Can thiệp cầm máu thành công cho bệnh nhân ung thư dạ dày xuất huyết nặng

Các khối u tăng sinh mạch máu quá mức có thể gây vỡ các mạch máu này dẫn đến tình trạng xuất huyết ồ ạt.

Ngày 8/12, Bệnh viện Đa khoa Thủ Đức cho biết, các bác sĩ đơn vị can thiệp mạch máu ngoại biên đã can thiệp nội mạch cầm máu thành công cho bệnh nhân ung thư dạ dày biến chứng xuất huyết nặng.

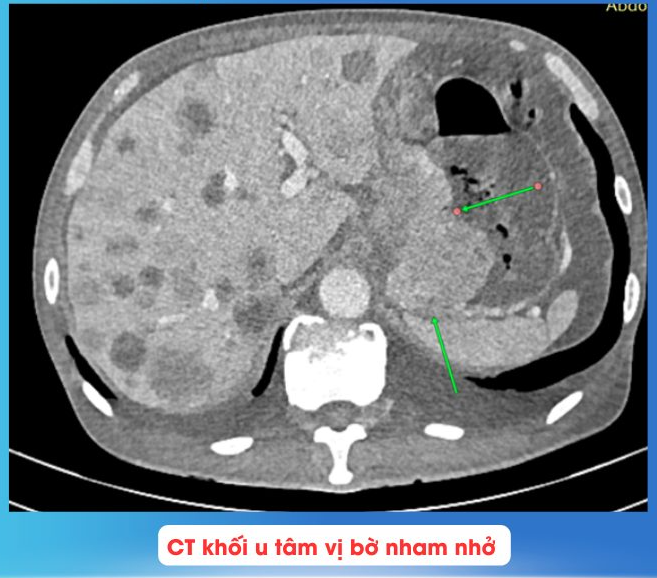
Bệnh nhân C.V.Q (nam, 61 tuổi) nhập viện vì tiêu phân đen, tiền căn ung thư tâm vị dạ dày giai đoạn T4N2M1, di căn phổi – gan – xương (phát hiện từ tháng 6/2025). Bệnh nhân hóa trị được 01 tháng thì ngưng điều trị, sau đó tiếp tục nhập viện và đến nay đã hóa trị đến chu kỳ 4 (FOLFIRI).

u-da-day.png
Ảnh BVCC

Trong quá trình nhập viện, bệnh nhân tiêu phân đen tăng dần, HGB ghi nhận giảm từ 7 -> 3.3 g/dl, BN được chỉ định truyền máu và nội soi dạ dày ghi nhận: sang thương chồi sùi, chiếm hết chu vi chỗ nối thực quản - dạ dày gây hẹp lòng, máy soi không qua được, mô bở, dễ chảy máu, ống soi không tiến xa được thêm.

Kết hợp thăm khám đánh giá, đây là một trường hợp biến chứng xuất huyết nặng do ung thư tâm vị có thể dẫn đến sốc mất máu suy đa cơ quan. Các bác sĩ hội chẩn đã quyết định tiến hành can thiệp cấp cứu tắc mạch khối u dạ dày cầm máu.

Dưới hướng dẫn của máy DSA, bác sĩ đã tiến hành chọn lọc đến nhánh nuôi khối u dạ dày, sau đó đã bơm tắc hoàn toàn nhánh này ngăn chặn việc xuất huyết. Bệnh nhân được tiếp tục theo dõi, sau 3 ngày bệnh nhân đã tiêu phân vàng, HGB tăng từ 3.3-> 4.7 -> 5.8-> 6 ->7.7 g/dl.

u-da-day-1.png
Hình ảnh mạch máu trước và sau can thiệp - Ảnh BVCC

BSCKI Nguyễn Thanh Long, Trưởng đơn vị Can thiệp mạch máu ngoại biên cho biết: “Biến chứng xuất huyết do các khối u ác tính là một biến chứng thường dẫn đến chảy máu trong ổ bụng có thể gây sốc mất máu ảnh hưởng đến tính mạng bệnh nhân. Các khối u tăng sinh mạch máu quá mức có thể gây vỡ các mạch máu này dẫn đến tình trạng xuất huyết ồ ạt.

