Tái hẹp mạch vành nghiêm trọng sau nhiều năm đặt stent

Việc xác định đúng nguyên nhân gây tái hẹp stent là bước then chốt, khi biết rõ vì sao mạch máu bị hẹp lại, để có phương án can thiệp phù hợp.

Đau tức ngực, mệt mỏi kéo dài do tái hẹp mạch vành

Người bệnh là ông M.C.N (63 tuổi, Ninh Bình), có tiền sử can thiệp đặt stent tại động mạch liên thất trước vào năm 2019. Đặc biệt, ông N mắc nhiều bệnh nền rất phức tạp như: tăng huyết áp, rối loạn mỡ máu,...

Hai tuần trước khi nhập viện điều trị tại Bệnh viện Đa khoa Hồng Ngọc (BVĐK Hồng Ngọc), ông N xuất hiện những cơn đau tức ngực ngay cả khi hoạt động nhẹ, kèm mệt mỏi kéo dài suốt nhiều ngày.

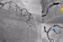
Kết quả chụp CT mạch vành 2560 lát cắt cho thấy ông bị tái hẹp gần như hoàn toàn ở trong lòng stent cũ và hẹp khít đoạn phía sau stent tại động mạch liên thất trước.

Các bác sĩ đánh giá đây là tổn thương tái hẹp mức độ nặng làm giảm khả năng cung cấp máu cho tim.

“Nhánh mạch máu chính nuôi tim đã hẹp gần hết, gây thiếu máu nuôi tim nghiêm trọng và có thể dẫn tới nhồi máu bất cứ lúc nào nếu không can thiệp kịp thời”, ThS.BS Nguyễn Đình Công, Phó khoa Tim mạch - Tim mạch can thiệp BVĐK Hồng Ngọc - Phúc Trường Minh, người trực tiếp thăm khám cho ông N. chia sẻ.

tai-hep.png
Ông N. được thăm khám sức khỏe kỹ càng trước khi can thiệp - Ảnh BVCC

Kế hoạch xử trí tái hẹp stent: Linh hoạt - trúng đích - toàn diện

ThS.BS Nguyễn Văn Hải - Trưởng khoa Tim mạch - Tim mạch can thiệp BVĐK Hồng Ngọc, chủ trì ca can thiệp cho ông N cho biết thêm, việc xác định đúng nguyên nhân gây tái hẹp stent là bước then chốt, khi biết rõ vì sao mạch máu bị hẹp lại, bác sĩ có thể chọn kế hoạch can thiệp phù hợp nhất cho bệnh nhân như nong bóng phủ thuốc hoặc đặt thêm stent.

Quyết định này tác động trực tiếp đến tính ổn định và hiệu quả điều trị lâu dài.

Trong quá trình can thiệp, ê-kíp đã sử dụng kỹ thuật siêu âm trong lòng mạch (IVUS) để quan sát trực tiếp cấu trúc mạch vành và stent.

“Kết quả cho thấy stent cũ có kích thước nhỏ hơn đường kính thực tế của mạch máu, khiến stent không thể mở rộng hết lòng mạch, đồng thời mảng xơ vữa đã phát triển mạnh mẽ cả bên trong lẫn phía ngoài stent. Đây là nguyên nhân gây tái hẹp nặng cho người bệnh”, bác sĩ Hải chia sẻ

Tuy nhiên, ca can thiệp đối mặt với một khó khăn lớn khi trong quá trình nong bóng để mở rộng đoạn mạch máu bị hẹp thì vị trí tổn thương ở phía ngoài stent bị tách ra khỏi thành mạch (bóc tách động mạch).

Các bác sĩ nhận định với tính chất tổn thương mạch vành trong trường hợp này thì phương án nong bóng phủ thuốc không còn phù hợp. Ê-kíp lập tức chuyển sang chiến lược đặt stent mới.

Nhờ tính toán các phương án can thiệp kỹ càng và thay đổi kế hoạch can thiệp nhạy bén, người bệnh nhanh chóng được đặt 01 stent có kích thước dài giúp bao phủ toàn bộ vùng tổn thương phía trong và sau stent cũ.

tai-hep-1.png
Ê- kíp tim mạch can thiệp BVĐK Hồng Ngọc tiến hành đặt stent cho ông N.

Kết quả IVUS sau can thiệp ghi nhận stent nở tốt, áp sát thành mạch, giảm tối đa nguy cơ tái hẹp. Sau can thiệp, ông N. hết đau ngực, người nhẹ nhõm, tinh thần phấn chấn và đủ điều kiện sức khỏe để ra viện sau 03 ngày.

