Cụ bà 77 tuổi nguy kịch vì thoát vị bịt

Khi xuất hiện các biểu hiện như đau bụng, nôn mửa, đặc biệt ở trẻ em và người cao tuổi, người bệnh nên đến viện sớm, tránh bỏ sót những bệnh lý nguy hiểm.

Bà Thoa (77 tuổi, Hà Nội) được đưa tới Bệnh viện Đa khoa Tâm Anh lúc 1h sáng khi các cơn đau bụng dữ dội xuất hiện dồn dập trong đêm. Bệnh nhân nôn liên tục, đau bụng quặn từng cơn với mức độ tăng dần. Cơn đau lan từ hố chậu trái xuống bẹn và đùi, khiến người bệnh mệt lả, kiệt sức, gần như không chịu nổi. Trước đó từng điều trị viêm ruột kéo dài tại cơ sở y tế địa phương nhưng không cải thiện.

Qua thăm khám, ThS.BS Đào Văn Minh, khoa Ngoại tổng hợp, Bệnh viện Đa khoa Tâm Anh phát hiện bà Thoa bị thoát vị bịt. Đây là một loại thoát vị hiếm gặp, bên cạnh đó bệnh không có triệu chứng đặc hiệu, rất có thể bị bỏ sót hoặc nhầm lẫn.

thoat-vi-hiem.jpg
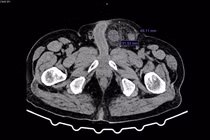
Hình ảnh thoát vị qua CT - Ảnh BVCC

Qua hình chụp CT, phát hiện quai ruột non chui qua lỗ bịt gây tắc ruột. Nếu chậm trễ, nguy cơ hoại tử ruột, thủng ruột và đe dọa tính mạng rất cao. Nhờ thăm khám kỹ lưỡng kết hợp chẩn đoán hình ảnh hiện đại, nguyên nhân nguy hiểm đã được phát hiện kịp thời, giúp người bệnh tránh biến chứng nặng.

Trước tình trạng của bà Thoa, ê-kíp nhanh chóng lựa chọn phẫu thuật nội soi cấp cứu. Hình ảnh CT cho thấy quai ruột chưa hoại tử, tạo điều kiện can thiệp kịp thời, tránh phải mổ mở và cắt ruột nhiều rủi ro.

Ca phẫu thuật được thực hiện trong 45 phút. Giải phóng thành công quai ruột bị kẹt mà không cần cắt nối ruột. Đặt lưới che kín lỗ bịt nhằm ngăn nguy cơ thoát vị tái phát. Can thiệp ít xâm lấn, giúp giảm đau và hạn chế biến chứng sau mổ

Sau ca mổ, bà Thoa phục hồi tốt, đồng thời bà được các bác sĩ chuyên khoa dinh dưỡng tại Bệnh viện Đa khoa Tâm Anh hướng dẫn chế độ ăn nhằm tăng cường sức khỏe và thể trạng của bà trước khi xuất viện.

thoat-vi-hiem-1.jpg
Ê- kíp phẫu thuật cho người bệnh - Ảnh BVCC

Sau 4 giờ phẫu thuật, người bệnh đã trung tiện trở lại, dấu hiệu cho thấy ruột hoạt động phục hồi. Ngày hôm sau, bà Thoa có thể tự đi lại nhẹ nhàng và bắt đầu ăn uống trở lại

Nhu động ruột phục hồi ổn định, không ghi nhận biến chứng sau mổ. Sau 5 ngày theo dõi và chăm sóc, người bệnh đủ điều kiện xuất viện trong tình trạng sức khỏe tốt

BS Minh cảnh báo, thoát vị bịt không thể tự khỏi và là một trong những bệnh lý ngoại khoa nguy hiểm nhất nếu phát hiện muộn.

Do triệu chứng không điển hình, bệnh rất dễ bị bỏ sót, đặc biệt ở người cao tuổi, thể trạng gầy nhỏ. Khi ruột đã bị nghẹt, nguy cơ hoại tử và biến chứng nặng tăng rất nhanh.

Là dạng thoát vị cực hiếm, chỉ chiếm khoảng 0,073% tổng số ca thoát vị. Bệnh thường gặp ở phụ nữ châu Á lớn tuổi, mô mỡ vùng chậu tiêu biến.

Bệnh khó phát hiện khi khám lâm sàng, dễ chẩn đoán nhầm nếu không chụp CT. Bệnh có tỷ lệ tử vong cao nhất trong các loại thoát vị, lên tới 40% nếu xử trí muộn.

thoat-vi-hiem-2.jpg
Thăm hỏi bệnh nhân sau phẫu thuật - Ảnh BVCC

Khi xuất hiện các biểu hiện như đau bụng, nôn mửa, đặc biệt ở trẻ em và người cao tuổi, người bệnh nên sớm đến các cơ sở y tế chuyên khoa uy tín để được thăm khám, chẩn đoán và xử trí kịp thời, tránh bỏ sót những bệnh lý nguy hiểm.

Phẫu thuật nội soi đặt lưới giúp bệnh nhân thoát vị bẹn nhanh hồi phục

Với người cao tuổi, việc lựa chọn phương pháp phẫu thuật cần được cân nhắc kỹ lưỡng để đảm bảo an toàn, hạn chế đau đớn và thúc đẩy quá trình hồi phục nhanh.

Trong dòng chảy phát triển không ngừng của y học hiện đại, việc ứng dụng các kỹ thuật ít xâm lấn, giúp mang lại hiệu quả điều trị tối ưu và chất lượng cuộc sống cao cho người bệnh luôn là ưu tiên hàng đầu.

Tại Trung tâm Y tế Khu vực Yên Lập, kỹ thuật Phẫu thuật Nội soi đặt lưới nhân tạo trong điều trị thoát vị bẹn đã trở thành một dấu ấn chuyên môn nổi bật, minh chứng cho sự làm chủ công nghệ và tay nghề đỉnh cao của đội ngũ y bác sĩ, những người đã dày dặn kinh nghiệm xử lý nhiều trường hợp thoát vị bẹn phức tạp, đa dạng về thể loại và độ tuổi.

Chủ quan với khối thoát vị bẹn người đàn ông bị hoại tử đại tràng

Thoát vị bẹn gặp ở mọi lứa tuổi cần đề phòng biến chứng nghẹt hoại tử ruột, hoại tử tinh hoàn, gây tắc ruột, đau dữ dội và có nguy cơ đe dọa tính mạng.

Thoát vị bẹn nghẹt gây hoại tử ruột, viêm phúc mạc

Vừa qua ngày 15/10/2025, các bác sĩ khoa Ngoại, Bệnh viện Đa khoa tỉnh Quảng Ninh phẫu thuật cấp cứu thành công cho một trường hợp nam bệnh nhân bị thoát vị bẹn trái nghẹt đại tràng sigma gây hoại tử, viêm phúc mạc.

Phẫu thuật kép giúp người bệnh thoát 2 bệnh lý lớn trong 1 ca mổ

Bệnh nhân được truyền 2 đơn vị máu và 2 đơn vị huyết tương để bảo đảm an toàn trong suốt cuộc phẫu thuật dài, hỗ trợ hồi phục tối ưu.

2 kíp mổ song song trên 1 người bệnh

Ngày 28/7, Bệnh viện Đa khoa khu vực Cẩm Phả (Quảng Ninh) cho biết, bệnh viện đã phối hợp liên khoa thực hiện thành công một ca phẫu thuật đặc biệt - xử lý hai bệnh lý phức tạp trên cùng một người bệnh trong cùng một ca mổ.

Đọc nhiều nhất

Tin mới