Lao màng bụng dễ nhầm lẫn với ung thư, cần chú ý triệu chứng sớm

Bệnh lao màng bụng có triệu chứng mơ hồ, dễ nhầm với ung thư, nhưng có thể chữa khỏi nếu phát hiện sớm và điều trị đúng cách.

Lao là bệnh truyền nhiễm do vi khuẩn Mycobacterium tuberculosis gây ra, thường gặp ở phổi nhưng cũng có thể xuất hiện ngoài phổi. Trong đó, lao màng bụng là thể ít gặp, xảy ra khi vi khuẩn gây viêm tại lớp màng bao bọc các cơ quan trong ổ bụng.

Bệnh tiến triển âm thầm, triệu chứng không điển hình như sốt nhẹ về chiều, mệt mỏi, sút cân, đau bụng âm ỉ, cổ trướng… nên dễ bị bỏ sót hoặc nhầm lẫn với bệnh lý viêm mạn tính, thậm chí ung thư ổ bụng - tiểu khung. Nếu không được phát hiện kịp thời, bệnh có thể gây biến chứng như dính ruột, tắc ruột, suy kiệt.

Ở giai đoạn đầu, lao màng bụng rất khó phát hiện vì có ít triệu chứng. Ảnh VTV

Bệnh viện Đa khoa Vĩnh Phúc (Phú Thọ) vừa phát hiện một bệnh nhân trẻ bị lao màng bụng qua thăm dò chức năng.

Bệnh nhân M.T.T.H. (20 tuổi, quê Thanh Hóa) nhập viện trong tình trạng đau tức ngực trái, khó thở. Kết quả chụp cắt lớp vi tính ghi nhận tràn dịch màng phổi và tràn dịch ổ bụng. Đáng chú ý, chỉ số CA-125 tăng gần 600 U/mL - dấu ấn thường gặp trong ung thư buồng trứng khiến các bác sĩ nghi ngờ bệnh lý ác tính.

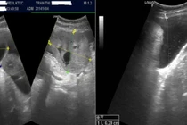
Tuy nhiên, các xét nghiệm tìm vi khuẩn lao trong dịch đều âm tính, chụp cộng hưởng từ chỉ ghi nhận nang lành tính ở buồng trứng. Trước tình trạng chẩn đoán chưa rõ ràng, các bác sĩ đã chỉ định nội soi ổ bụng.

Qua nội soi, ghi nhận nhiều nốt tổn thương rải rác trên phúc mạc và bao gan, hai buồng trứng không phát hiện khối u. Kết quả sinh thiết cho thấy tổn thương viêm lao màng bụng, từ đó xác định chẩn đoán.

Vi khuẩn lao lây lan đến màng bụng qua đường máu, bạch huyết hoặc đường sinh dục. Ảnh medlatec.vn

Theo ThS. BS Dương Văn Hiếu, trong các trường hợp tràn dịch không rõ nguyên nhân, đặc biệt khi xét nghiệm và hình ảnh học chưa điển hình, nội soi ổ bụng kết hợp sinh thiết là phương pháp có giá trị quyết định.

Lao màng bụng được điều trị bằng thuốc kháng lao theo phác đồ chuẩn, thời gian tối thiểu 9 tháng. Nếu được phát hiện sớm và tuân thủ điều trị, bệnh có thể khỏi hoàn toàn.

Từ trường hợp này, chuyên gia khuyến cáo người dân không chủ quan với các biểu hiện như đau bụng kéo dài, tràn dịch ổ bụng, sút cân không rõ nguyên nhân; cần đi khám sớm để được chẩn đoán và điều trị kịp thời, tránh biến chứng đáng tiếc.

Nguyên nhân chính dẫn đến bệnh lao màng bụng chủ yếu vẫn là do vi khuẩn lao người Mycobacterium tuberculosis; Bên cạnh đó, cũng có trường hợp người mắc lao màng bụng là do vi khuẩn lao từ động vật như lao bò.

