Lấy mảnh xương gà mắc kẹt trong dạ dày 4 ngày

Khi xương mắc lại trong cơ thể tiềm ẩn nguy cơ vi khuẩn xâm nhập sâu vào mô, gây viêm mạnh, hình thành ổ áp-xe, tụ mủ, người bệnh rơi vào tình trạng tối cấp.

Đau thượng vị, ợ hơi không ngờ xương gà trú ngụ

Bệnh nhân H.V.H, 64 tuổi, trú tại xã Đồng Lương, tỉnh Phú Thọ, nhập viện tại Trung tâm Y tế khu vực Cẩm Khê vì đau từng cơn vùng thượng vị, kèm theo ợ hơi, ợ chua và nóng rát vùng thượng vị.

Kết quả nội soi dạ dày cho thấy: Sát môn vị có hình ảnh mảnh xương dài khoảng 3cm cắm vào thành dạ dày, vùng xung quanh phù nề, xung huyết nhiều và có loét. Khai thác tiền sử bệnh nhân cho biết, cách ngày vào viện 4 ngày bệnh nhân có ăn cháo gà, sau đó chỉ đau bụng âm ỉ nên chủ quan không đi khám.

Với sự phối hợp của các chuyên khoa, Bệnh nhân được tiến hành gây mê, nội soi can thiệp gắp dị vật, làm sạch vùng tổn thương và xử trí ổ loét.

Dự phòng nguy cơ thủng ổ loét dạ dày và vị trí dị vật đâm xuyên, bệnh nhân được chỉ định nhập viện theo dõi và điều trị. Sau 5 ngày điều trị, sức khỏe ổn định, hết đau bụng, bệnh nhân được xuất viện và hẹn tái khám định kỳ.

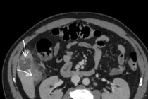
manh-xuong-ga.jpg
Mảnh xương đâm xuyên dạ dày tạo ổ áp xe

Hóc xương đặc biệt nguy hiểm

BSCKI Trịnh Thùy Liên, chuyên khoa Tai Mũi Họng Bệnh viện Bệnh Nhiệt đới Trung ương cho biết, hóc xương, đặc biệt xương cá, xương gà là một dị vật thường gặp ở đường tiêu hóa trên. Ban đầu, chúng có thể chỉ gây cảm giác vướng, đau hoặc khó chịu, nhưng nguy hiểm ở chỗ xương có khả năng “di động” — tức là trong quá trình nuốt hoặc khi áp dụng các mẹo dân gian, dị vật có thể cắm sâu hơn hoặc xuyên qua thành ống tiêu hóa, di chuyển sang các vùng lân cận như sàn miệng, vùng cổ, da hay tuyến giáp.

Trên đường “di cư” chúng có thể gây ra hàng loạt tổn thương nguy hiểm như nhiễm trùng, áp-xe vùng cổ, áp-xe trung thất, tràn mủ màng phổi, viêm phổi, thậm chí gây tổn thương các mạch máu lớn vùng cổ, đặc biệt là động mạch cảnh – vừa đe dọa tính mạng người bệnh, vừa gây khó khăn cho công tác điều trị.

Không chỉ sắc nhọn và dễ di động, xương cá còn là dị vật hữu cơ, thành phần chủ yếu là protein, collagen và canxi. Khi mắc lại trong cơ thể, đặc biệt ở môi trường ẩm và ấm của đường tiêu hóa, chúng có thể bị phân hủy dần.

Quá trình này tiềm ẩn nguy cơ vi khuẩn xâm nhập sâu vào mô, gây viêm mạnh, hình thành ổ áp-xe, tụ mủ và lan nhanh ra các khoang cổ sâu hoặc trung thất. Nếu ổ áp-xe vỡ hoặc viêm lan rộng, người bệnh có thể rơi vào tình trạng tối cấp, đe dọa tính mạng.

BS CKII Lê Anh Tuấn, bệnh viện Nhi đồng 2 cho biết, khi dị vật đâm thủng thành dạ dày, dịch tiêu hóa có thể tràn vào khoang bụng, gây viêm phúc mạc nghiêm trọng. Nếu không can thiệp kịp thời, bệnh nhân có thể đối mặt với những biến chứng nguy hiểm như: Nhiễm trùng huyết, suy đa tạng, thậm chí nguy cơ tử vong cao.

Do đó, để tránh hóc dị vật, khi ăn mọi người cần nhai kỹ, ăn chậm và tránh nói chuyện để giảm nguy cơ hóc xương. Chọn loại thực phẩm phù hợp, hạn chế ăn các loại cá có nhiều xương nhỏ, nếu không quen hoặc chưa có kinh nghiệm lọc xương.

