Suy đa tạng nguy kịch vì mang “vi khuẩn ăn thịt người” từ Thái Lan

Whitmore là bệnh truyền nhiễm nguy hiểm, có thể gây suy đa tạng và tử vong nhanh.

Ngày 8/12, Bệnh viện Bệnh Nhiệt đới Trung ương cho biết, đơn vị vừa cứu sống người bệnh từ Thái Lan trở về mang theo “vi khuẩn tử thần”, "vi khuẩn ăn thịt người" gây suy đa tạng, sống nhờ thở máy nhưng đã thoát chết kỳ diệu.

Bệnh nguy kịch từ Thái Lan xin về Việt Nam điều trị

Bệnh nhân nam L.V.T, 35 tuổi ở Nghệ An, sinh sống và làm việc tại Thái Lan – khu vực lưu hành bệnh Whitmore cao. Anh có tiền sử đái tháo đường mới phát hiện. Khoảng năm tuần trước khi về Việt Nam, bệnh nhân xuất hiện sốt cao liên tục, khó thở, kích thích nhiều, phải nhập cấp cứu tại một cơ sở y tế ở Thái Lan.

Tại đây, bệnh nhân được đặt nội khí quản thở máy, kết quả cấy máu xác định nhiễm Burkholderia pseudomallei – tác nhân gây bệnh Whitmore.

vi-khuan-1.jpg
Thăm khám cho bệnh nhân nhiễm bệnh từ Thái Lan trở về - Ảnh BVCC

Dù được điều trị ban đầu, tình trạng vẫn diễn tiến nặng nên gia đình xin chuyển về Việt Nam để tiếp tục điều trị. Nhưng chỉ sau ít ngày, người bệnh rơi vào sốc nhiễm khuẩn, suy đa tạng, sốt cao liên tục, rối loạn ý thức và được chuyển gấp ra Khoa Cấp cứu – Bệnh viện Bệnh Nhiệt đới Trung ương.

ThS.BSNT Nguyễn Kim Anh, khoa cấp cứu cho biết thời điểm tiếp nhận người bệnh là “khoảnh khắc rất căng thẳng”. Bệnh nhân hôn mê sâu, thang điểm Glasgow chỉ còn 9, mất phản xạ đường thở, phụ thuộc hoàn toàn vào máy thở.

Nhiệt độ liên tục 41–42°C kèm run cơ toàn thân, gợi ý tình trạng tăng thân nhiệt ác tính trên nền nhiễm khuẩn huyết tối cấp. Xét nghiệm cho thấy men gan và bilirubin tăng cao, rối loạn đông máu, creatinin tăng nhanh kèm vô niệu – biểu hiện của suy gan, suy thận cấp tiến triển. Nồng độ CK vượt quá 100.000 U/l, kèm đau cơ và nước tiểu sẫm màu, phù hợp với tiêu cơ vân cấp.

Các chỉ số viêm như CRP, PCT tăng rất cao, phản ánh tình trạng nhiễm trùng – nhiễm độc toàn thân dữ dội. Trên nền đó là đái tháo đường chưa kiểm soát và viêm gan C mạn, khiến cơ thể người bệnh càng suy sụp.

vi-khaun.jpg
Chăm sóc hồi sức tích cực cho bệnh nhân tại bệnh viện - Ảnh BVCC

Thể tối cấp của Whitmore - nhiễm khuẩn huyết nặng, suy đa tạng...

Theo BS Kim Anh, đây là một trong những thể tối cấp của Whitmore - nhiễm khuẩn huyết nặng, suy đa tạng, rối loạn chuyển hoá sâu và nguy cơ tử vong rất lớn trong thời gian rất ngắn nếu không được hồi sức tích cực ngay lập tức.

Đội ngũ bác sĩ đã phải “chạy song song” nhiều can thiệp, an thần sâu để kiểm soát kích thích và bảo vệ não, hạ thân nhiệt chủ động nhằm khống chế tình trạng tăng thân nhiệt ác tính, thiết lập đường truyền trung tâm, theo dõi huyết động liên tục, điều chỉnh toan – điện giải, phối hợp kháng sinh theo phác đồ điều trị Melioidosis và tiến hành lọc máu liên tục nhiều ngày để hỗ trợ chức năng thận, loại bỏ độc chất và giảm gánh nặng viêm.

Sau khoảng ba ngày hồi sức cao độ, bệnh nhân bắt đầu cắt sốt, các chỉ số viêm giảm dần, huyết áp ổn định hơn với nhu cầu vận mạch giảm, chức năng gan thận cải thiện, tri giác dần hồi phục. Người bệnh cai được thở máy qua mở khí quản, tập lại hô hấp tự nhiên và phục hồi vận động.

Trong ba tuần điều trị tích cực tại Khoa Cấp cứu, các bác sĩ tiếp tục tối ưu kháng sinh, kiểm soát chặt chẽ đường huyết, hỗ trợ dinh dưỡng và phục hồi chức năng sớm.

Người bệnh hồi phục từng bước, tỉnh táo hoàn toàn, tự thở khí phòng với SpO₂ 99%, huyết áp 130/80 mmHg, cơ lực chi trên đạt 5/5, chi dưới 4/5, đủ điều kiện ra viện và tiếp tục theo dõi ngoại trú.

