Bé trai bị đa chấn thương nghiêm trọng do nghịch súng hơi

Do sự bất cẩn của người lớn, cháu H.L (6 tuổi, Quảng Trị) đã lấy súng hơi ra nghịch, dẫn đến tai nạn đáng tiếc.

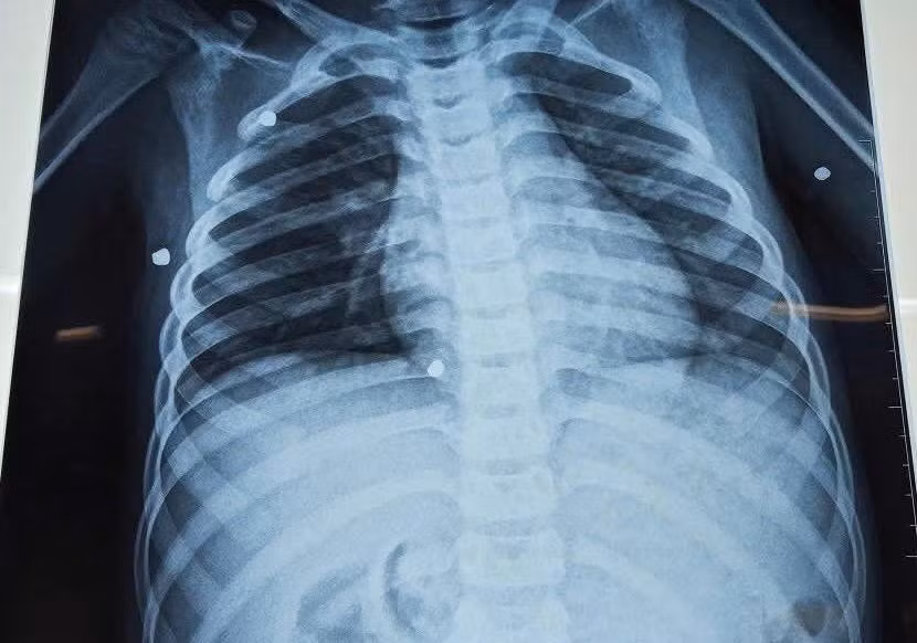
Ngày 24/1, thông tin từ Bệnh viện Đa khoa tỉnh Quảng Trị cho biết, đơn vị tiếp nhận một bệnh nhi bị đa chấn thương nghiêm trọng do nghịch súng hơi.

Trước đó, ngày 22/1, cháu H.L (6 tuổi, trú tại thôn Long Thành, xã Lao Bảo) sang thăm người thân tại huyện Sê Pôn (Lào). Do sự bất cẩn của người lớn trong việc quản lý vũ khí tự chế, cháu H.L đã nghịch súng hơi dẫn đến tai nạn đáng tiếc.

07809aad-ca0d-456e-9489-e6a2a3395536.jpg
Kết quả chụp X-quang cho thấy có nhiều dị vật cản quang nằm rải rác ở nhiều vị trí trong cơ thể. Ảnh: Trần Tuyền

Ngay sau khi sự cố xảy ra, người nhà đã đưa cháu H.L đến Bệnh viện khu vực Hướng Hóa cấp cứu trong tình trạng tinh thần hoảng loạn.

Qua thăm khám, các bác sĩ phát hiện nhiều vết thương do hỏa khí tại vùng ngực và hai tay. Kết quả chụp X-quang cho thấy có nhiều dị vật cản quang nằm rải rác ở nhiều vị trí trong cơ thể.

Sau khi sơ cứu, nhận thấy tính chất phức tạp của các dị vật, bệnh viện đã làm thủ tục chuyển bệnh nhân lên Bệnh viện Đa khoa tỉnh Quảng Trị để tiếp tục điều trị chuyên sâu.

Chủ quan với triệu chứng nhẹ, lỡ 'thời gian vàng' cấp cứu nhồi máu cơ tim

Trên thực tế, rất nhiều người bệnh đã bỏ lỡ “thời gian vàng” để cấp cứu nhồi máu cơ tim chỉ vì nhầm lẫn triệu chứng hoặc xử trí sai cách tại nhà.

Tim hoại tử vì chủ quan với đau nhẹ do đầy bụng

“Tôi nghĩ chỉ là đau nhẹ do đầy bụng, nên cố nghỉ thêm chút xem sao. Đến khi tức ngực lan lên cổ, vã mồ hôi và không ngồi dậy nổi, tôi mới vội vào viện”, ông Chiến (57 tuổi, Hà Nội) kể lại.

Lấy thuốc người lớn uống, 3 trẻ ở Quảng Trị nhập viện cấp cứu

Ba bé trai được người nhà đưa vào bệnh viện cấp cứu trong tình trạng lừ đừ, giảm tri giác, tăng trương lực cơ, co giật... do ngộ độc thuốc an thần kinh.

Ngày 19/1, thông tin từ Bệnh viện Đa khoa tỉnh Quảng Trị cho biết, đơn vị vừa tiếp nhận, cứu sống 3 bệnh nhi trong tình trạng giảm tri giác, co giật, nghi do ngộ độc thuốc an thần kinh.

Trước đó, các bệnh nhi, gồm: H.T.T. (7 tuổi), H.V.N. (2 tuổi) và H.V.T. (3 tuổi, cùng trú xã Hướng Phùng) được đưa vào viện trong tình trạng lừ đừ, giảm tri giác, tăng trương lực cơ, xuất hiện co giật. Các trẻ được xử trí cấp cứu, thở oxy, cắt cơn co giật, truyền dịch và chuyển Khoa Nhi theo dõi, điều trị chuyên sâu.

Cấp cứu thành công một trường hợp băng huyết sau sinh nguy kịch

Bệnh viện Vũng Tàu cứu sống sản phụ bị băng huyết sau sinh, nhờ nguồn máu hiến tại chỗ từ đội ngũ y bác sĩ trong ca cấp cứu kịp thời.

Bệnh viện Đa khoa Vũng Tàu (TP HCM) vừa cứu sống một sản phụ bị băng huyết sau sinh kèm rối loạn đông máu nặng, có nguy cơ tử vong rất cao. Điều đáng nói là những đơn vị máu “nóng” được chính đội ngũ nhân viên y tế của bệnh viện hiến “tại chỗ” là yếu tố quyết định giúp ca cấp cứu thành công.

Bệnh viện Đa khoa Vũng Tàu (TP HCM) vừa cứu sống một sản phụ bị băng huyết sau sinh. Ảnh BV

Bệnh viện Đa khoa Vũng Tàu (TP HCM) vừa cứu sống một sản phụ bị băng huyết sau sinh. Ảnh BV

Đọc nhiều nhất

Tin mới

Đi khám sức khỏe phát hiện ung thư amidan

Đi khám sức khỏe phát hiện ung thư amidan

Người dân cần chủ động thăm khám sức khỏe định kỳ, đặc biệt khi có dấu hiệu bất thường vùng tai mũi họng, đau họng kéo dài, nuốt vướng, khàn tiếng, nổi hạch cổ…