Trước đây phẫu thuật thường được chỉ định cho các trường hợp này, ngày nay với sự phát triển của kỹ thuật can thiệp nội mạch với hướng dẫn của DSA thì việc xử trí các biến chứng này mang lại hiệu quả rõ rệt đồng thời giảm thời gian thủ thuật cũng như thời gian nằm viện cho bệnh nhân”.

Bệnh viện Đa khoa Thủ Đức là bệnh viện tuyến chuyên sâu đã triển khai kỹ thuật can thiệp mạch tạng từ năm 2016. Đến nay, đơn vị đã thực hiện can thiệp cho hơn 500 người bệnh với nhiều kỹ thuật chuyên sâu, góp phần nâng cao hiệu quả điều trị, mở ra thêm cơ hội sống cho người bệnh nặng.

Bảo vệ dạ dày từ những thói quen nhỏ tránh xuất huyết tiêu hóa

Xuất huyết tiêu hóa thường bắt nguồn từ lối sống thiếu khoa học. Thay đổi thói quen hằng ngày chính là cách bảo vệ sức khỏe hiệu quả nhất.

Xuất huyết tiêu hóa là tình trạng chảy máu trong đường tiêu hóa, thường do tổn thương ở dạ dày hoặc tá tràng. Bệnh không chỉ xảy ra ở người cao tuổi mà ngày càng gặp ở người trẻ vì lối sống thiếu khoa học. Đáng nói, phần lớn nguyên nhân xuất phát từ những thói quen sinh hoạt hằng ngày mà ít ai ngờ tới.

Nhiều người vẫn chủ quan với những thói quen tưởng chừng vô hại như uống thuốc giảm đau tùy tiện, nhịn ăn sáng hay lạm dụng rượu bia. Tuy nhiên, chính những hành động nhỏ này lại âm thầm phá hủy dạ dày, làm tăng nguy cơ viêm loét và dẫn đến xuất huyết tiêu hóa, một biến chứng nguy hiểm, thậm chí đe dọa tính mạng.

Phải cắt toàn bộ dạ dày điều trị ung thư vì thói quen uống rượu

Bệnh nhân ung thư dạ dày giai đoạn muộn được phẫu thuật nội soi thành công tại Bệnh viện K, nâng cao hiệu quả điều trị và khả năng hồi phục nhanh chóng.

Các bác sĩ Khoa Ngoại Quán Sứ 1 Bệnh viện K đã ứng dụng thành công phẫu thuật nội soi cắt toàn bộ dạ dày và nối trong mang lại nhiều lợi ích cho bệnh nhân ung thư dạ dày giai đoạn muộn.

Ân hận vì thói quen uống rượu mỗi ngày gây ung thư

Đừng bỏ qua những dấu hiệu nhỏ cảnh báo ung thư dạ dày

Nhiều người chủ quan với các triệu chứng như đầy bụng, chán ăn hay sụt cân nhẹ. Đó có thể là những tín hiệu đầu tiên cảnh báo ung thư dạ dày đang hình thành.

Nhiều người chủ quan bỏ qua các triệu chứng mơ hồ như đầy hơi, chán ăn hay đau bụng âm ỉ. Chính sự lơ là ấy khiến bệnh chỉ được phát hiện khi đã ở giai đoạn muộn.

Ung thư dạ dày là một trong những bệnh ung thư phổ biến và có tỷ lệ tử vong cao ở Việt Nam. Tuy nhiên, bệnh hoàn toàn có thể được phát hiện sớm nếu người bệnh chú ý đến những thay đổi nhỏ trong cơ thể.

Đọc nhiều nhất

Tin mới