Người đàn ông 61 tuổi tắc ruột phải phẫu thuật cấp cứu do ăn nhiều quả hồng

Một người đàn ông 61 tuổi phải phẫu thuật cấp cứu do tắc ruột, tắc dạ dày sau khi ăn nhiều quả hồng.

Theo VTV, Bệnh viện Đa khoa Bắc Kạn (Thái Nguyên) tiếp nhận người bệnh L.S.C. (61 tuổi, trú tại Thái Nguyên) trong tình trạng đau bụng dữ dội vùng quanh rốn, buồn nôn, chướng bụng và bí đại tiện.

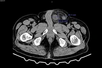
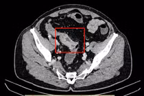
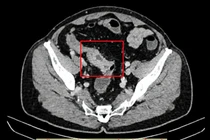
Kết quả chụp X-quang, siêu âm và cắt lớp cho thấy dạ dày chứa nhiều chất đặc quánh, hình ảnh bã thức ăn gây tắc ruột. Người bệnh được chẩn đoán tắc ruột do bã thức ăn, chỉ định phẫu thuật mở dạ dày lấy khối bã. Sau mổ, bác sĩ ghi nhận khối bã lớn, cứng, màu nâu đen, nguyên nhân gây tắc nghẽn kéo dài dẫn đến nhiễm trùng, suy thận cấp và suy đa tạng.

Bác sĩ phẫu thuật cho bệnh nhân/ Ảnh VTV

Khai thác bệnh sử cho thấy trước nhập viện, người bệnh ăn nhiều quả hồng, nguyên nhân chính gây tắc ruột do bã thực vật.

Theo BSCKII Triệu Đức Giang, Phó Trưởng khoa Ngoại tổng hợp, quả hồng chứa nhiều tanin và pectin. Khi ăn hồng lúc đói hoặc ăn quá nhiều, các chất này gặp axit dạ dày sẽ kết tủa, tạo thành khối bã cứng, gây tắc ruột, tắc dạ dày, thậm chí phải phẫu thuật cấp cứu.

Tránh ăn quả hồng kết hợp với thực phẩm giàu đạm như cua, tôm, sữa vì dễ kết tủa tạo bã. Người có bệnh dạ dày hoặc từng tắc ruột cần hạn chế ăn loại quả này.

Khi xuất hiện triệu chứng đầy bụng, buồn nôn, đau quặn hoặc bí đại tiện, người dân cần đến bệnh viện sớm để được chẩn đoán và xử trí kịp thời.

Ngâm nước hồng trước khi ăn để giảm độ chát. Ảnh minh hoạ/Internet
Ngâm nước hồng trước khi ăn để giảm độ chát. Ảnh minh hoạ/Internet

Theo SKĐS, TS. BS. Đặng Quốc Ái (Khoa Ngoại tổng hợp - Bệnh viện E Trung ương) cho biết, không chỉ ở Việt Nam mà rất nhiều quốc gia đều ghi nhận các trường hợp ăn hồng gây tắc ruột.

Hằng năm đến mùa hồng, tại bệnh viện đều ghi nhận nhiều ca bị tắc ruột do ăn hồng. Có nhiều trường hợp tắc ruột điều trị không đỡ phải mổ để lấy khối bã thức ăn.

Những bệnh nhân bị tắc ruột cần phải cấp cứu ngoại khoa, đa số bệnh nhân bị tắc ruột chỉ khi có các dấu hiệu kể trên vào bệnh viện thăm khám mới phát hiện ra, ít khi nghĩ đến nguyên nhân thực phẩm.

Do vậy, TS. Ái khuyến cáo người có tổn thương đường tiêu hóa, đã cắt một phần hoặc bán phần dạ dày, người cao tuổi, răng yếu, nhai không kỹ, nhu động ruột và tuyến nước bọt giảm thì không ăn hồng hoặc các loại thực phẩm giàu xenlulo già như măng, rau già…

Trẻ nhỏ ăn quả hồng cũng dễ bị táo bón, tắc ruột, nếu không được cấp cứu kịp thời, để lâu có thể gây thủng ruột. Thực phẩm dành cho các đối tượng này phải được nấu chín, ninh nhừ và nhai kỹ. Ngoài ra những người sức khoẻ kém, người có bệnh mạn tính, người bệnh đái tháo đường không nên ăn quả hồng ngâm...

Những người bình thường nếu ăn quả hồng nên thận trọng: không ăn quá nhiều, nhai kỹ và không nên ăn quả hồng lúc đói.

Hiếm gặp tắc động mạch mạc treo tràng trên hoại tử 5m ruột

Tắc động mạch mạc treo sẽ dẫn đến hoại tử toàn bộ ruột non và một phần đại tràng gây nhiễm trùng, nhiễm độc rất nặng, suy đa phủ tạng, tỷ lệ tử vong 60 – 100%.

Tắc động mạch mạc treo là tình trạng tắc nghẽn động mạch nuôi ruột khiến máu không đến được ruột non và ruột già, gây ra hoại tử. Bệnh rất hiếm gặp với tỷ lệ tử vong cao nếu không được phát hiện và điều trị kịp thời.

Ê-kíp Phẫu thuật Ngoại khoa - Gây mê hồi sức Bệnh viện Đa khoa Vũng Tàu đã thực hiện thành công ca mổ cứu sống bệnh nhân tắc hoàn toàn động mạch mạc treo tràng trên cấp tính.

Chủ quan với khối thoát vị bẹn người đàn ông bị hoại tử đại tràng

Thoát vị bẹn gặp ở mọi lứa tuổi cần đề phòng biến chứng nghẹt hoại tử ruột, hoại tử tinh hoàn, gây tắc ruột, đau dữ dội và có nguy cơ đe dọa tính mạng.

Thoát vị bẹn nghẹt gây hoại tử ruột, viêm phúc mạc

Vừa qua ngày 15/10/2025, các bác sĩ khoa Ngoại, Bệnh viện Đa khoa tỉnh Quảng Ninh phẫu thuật cấp cứu thành công cho một trường hợp nam bệnh nhân bị thoát vị bẹn trái nghẹt đại tràng sigma gây hoại tử, viêm phúc mạc.

Cứu sống Việt kiều Mỹ bị bán tắc ruột do khối u đại tràng

Khi có các dấu hiệu bất thường về đường ruột như thay đổi thói quen đi tiêu, đau bụng kéo dài, phân có máu hoặc nhầy, người bệnh nên chủ động thăm khám sớm.

Một ca phẫu thuật nội soi thành công đã được thực hiện tại Bệnh viện Đa khoa Thủ Đức để điều trị cho nam bệnh nhân Việt kiều 73 tuổi bị bán tắc ruột do khối u đại tràng sigma.

Bệnh nhân Đ.V.H.N, hiện đang sinh sống tại Mỹ, về thăm nhà tại phường Hiệp Bình, TP HCM khi gặp vấn đề sức khỏe nghiêm trọng.

Đọc nhiều nhất

Tin mới

Điện Biên ghi nhận hơn 30 ca sởi

Điện Biên ghi nhận hơn 30 ca sởi

Theo Trung tâm Kiểm soát bệnh tật tỉnh Điện Biên, từ ngày 1/11/2025 đến 16/1/2026, toàn tỉnh ghi nhận 34 trường hợp mắc và nghi mắc bệnh sởi.