳ, đặc biệt khi có dấu hiệu bất thường vùng tai mũi họng, đau họng kéo dài, nuốt vướng, khàn tiếng, nổi hạch cổ…