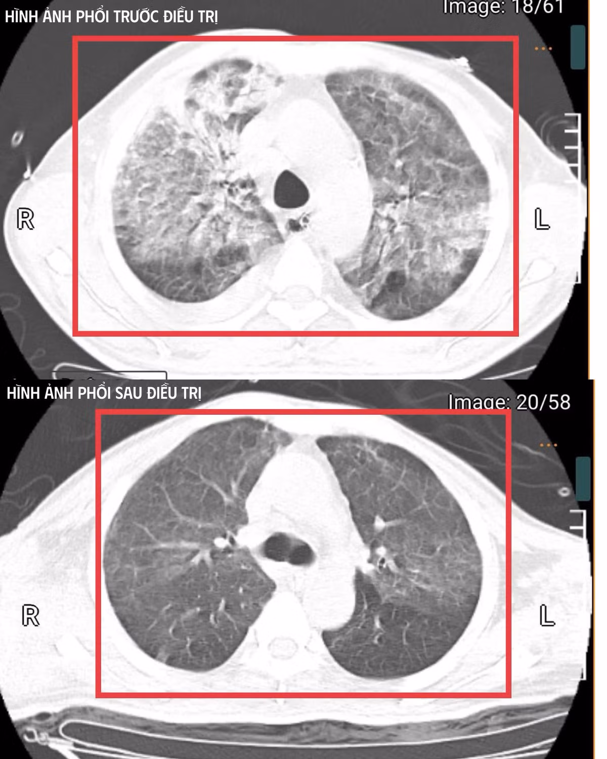
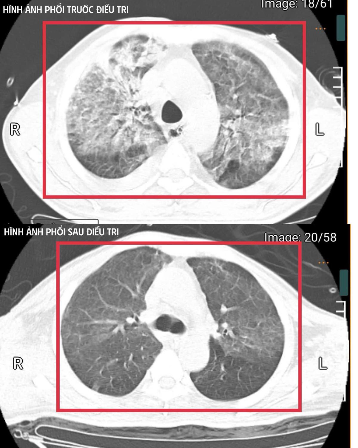
vi-khuan-2.jpg
Hình ảnh tổn thương phổi của bệnh nhân trước và sau điều trị - Ảnh BVCC

"Whitmore là bệnh truyền nhiễm nguy hiểm, có thể gây suy đa tạng và tử vong nhanh, đặc biệt ở những người có bệnh nền như đái tháo đường, bệnh gan mạn hoặc những người làm việc lâu năm trong môi trường đất, nước ẩm.

Bệnh có thể khởi phát không điển hình với các triệu chứng như sốt kéo dài, mệt mỏi, đau đầu, đau cơ, ho, sụt cân hoặc rối loạn tri giác, rất dễ bị bỏ sót.

Người dân có yếu tố nguy cơ hoặc triệu chứng sốt kéo dài không rõ nguyên nhân cần đến các cơ sở chuyên khoa truyền nhiễm để được xét nghiệm, chẩn đoán và điều trị kịp thời, đồng thời tuân thủ đầy đủ phác đồ kháng sinh kéo dài để tránh tái phát.

Đây là lời cảnh báo cộng đồng không chủ quan với những cơn sốt kéo dài, đặc biệt ở người có bệnh nền và sống – làm việc trong vùng dịch tễ của Whitmore", BS Kim Anh khuyến cáo.

Sốt liên tục 10 ngày, trẻ 15 tuổi biến chứng nguy kịch vì Whitmore

Người dân cần hạn chế cho trẻ nhỏ chơi ở vùng bùn đất, nguồn nước ô nhiễm. Người lao động thường xuyên tiếp xúc với đất và nước nên sử dụng bảo hộ.

Theo lời kể của gia đình, hơn 10 ngày trước khi nhập viện, trẻ có biểu hiện sốt nóng từng cơn, cao nhất 38,5 độ, kèm ho nhiều, mệt mỏi, ăn uống kém, không điều trị gì, tình trạng nặng dần sốt cao liên tục đau ngực khó thở thể trạng suy kiệt.

Trẻ được gia đình đưa đến điều trị ở Bệnh viện Như Thanh nhưng tình trạng nặng hơn, chuyển cấp cứu đến Bệnh viện Nhi Thanh Hóa trong tình trạng suy kiệt, nhiễm trùng nhiễm độc nặng, khó thở đau ngực nhiều, sốt cao liên tục.

Cảnh báo vi khuẩn ăn thịt người giả dạng gia tăng đột biến sau mưa lũ

Bệnh Whitmore là một mối đe dọa sức khỏe cộng đồng cần được cảnh báo nghiêm túc sau các đợt mưa lũ, đặc biệt tại các khu vực thường xuyên bị ngập úng.

Vi khuẩn đang lưu hành, gây bệnh trong cộng đồng

Burkholderia pseudomallei (hay còn gọi là vi khuẩn Whitmore, vi khuẩn ăn thịt người) là một trực khuẩn Gram âm tồn tại tự nhiên trong bùn đất và nước ở vùng khí hậu nhiệt đới, đặc biệt là ở tầng đất sâu.

Bùn nước sau lũ lụt cẩn thận vi khuẩn ăn thịt người tấn công gây tử vong

Vi khuẩn gây bệnh Whitmore sống trong đất ẩm, đặc biệt vào mùa mưa, gây nguy hiểm cho người tiếp xúc trực tiếp, đặc biệt là người có bệnh lý nền.

Khi có các hiện tượng sốt cao, khó thở, áp xe nhiều cơ quan (phổi, gan, cơ xương khớp…) đặc biệt trên người bệnh có nhiều bệnh lý nền như đái tháo đường, bệnh phổi mạn tính, dùng thuốc corticoid kéo dài… cần nghĩ đến khả năng mắc bệnh Whitmore.

Nhiễm khuẩn huyết nguy kịch từ sưng mang tai

Đọc nhiều nhất

Tin mới

Đi khám sức khỏe phát hiện ung thư amidan

Đi khám sức khỏe phát hiện ung thư amidan

Người dân cần chủ động thăm khám sức khỏe định kỳ, đặc biệt khi có dấu hiệu bất thường vùng tai mũi họng, đau họng kéo dài, nuốt vướng, khàn tiếng, nổi hạch cổ…