Người phụ nữ trẻ phát hiện ung thư buồng trứng từ triệu chứng chướng bụng

Bệnh nhân 41 tuổi được chẩn đoán ung thư buồng trứng qua xét nghiệm và hình ảnh, nhấn mạnh tầm quan trọng của kiểm tra định kỳ để phát hiện sớm.

Mới đây, nữ bệnh nhân T.T.T.L. (41 tuổi, Hà Nội) đến Phòng khám Đa khoa Medlatec Tây Hồ khám với triệu chứng đầy hơi, chướng bụng.

Khai thác bệnh sử, khoảng 1 tháng gần đây, bệnh nhân thấy chướng bụng, không đau, không sốt, ăn uống bình thường, không gầy sụt cân… Bệnh nhân có chu kỳ kinh nguyệt đều. Tiền sử bản thân khỏe mạnh và gia đình không ghi nhận trường hợp mắc ung thư.

Tại phòng khám, bác sĩ thăm khám lâm sàng các cơ quan, bộ phận chưa phát hiện bất thường. Trước tình trạng chướng bụng kéo dài chưa rõ nguyên nhân, bác sĩ chỉ định thực hiện xét nghiệm và một số phương pháp chẩn đoán hình ảnh chuyên sâu.

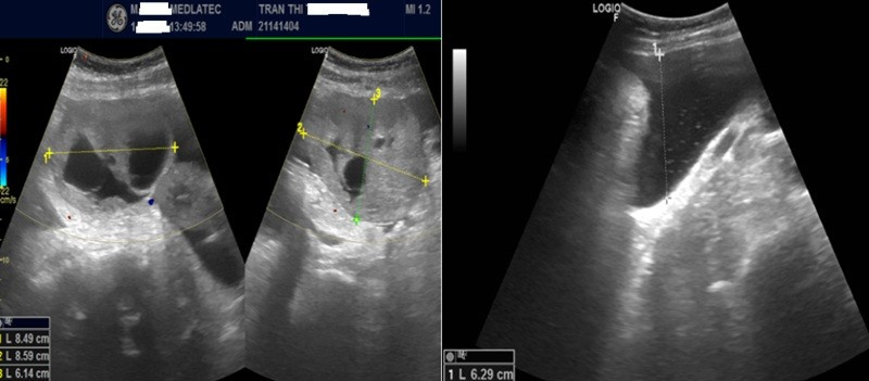
Kết quả, xét nghiệm dấu ấn ung thư thấy nồng độ CA 125 tăng cao ở mức 399 U/mL (giá trị bình thường 0–35) và HE4 là 469 pmol/L (bình thường <60,5). Siêu âm ghi nhận, hình ảnh khối hỗn hợp âm vùng tiểu khung, theo dõi u buồng trứng trái kèm dịch tự do ổ bụng.

Hình ảnh siêu âm ổ bụng của bệnh nhân/Ảnh Medlatec

Trên phim chụp cộng hưởng từ (MRI), phát hiện khối cạnh trái tử cung, nhiều dịch tự do ổ bụng, được phân loại O-RADS 5 – nhóm nguy cơ ác tính cao, đồng thời ghi nhận thêm khối vùng cổ tử cung.

Từ các kết quả đó, bác sĩ nghi ngờ bệnh nhân mắc u nang buồng trứng thể ác tính. Bệnh nhân được tư vấn chuyển bệnh viện chuyên về ung thư để thăm khám chuyên sâu hơn.

Theo hồi cứu, từ tư vấn của Medlatec, bệnh nhân đã đi khám và được chẩn đoán mắc ung thư buồng trứng trái. Sau đó, bệnh nhân được điều trị hóa chất và phẫu thuật, định hướng điều trị chuyên khoa tiếp theo.

U nang buồng trứng – phát hiện sớm để phòng ngừa ung thư

Theo ThS.BS Lê Quỳnh Sơn – Trung tâm Chẩn đoán hình ảnh Medlatec, u nang buồng trứng là tình trạng xuất hiện khối nang chứa dịch hoặc tổ chức đặc trong hoặc trên bề mặt buồng trứng, có thể gặp ở nhiều lứa tuổi, đặc biệt là phụ nữ trong độ tuổi sinh sản.

Về phân loại, u nang buồng trứng thường được chia thành hai nhóm chính gồm: u nang cơ năng và u nang thực thể. U nang cơ năng liên quan đến hoạt động nội tiết của buồng trứng, thường có kích thước nhỏ và có thể tự thoái triển sau vài chu kỳ kinh nguyệt. Trong khi đó, u nang thực thể có xu hướng tồn tại kéo dài, kích thước tăng dần theo thời gian và một số trường hợp có nguy cơ tiến triển ác tính, đặc biệt ở phụ nữ trên 40 tuổi.