Có 3 cách vi khuẩn lao lây lan đến màng bụng đó là:

  • Đường máu: Đây là đường lan truyền chủ yếu của vi khuẩn do mạch máu có mặt tại khắp nơi trong cơ thể nên rất thuận tiện cho vi khuẩn lao lựa chọn làm con đường lây bệnh chính;
  • Đường bạch huyết: Từ các tổn thương tại ruột và hạch mạc treo, men theo hệ thống đường huyết, “sát thủ" lao tìm đến màng bụng. Không chỉ có vậy, kể cả từ ổ lao ở màng phổi chúng cũng có thể tấn công vào màng bụng do hệ thống bạch huyết của hai cơ quan này lưu thông với nhau qua cơ hoành;
  • Đường lây truyền trực tiếp: Vi khuẩn lao còn có thể xâm nhập vào màng bụng từ các tổn thương tiến triển ở những vị trí khác như ruột ở đường tiêu hoá; buồng trứng, vòi trứng, tử cung,... ở đường sinh dục.

Phát hiện xẹp nhiều đốt sống do loãng xương nặng

Bệnh nhân 64 tuổi tại Hà Nội điều trị loãng xương nặng, nguy cơ gãy xương cao, nhấn mạnh tầm quan trọng của chẩn đoán sớm và điều trị hiệu quả.

Đau lưng âm ỉ, đi khám phát hiện xẹp nhiều đốt sống do loãng xương nặng

Bệnh nhân L.T.N.L. (64 tuổi, sinh sống tại Hà Nội) đến Bệnh viện Đa khoa Medlatec khám vì tình trạng đau cột sống lưng và cột sống thắt lưng trên nền bệnh loãng xương đã được chẩn đoán từ 6 năm trước. Bệnh nhân đang điều trị loãng xương đều đặn bằng thuốc uống hàng tuần, kết hợp bổ sung canxi và vitamin D.

Người phụ nữ trẻ phát hiện ung thư buồng trứng từ triệu chứng chướng bụng

Bệnh nhân 41 tuổi được chẩn đoán ung thư buồng trứng qua xét nghiệm và hình ảnh, nhấn mạnh tầm quan trọng của kiểm tra định kỳ để phát hiện sớm.

Mới đây, nữ bệnh nhân T.T.T.L. (41 tuổi, Hà Nội) đến Phòng khám Đa khoa Medlatec Tây Hồ khám với triệu chứng đầy hơi, chướng bụng.

Khai thác bệnh sử, khoảng 1 tháng gần đây, bệnh nhân thấy chướng bụng, không đau, không sốt, ăn uống bình thường, không gầy sụt cân… Bệnh nhân có chu kỳ kinh nguyệt đều. Tiền sử bản thân khỏe mạnh và gia đình không ghi nhận trường hợp mắc ung thư.

Nhật Bản thử nghiệm lâm sàng vắc xin ngừa virus Nipah

Nhật Bản phát triển vắc xin phòng virus Nipah, thử nghiệm giai đoạn 1 tại Bỉ và dự kiến mở rộng ở Bangladesh trong năm 2027 để phòng bệnh hiệu quả.

Theo báo Nhân Dân, Trung tâm Nghiên cứu Khoa học và Công nghệ tiên tiến của Đại học Tokyo (Nhật Bản) đã phát triển một loại vắc xin được kỳ vọng có hiệu quả ngăn ngừa bệnh do virus Nipah gây ra. Các thử nghiệm lâm sàng giai đoạn đầu sẽ được tiến hành tại Bỉ từ tháng 4 tới.

Nhóm nghiên cứu của Đại học Tokyo đã phát triển vắc xin bằng cách cấy một phần thông tin di truyền của virus Nipah vào vắc xin phòng sởi.

Đọc nhiều nhất

Tin mới

Hiểu lầm phổ biến về 'detox' sau Tết

Hiểu lầm phổ biến về 'detox' sau Tết

Thay vì các phương pháp “detox” nguy hiểm, hãy duy trì thói quen uống đủ nước, ăn rau quả, ngủ đủ giấc và vận động nhẹ nhàng để giữ gìn sức khỏe lâu dài.