Ca can thiệp thành công lần này là minh chứng cho sự tính toán kỹ lưỡng, chuẩn bị đa dạng các phương án can thiệp của đội ngũ bác sĩ để có thể xử trí linh hoạt những tổn thương mạch vành phức tạp như: tái hẹp stent, tổn thương vôi hóa nặng hay bệnh nhân có nhiều yếu tố nguy cơ cao.

Chăm sóc sau đặt stent động mạch vành

Sau 3 ngày thủ thuật, người bệnh có thể xuất viện về nhà. Sau 1 tuần, có thể quay trở lại công việc thường ngày. Trong thời gian này, người bệnh cần chú ý:

Uống nhiều nước để phòng tránh tụt huyết áp cũng như hạn chế tác dụng phụ của thuốc cản quang sử dụng trong khi làm thủ thuật.

Dành nhiều thời gian nghỉ ngơi, không vận động mạnh hay tập luyện quá sức, đặc biệt là bơi lội vì bơi lội có thể làm thay đổi áp suất bên trong mạch máu.

Nếu được kê thuốc, cần sử dụng đúng hướng dẫn của bác sĩ.

Nếu xuất hiện các triệu chứng như vị trí làm thủ thuật sưng đau, chảy máu, tiết dịch; vùng da làm thủ thuật chuyển đổi màu sắc và thay đổi nhiệt độ; người bị sốt, đau đầu, chóng mặt, khó thở,… cần nhanh chóng đến cơ sở y tế gần nhất.

Cứu sống du khách Trung Quốc bị sốc tim do nhồi máu cơ tim cấp

Bệnh viện Bãi Cháy đã cấp cứu thành công người đàn ông 67 tuổi bị nhồi máu cơ tim cấp, chứng minh năng lực can thiệp tim mạch chuyên sâu.

Cùng gia đình đi du lịch leo núi tại Quảng Ninh, người bệnh ngột xuất hiện triệu chứng đau ngực trái dữ dội kèm theo vã mồ hôi và khó thở.

Các bác sĩ Khoa Tim mạch – Bệnh viện Bãi Cháy đã kịp thời can thiệp cứu sống ông ZHANG DE SHENG (67 tuổi, quốc tịch Trung Quốc) trong tình trạng sốc tim do nhồi máu cơ tim cấp, nguy cơ tử vong rất cao.

Thay van động mạch chủ kịp thời cứu người đàn ông bị ngất khi đang chơi cờ

Thực hiện thành công kỹ thuật TAVI là một bước tiến quan trọng, mở ra hy vọng lớn cho những người bệnh tim mạch cao tuổi.

Các bác sĩ khoa Nội tim mạch người lớn, Trung tâm tim mạch, Bệnh viện E vừa thực hiện thay van động mạch chủ qua da cho người bệnh (80 tuổi, ở xã Dương Quan, Hải Phòng).

Đến nay, khoa Nội tim mạch người lớn, Trung tâm tim mạch, Bệnh viện E đã thực hiện và triển khai thành công kỹ thuật thay van động mạch chủ qua da cho nhiều trường hợp, đem lại nhiều lợi ích thiết thực cho nhiều người bệnh cao tuổi, mắc nhiều bệnh lý nền nguy hiểm.

Người phụ nữ 77 tuổi, đột ngột mệt, thở ngáp rồi ngừng tim, hôn mê

Bệnh nhân 77 tuổi ngưng tim sau nhồi máu cơ tim được cấp cứu kịp thời, hồi phục sau can thiệp mạch vành toàn diện tại Quảng Nam.

Một người phụ nữ 77 tuổi rơi vào tình trạng ngưng tim, ngưng thở tại nhà do nhồi máu cơ tim cấp đã được các bác sĩ Bệnh viện Đa khoa Trung ương Quảng Nam cứu sống ngoạn mục nhờ thực hiện hồi sức cấp cứu tích cực và can thiệp mạch vành nhanh chóng.

Người bệnh là bà Nguyễn Thị N. (77 tuổi, trú xã Núi Thành, TP. Đà Nẵng) được người nhà đưa đến Khoa Cấp cứu, Bệnh viện Đa khoa Trung ương Quảng Nam ngày 22/10 trong tình trạng ngưng tim, ngưng thở.

Đọc nhiều nhất

Tin mới