BS Trịnh Thùy Liên khuyến cáo, khi nghi ngờ hóc xương, cần đến ngay cơ sở chuyên khoa để được nội soi xác định và gắp dị vật kịp thời. Người dân tuyệt đối không áp dụng các mẹo dân gian như nuốt cơm, nuốt chuối, ngậm viên vitamin C hay tự móc họng, vì các thao tác này dễ khiến xương cắm sâu hơn hoặc di chuyển sang các vị trí nguy hiểm.

Bác sĩ Liên nhấn mạnh: “Xương vừa sắc nhọn, vừa dễ gây nhiễm khuẩn. Xử trí sớm, đúng kỹ thuật là chìa khóa phòng ngừa biến chứng nặng. Mọi ‘mẹo’ tại nhà nào đều tiềm ẩn nguy cơ khiến tình trạng trở nên phức tạp và nguy hiểm hơn”.

Để phòng tránh, trong bữa ăn mỗi người nên tập trung, không vừa ăn vừa nói chuyện hoặc làm việc khác, nhai kỹ và lọc xương cẩn thận. Điều này đặc biệt quan trọng với người cao tuổi hoặc có phản xạ nuốt kém.

Bác sĩ khuyến cáo:

• Khi ăn các món có xương như gà, cá, vịt…, hãy ăn chậm, nhai kỹ, tránh nuốt vội.

• Người cao tuổi và trẻ nhỏ cần đặc biệt cẩn trọng vì dễ nuốt phải dị vật mà không nhận ra.

• Nếu có triệu chứng đau bụng, ợ chua, buồn nôn kéo dài, hãy đến ngay cơ sở y tế để được thăm khám và xử trí kịp thời.

Nuốt đau, ứ đọng nước bọt, phát hiện xương cá 2 chạc sắc nhọn trong thực quản

Các phương pháp như nuốt cơm, nuốt một số loại quả, vỏ, lá… rất rủi ro, càng làm xương đâm sâu vào thực quản, gây hậu quả nghiêm trọng.

Xương cá lớn, sắc nhọn hai đầu đâm vào thực quản

Các bác sĩ Khoa Tai mũi họng Bệnh viện Việt Nam – Thụy Điển Uông Bí đã tiến hành nội soi gắp một mảnh xương cá lớn, dẹt, sắc nhọn 2 đầu tại thực quản của người bệnh 49 tuổi (phường Mạo Khê, tỉnh Quảng Ninh). Mảnh xương cá này khiến người bệnh nuốt đau, ăn uống đau tăng, ứ đọng nước bọt nhiều.

Người đàn ông 58 tuổi áp xe gan vì nuốt phải xương cá

Trong ăn uống cần đặc biệt lưu ý, tránh để xương lọt vào đường tiêu hóa, vì có thể gây biến chứng nặng nề, thậm chí nguy hiểm tính mạng.

Bệnh viện Thống Nhất vừa tiếp nhận và xử trí thành công trường hợp áp xe gan hiếm gặp do dị vật đường tiêu hóa gây ra. Người bệnh là ông N.T.H (58 tuổi, ngụ phường Bảy Hiền, TP HCM), nhập viện trong tình trạng đau bụng kéo dài, kèm nhiều bệnh lý nền phức tạp.

Theo hồ sơ bệnh án, khoảng một tháng trước khi vào viện, bệnh nhân thường xuyên bị đau bụng quanh rốn kèm nôn 2–3 lần/ngày và tự ý dùng thuốc giảm đau nhưng không cải thiện.

Xương cá dài 4,5 cm cắm sâu vào hạ họng người đàn ông 60 tuổi

Với những dị vật cắm sâu, các bác sĩ phải giải phóng trước phần đầu xương “ăn” sâu vào thành họng, sau đó mới rút theo hướng trước – sau để hạn chế tổn thương.

Ngày 8/8, Bệnh viện Bệnh Nhiệt đới Trung ương cho biết, các bác sĩ vừa tiếp nhận và xử trí thành công một trường hợp hóc dị vật là mảnh xương cá dài 4,5 cm, cắm sâu vào hạ họng của một người đàn ông.

Bệnh nhân N.V.P (60 tuổi, Hà Nội) nhập viện trong tình trạng đau họng, nuốt rất đau sau bữa ăn cá. Ông cho biết, trong lúc vừa ăn vừa nghe điện thoại, ông bất ngờ bị hóc xương cá.

Đọc nhiều nhất

Tin mới

Mẹo tăng sức đề kháng trong mùa đông

Mẹo tăng sức đề kháng trong mùa đông

Để tăng cường sức đề kháng trong mùa đông, cần chế độ dinh dưỡng giàu vitamin, uống đủ nước ấm, tập thể dục đều đặn, giữ ấm cơ thể, ngủ đủ giấc...