Phẫu thuật cấp cứu lấy thai suy hô hấp thành công

Khoa Nhi – Trung tâm Y tế khu vực Tam Nông (Phú Thọ) vừa cấp cứu thành công một trường hợp trẻ sơ sinh bị suy hô hấp nặng.

Ở tuần thai thứ 37, sản phụ P.T.H.T (sinh năm 2002, trú tại xã Hiền Quan, Phú Thọ) có dấu hiệu đau bụng và được đưa đến Trung tâm Y tế khu vực Tam Nông thăm khám. Các bác sĩ Khoa Phụ sản xác định, đây là trường hợp sản phụ có nhịp tim thai bất thường cần phẫu thuật cấp cứu lấy thai.

Ca phẫu thuật diễn ra an toàn, tuy nhiên bé trai sơ sinh xuất hiện tình trạng suy hô hấp, thở rên, khò khè, chỉ số SpO₂ giảm còn 88 – 93%. Các bác sĩ khoa Nhi đã nhanh chóng thăm khám, hội chẩn và chẩn đoán trẻ bị suy hô hấp cấp do viêm phổi sơ sinh, hạ đường huyết.

dt2-6238.jpg
Trẻ sơ sinh được điều trị, chăm sóc tích cực tại Khoa Nhi - Ảnh BV

Ngay lập tức, ê-kíp Khoa Nhi đã kích hoạt quy trình cấp cứu, hồi sức sơ sinh, thở máy CPAP, dinh dưỡng đường tĩnh mạch, kháng sinh, chăm sóc tích cực và theo dõi liên tục các chỉ số sinh tồn.

Nhờ chuyên môn vững vàng, sự phối hợp nhịp nhàng của đội ngũ y bác sĩ, cùng hệ thống trang thiết bị hiện đại và sự chăm sóc tận tình của điều dưỡng, sau 5 ngày điều trị thở máy, bé đã tự thở tốt, bú mẹ, da hồng hào, tình trạng viêm phổi cải thiện, các chỉ số sinh tồn ổn định và được xuất viện sau 13 ngày điều trị...

Bác sĩ Khoa Nhi - Trung tâm Y tế khu vực Tam Nông thăm khám, theo dõi sức khỏe cho trẻ sơ sinh. Ảnh BV

Theo các bác sĩ, viêm phổi ở trẻ sơ sinh là một trong những bệnh lý hô hấp nguy hiểm, có thể dẫn đến biến chứng nặng và gây tử vong cho trẻ nhỏ. Bệnh thường khởi phát sớm trong vài giờ sau sinh hoặc muộn hơn sau 7 ngày tuổi. Nhờ sự phát triển của y học hiện đại, số trẻ tử vong do viêm phổi sơ sinh đã giảm đáng kể.

Nguyên nhân gây viêm phổi ở trẻ sơ sinh có thể là do lây nhiễm các vi sinh vật bên trong đường sinh dục của người mẹ (ở trẻ được sinh qua ngã âm đạo) hoặc do các tác nhân từ môi trường, bao gồm cả môi trường phòng sinh, bệnh viện và chăm sóc tại nhà.

Trẻ sơ sinh bị viêm phổi chủ yếu là do các loại vi khuẩn như Listeria, Coli, vi khuẩn Gram âm. Nhiễm khuẩn phổi ở trẻ có thể xảy ra từ trước, trong hoặc sau khi đẻ, liên quan mật thiết tới thời gian vỡ ối trước khi đẻ.

Ngoài ra, nguyên nhân nữa khiến trẻ sơ sinh bị viêm phổi đó là thai nhi trong tử cung bị thiếu dưỡng khí. Do đó trong quá trình mang thai, người mẹ phải kiểm tra định kỳ, nhất là giai đoạn cuối để phát hiện sớm tình trạng này và có biện pháp can thiệp kịp thời.

