Cảnh báo nguy cơ tai nạn do mưa trơn trượt

Tai nạn giao thông do thời tiết mưa trơn có thể gây chấn thương nặng, ảnh hưởng lâu dài đến sức khỏe nếu không được xử trí đúng cách.

Thời tiết mưa nhiều trong những ngày gần đây khiến đường trơn trượt, tầm nhìn hạn chế. Khoa Cấp cứu (A9) – Bệnh viện 19-8 đã tiếp nhận nhiều trường hợp chấn thương từ mức độ trung bình đến nặng do tai nạn giao thông, đặc biệt liên quan đến trượt ngã khi đi xe máy.

Mới đây, khoa tiếp nhận trường hợp bệnh nhân Đặng V.Đ (27 tuổi, Ninh Bình) bị tai nạn giao thông do phanh gấp khi trời mưa, đường quá trơn khiến xe trượt ngã.

vet-thuong.jpg
Chăm sóc vết thương cho người bệnh bị tai nạn - Ảnh BVCC

Người bệnh bị đau nhiều, vết thương vùng cẳng chân trái chảy nhiều máu, không đứng dậy được và được người đi đường hỗ trợ băng ép tại chỗ cầm máu, đưa đến viện sau 30 phút.

Kết quả thăm khám ban đầu cho thấy: Bệnh nhân tỉnh táo, tiếp xúc tốt. Lồng ngực vững. Bụng mềm. Tim đều. Huyết động ổn định.

Tại chỗ có 02 vết thương vùng cẳng chân trái kích thước khoảng 6x3 cm, bò nham nhở, ít dị vật, còn chảy máu, lộ cơ đứt. Mạch mu chân và ống gót bắt rõ.

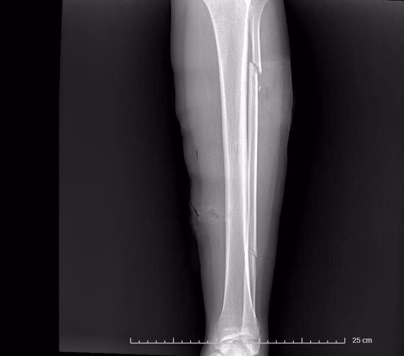
Chụp X-quang: Hình ảnh mất liên tục 1/3 trên và 1/3 dưới xương mác trái, chưa thấy tổn thương khớp gối – cổ chân.

vet-thuong-1.jpg
vet-thuong-2.jpg
Hình ảnh xương gãy trên phim chụp - Ảnh BVCC

Các bác sĩ Bệnh viện 19-8 đã xử trí cấp cứu: Kiểm tra vết thương, băng ép cầm máu bằng gạc y tế, nẹp cố định tránh di lệch thêm; Tiêm huyết thanh kháng độc tố uốn ván. Bệnh nhân được nhập chuyên khoa Chấn thương chỉnh hình (B1) để điều trị tiếp gãy xương.

Các bác sĩ cảnh báo, tai nạn giao thông do thời tiết mưa trơn có thể gây chấn thương nặng, ảnh hưởng lâu dài đến sức khỏe nói chung và khả năng vận động chi thể nói riêng nếu không được cấp cứu kịp thời và xử trí đúng cách.

Người dân cần hết sức thận trọng khi tham gia giao thông trong điều kiện mưa gió:

- Di chuyển tốc độ chậm, giữ khoảng cách an toàn

- Kiểm tra lốp xe và phanh xe thường xuyên

- Hạn chế phanh gấp – đánh lái đột ngột

- Trang bị bảo hộ an toàn

Khi có tai nạn hoặc chấn thương đến ngay cơ sở y tế gần nhất để được xử trí kịp thời; Tuyệt đối không tự nắn chỉnh xương hoặc xử lý vết thương không vô khuẩn.

Thay nhân đĩa đệm nhân tạo giúp nam thanh niên thoát nguy cơ liệt tứ chi

Sau ca phẫu thuật thay đĩa đệm nhân tạo, nam thanh niên không còn đau đớn, thoát nguy cơ liệt do biến chứng từ ca tai nạn giao thông trước đó.

Trước đó khoảng 3 tháng, trong một tai nạn giao thông, nam thanh niên tên Trường ở Quảng Ninh phải nhập viện với chẩn đoán dập tủy cột sống cổ đoạn C3,4,5,6. Tuy nhiên vì lý do cá nhân mà bệnh nhân đã không điều trị gì. Chỉ đến khi tình trạng đau nhiều hơn, chân tay tê bì, khó vận động nam thanh niên mới đến Bệnh viện Việt Nam – Thụy Điển Uông Bí và được chẩn đoán thoát vị đĩa đệm cột sống cổ, khối thoát vị chèn ép xuống ống sống.

Sau khi hội chẩn, các bác sĩ đã tiến hành chỉ định và thay đĩa đệm cột sống cổ, giải phóng vị trí đốt sống bị chèn ép. Sau hơn 2 giờ, ca phẫu thuật diễn ra thành công. Chỉ sau 3 ngày, bệnh nhân đã cảm nhận rõ rệt kết quả của ca phẫu thuật và hạnh phúc khi bản thân không còn phải đối mặt với nguy cơ liệt vận động.

Đọc nhiều nhất

Tin mới