U nang buồng trứng có nguy cơ tiến triển thành ung thư buồng trứng. Ảnh minh họa/nguồn Medlatec

Triệu chứng của u nang buồng trứng thường không đặc hiệu, phổ biến nhất là cảm giác đầy bụng, chướng bụng, đau âm ỉ vùng hạ vị hoặc rối loạn kinh nguyệt. Khi khối u phát triển lớn, người bệnh có thể xuất hiện các biểu hiện chèn ép như: tiểu khó, táo bón hoặc đau bụng dữ dội trong trường hợp xoắn hoặc vỡ u nang.

Phát hiện sớm u nang buồng trứng có ý nghĩa quan trọng trong việc ngăn ngừa nguy cơ tiến triển ác tính. Việc theo dõi sát các u nang tồn tại kéo dài hoặc có đặc điểm bất thường giúp bác sĩ can thiệp kịp thời, loại bỏ hoặc điều trị sớm các tổn thương nguy cơ cao trước khi phát triển thành ung thư buồng trứng.

Ung thư ruột thừa hiếm gặp được phát hiện trong ca phẫu thuật cấp cứu

Bệnh nhân trẻ tuổi thoát khỏi nguy hiểm nhờ phát hiện sớm ung thư ruột thừa trong quá trình phẫu thuật.

Ung thư ruột thừa là tình trạng các tế bào bên trong ruột thừa phát triển một cách bất thường không dưới sự khống chế của cơ thể. Các tế bào ác tính này có tính xâm lấn và lan sang các cơ quan khác trong cơ thể. Đây là một tình trạng u ác tính cực kỳ hiếm và thường không có triệu chứng trong giai đoạn đầu. Một số khối u ruột thừa là lành tính. Các khối u ác tính có thể xâm lấn và có thể lây lan sang các cơ quan khác.

Mới đây, Bệnh viện 19-8 (Bộ Công an) phát hiện ung thư ruột thừa hiếm gặp trong ca phẫu thuật viêm ruột thừa cấp, kịp thời chuyển hướng mổ, giúp bệnh nhân ổn định sức khỏe.

Phát hiện sớm ung thư tiêu hóa nhờ nội soi siêu âm

Nội soi siêu âm giúp phát hiện sớm ung thư tụy, dạ dày, đại trực tràng, nâng cao hiệu quả điều trị và giảm chi phí y tế dài hạn

Siêu âm qua nội soi là kỹ thuật được kết hợp giữa nội soi và siêu âm, trong đó đầu dò siêu âm được gắn ở đầu dây nội soi tiêu hóa. Đây được coi như một cuộc cách mạng trong lĩnh vực nội soi đường tiêu hóa, đem lại hiệu quả chẩn đoán chính xác, nhanh về các bệnh ung thư đường tiêu hóa, tình trạng tổn thương niêm mạc ống tiêu hóa; đặc biệt là phát hiện ung thư giai đoạn sớm khi mà khối u còn nằm trong lớp niêm mạc.

Nội soi siêu âm, 'chìa khoá' giúp phát hiện sớm ung thư đường tiêu hoá- Ảnh 1.

Chuyên gia Bệnh viện Bạch Mai chia sẻ tại hội thảo về bệnh đường tiêu hoá.

Biện pháp phòng ngừa ung thư vòm họng hiệu quả

Chăm sóc sức khỏe, duy trì chế độ ăn phù hợp, vệ sinh cá nhân và khám định kỳ giúp phát hiện sớm, phòng ngừa ung thư vòm họng.

Ung thư vòm họng là bệnh lý ác tính khá phổ biến hiện nay, đặc biệt là ở Trung Quốc, các nước Đông Nam Á, trong đó có Việt Nam. Bệnh do sự phát triển quá mức của các tế bào vùng vòm họng. Nguyên nhân dẫn đến sự phát triển này có thể là do nhiễm virus hoặc do thói quen ăn uống và sinh hoạt hàng ngày.

Hiện chưa có biện pháp nào có thể phòng ngừa hoàn toàn ung thư vòm họng, do đây là bệnh lý chịu ảnh hưởng bởi nhiều yếu tố như cơ địa, di truyền, virus và môi trường sống. Tuy nhiên, nguy cơ mắc bệnh vẫn có thể được giảm thiểu đáng kể nếu chủ động điều chỉnh lối sống hợp lý và hạn chế các yếu tố nguy cơ.

Đọc nhiều nhất

Tin mới