Việc nhận biết sớm triệu chứng, hiểu rõ nguyên nhân và áp dụng các biện pháp phòng ngừa đúng cách sẽ giúp cha mẹ chủ động bảo vệ sức khỏe hô hấp của con, hạn chế tối đa nguy cơ mắc bệnh và biến chứng nghiêm trọng.

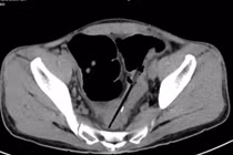
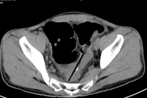
Chàng trai 33 tuổi bị xương cá đâm thủng ruột non, gây áp xe ổ bụng

Đa số trường hợp nuốt phải xương cá, dị vật thường được đào thải tự nhiên, nhưng những mảnh xương cá hình dạng dị thường, có thể cắm vào thành ruột non.

Bệnh viện Bệnh Nhiệt đới Trung ương vừa cấp cứu thành công một trường hợp hiếm gặp, mảnh xương cá dài 4cm đâm thủng ruột non gây áp xe ổ bụng ở nam bệnh nhân 33 tuổi, quê Phú Thọ.

Trước đó, bệnh nhân D.T.L nhập viện trong tình trạng đau bụng dữ dội ở vùng hạ vị hố chậu phải, sốt nhẹ 38-38,5oC, ấn vào bụng đau và có phản ứng thành bụng. Kết quả xét nghiệm cho thấy chỉ số bạch cầu tăng cao (12 G/L), dẫn đến chẩn đoán ban đầu là viêm ruột thừa cấp.

Người mắc hội chứng Pica thích ăn các đồ vật không phải thức ăn

Hội chứng Pica có thể xuất hiện ở trẻ em, người lớn, phụ nữ mang thai, trẻ tự kỷ.... Người mắc hội chứng này thích ăn các đồ vật không phải thức ăn.

Một người bệnh nuốt nhiều dị vật gây biến chứng thủng đại tràng

Mới đây Trung tâm Phẫu thuật tiêu hóa - Bệnh viện Bạch Mai vừa phẫu thuật một trường hợp người bệnh nuốt nhiều dị vật gây biến chứng thủng đại tràng. Người bệnh được chẩn đoán mắc hội chứng Pica, hay còn gọi là hội chứng thích ăn các đồ vật không phải thức ăn.

Cứu sống sản phụ ở Quảng Trị bị vỡ thai ngoài tử cung

Bệnh viện Đa khoa khu vực Hướng Hóa vừa thực hiện ca phẫu thuật thành công, cứu sống kịp thời một sản phụ bị vỡ thai ngoài tử cung.

Ngày 12/9, thông tin từ Bệnh viện Đa khoa khu vực Hướng Hóa (tỉnh Quảng Trị) cho biết sức khỏe của nữ bệnh nhân Hồ Thị Thẩy (26 tuổi, ngụ xã Hướng Phùng, tỉnh Quảng Trị) đã ổn định sau ca phẫu thuật cấp cứu thành công.

Trước đó vào đêm 10/9, bệnh nhân Hồ Thị Thẩy (26 tuổi), trú tại xã Hướng Phùng vào viện trong tình trạng hết sức nguy kịch khi da niêm mạc nhợt nhạt, bụng chướng căng, đau dữ dội vùng hạ vị.

Đọc nhiều nhất

Đi khám sức khỏe phát hiện ung thư amidan

Đi khám sức khỏe phát hiện ung thư amidan

Người dân cần chủ động thăm khám sức khỏe định kỳ, đặc biệt khi có dấu hiệu bất thường vùng tai mũi họng, đau họng kéo dài, nuốt vướng, khàn tiếng, nổi hạch cổ…

Tin mới

Đi khám sức khỏe phát hiện ung thư amidan

Đi khám sức khỏe phát hiện ung thư amidan

Người dân cần chủ động thăm khám sức khỏe định kỳ, đặc biệt khi có dấu hiệu bất thường vùng tai mũi họng, đau họng kéo dài, nuốt vướng, khàn tiếng, nổi hạch cổ…