Chàng trai 33 tuổi bị xương cá đâm thủng ruột non, gây áp xe ổ bụng

Đa số trường hợp nuốt phải xương cá, dị vật thường được đào thải tự nhiên, nhưng những mảnh xương cá hình dạng dị thường, có thể cắm vào thành ruột non.

Bệnh viện Bệnh Nhiệt đới Trung ương vừa cấp cứu thành công một trường hợp hiếm gặp, mảnh xương cá dài 4cm đâm thủng ruột non gây áp xe ổ bụng ở nam bệnh nhân 33 tuổi, quê Phú Thọ.

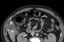
Trước đó, bệnh nhân D.T.L nhập viện trong tình trạng đau bụng dữ dội ở vùng hạ vị hố chậu phải, sốt nhẹ 38-38,5oC, ấn vào bụng đau và có phản ứng thành bụng. Kết quả xét nghiệm cho thấy chỉ số bạch cầu tăng cao (12 G/L), dẫn đến chẩn đoán ban đầu là viêm ruột thừa cấp.

xuong-ca1.jpg
Ca phẫu thuật cho bệnh nhân - Ảnh BVCC

Anh L cho biết thường xuyên ăn cá. Sáng trước ngày nhập viện, anh ăn bún cá, sau đó xuất hiện cơn đau âm ỉ ở vùng thượng vị. Nghĩ mình bị đau dạ dày (do có tiền sử đau dạ dày trước đó), nên tự uống thuốc nhưng không đỡ.

Trưa cùng ngày cơn đau di chuyển xuống bụng dưới. Đến chiều, cơn đau ngày càng dữ dội và phải đến phòng khám gần nhà kiểm tra. Anh được chẩn đoán bị kích ứng nhu động ruột và có khả năng bị viêm ruột thừa được chỉ định theo dõi. Đến 17 giờ 30 phút, cơn đau không giảm và bắt đầu sốt nhẹ nên anh được người nhà đưa vào nhập viện tại Bệnh viện Bệnh Nhiệt đới Trung ương.

Tại Trung tâm Phẫu thuật Gan mật - Tiêu hoá căn cứ trên các kết quả xét nghiệm, siêu âm, chụp cắt lớp và theo dõi lâm sàng, anh L được chẩn đoán thủng ruột non do dị vật và được chỉ định phẫu thuật cấp cứu ngay trong đêm.

xuong-ca2.jpg
Chiếc xương cá đâm vào ruột non bệnh nhân - Ảnh BVCC

Trong khi mổ, ê kíp phẫu thuật phát hiện ổ bụng của bệnh nhân có dịch đục và bị nhiễm trùng nặng. Vùng tiểu khung, ruột thừa vị trí hố chậu phải viêm xung huyết. Một ổ áp xe tại đoạn ruột non vị trí cách góc hồi manh tràng khoảng 1 mét, nguyên nhân là mảnh xương cá dài 4 cm đâm thủng ruột non. Cách đó 10 cm, có một túi thừa Meckel lớn.

Các bác sĩ đã cắt bỏ ruột thừa viêm, cắt đoạn ruột non chứa túi thừa và ổ áp xe, làm sạch ổ bụng. Sau phẫu thuật 2 ngày, bệnh nhân hồi phục tốt và sẽ sớm được xuất viện.

TS Nguyễn Minh Trọng, Giám đốc Trung tâm Phẫu thuật Gan mật - Tiêu hoá, cho biết: “Đa số trường hợp nuốt phải xương cá, dị vật thường được đào thải tự nhiên. Tuy nhiên, với những mảnh xương cá có hình dạng dị thường, chúng có thể cắm vào thành ruột non và dần dần cứ đâm sâu dần làm thủng và gây viêm, đau, tạo thành ổ áp xe”.

xuong-ca-3.jpg
Thăm khám cho bệnh nhân sau phẫu thuật - Ảnh BVCC

TS.BS Trọng nhấn mạnh, xương cá có thể gây hại cho đường tiêu hóa do cơ chế chọc, đâm, dẫn đến các biến chứng nguy hiểm như: Áp xe và viêm thực quản nếu kẹt ở thực quản. Thủng dạ dày, ruột non, ruột già. Nghiêm trọng hơn, xương có thể đâm thủng các tạng xung quanh hoặc gây viêm phúc mạc (nhiễm trùng ổ bụng), đe dọa tính mạng, gây khó khăn cho công tác điều trị.

Người dân cần hết sức thận trọng khi ăn cá, đặc biệt với các loại cá nhiều xương. Trong trường hợp nghi ngờ nuốt phải xương cá và có dấu hiệu đau bụng, sốt, hoặc khó chịu kéo dài, cần đến ngay cơ sở y tế để phát hiện sớm dị vật.

Cụ ông 80 tuổi viêm phúc mạc, thủng ruột vì xương cá

Một mảnh xương cá nhỏ bé tưởng chừng vô hại có thể trở thành “sát thủ thầm lặng”, gây thủng ruột, viêm phúc mạc và đe dọa tính mạng.

Xương cá 5 cm đâm thủng ruột gây viêm phúc mạc

Khoa Ngoại Tổng hợp – Bệnh viện Hữu Nghị vừa tiếp nhận và điều trị thành công một bệnh nhân nam, 80 tuổi ở Hà Nội, nhập viện trong tình trạng đau bụng dữ dội, bụng chướng, viêm phúc mạc toàn bộ.

Người đàn ông 58 tuổi áp xe gan vì nuốt phải xương cá

Trong ăn uống cần đặc biệt lưu ý, tránh để xương lọt vào đường tiêu hóa, vì có thể gây biến chứng nặng nề, thậm chí nguy hiểm tính mạng.

Bệnh viện Thống Nhất vừa tiếp nhận và xử trí thành công trường hợp áp xe gan hiếm gặp do dị vật đường tiêu hóa gây ra. Người bệnh là ông N.T.H (58 tuổi, ngụ phường Bảy Hiền, TP HCM), nhập viện trong tình trạng đau bụng kéo dài, kèm nhiều bệnh lý nền phức tạp.

Theo hồ sơ bệnh án, khoảng một tháng trước khi vào viện, bệnh nhân thường xuyên bị đau bụng quanh rốn kèm nôn 2–3 lần/ngày và tự ý dùng thuốc giảm đau nhưng không cải thiện.

Xương cá đâm thủng, tạo mủ cả tháng trong dạ dày bệnh nhân 56 tuổi

Khi ăn cá, gà, vịt… có nhiều xương cần gỡ xương thật cẩn thận. Khi bị hóc xương nên đến ngay các cơ sở y tế, bệnh viện để được xử lý sớm.

Suy kiệt, thủng dạ dày, ổ mủ kéo dài cả tháng

Chỉ một chiếc xương cá nhỏ mà suýt lấy đi tính mạng bệnh nhân H.T.N.C. (56 tuổi, ngụ tại Đồng Tháp).

Đọc nhiều nhất

Lợi ích sức khỏe của táo đỏ

Lợi ích sức khỏe của táo đỏ

Đông y cho rằng táo đỏ có tác dụng bổ khí huyết, kiện tỳ vị, an thần nên thường cho vào các bài thuốc có tác dụng bồi bổ cơ thể.

Tin mới

Lợi ích sức khỏe của táo đỏ

Lợi ích sức khỏe của táo đỏ

Đông y cho rằng táo đỏ có tác dụng bổ khí huyết, kiện tỳ vị, an thần nên thường cho vào các bài thuốc có tác dụng bồi bổ cơ thể.