10 giờ phẫu thuật Hybrid, cứu sống ca vỡ phình động mạch chủ phức tạp

Bệnh nhân vỡ phình động mạch chủ kích thước lớn được cứu sống ngoạn mục nhờ kỹ thuật phẫu thuật tiên tiến, sau 10 giờ căng thẳng.

Với cơ hội sống sót mong manh, nam bệnh nhân 44 tuổi bị vỡ phình động mạch chủ ngực – bụng đã được các bác sĩ Bệnh viện Đa khoa Quốc tế S.I.S Cần Thơ cứu sống ngoạn mục sau cuộc đại phẫu Hybrid kéo dài 10 giờ.

“Quả bom trong bụng" chực chờ nổ tung

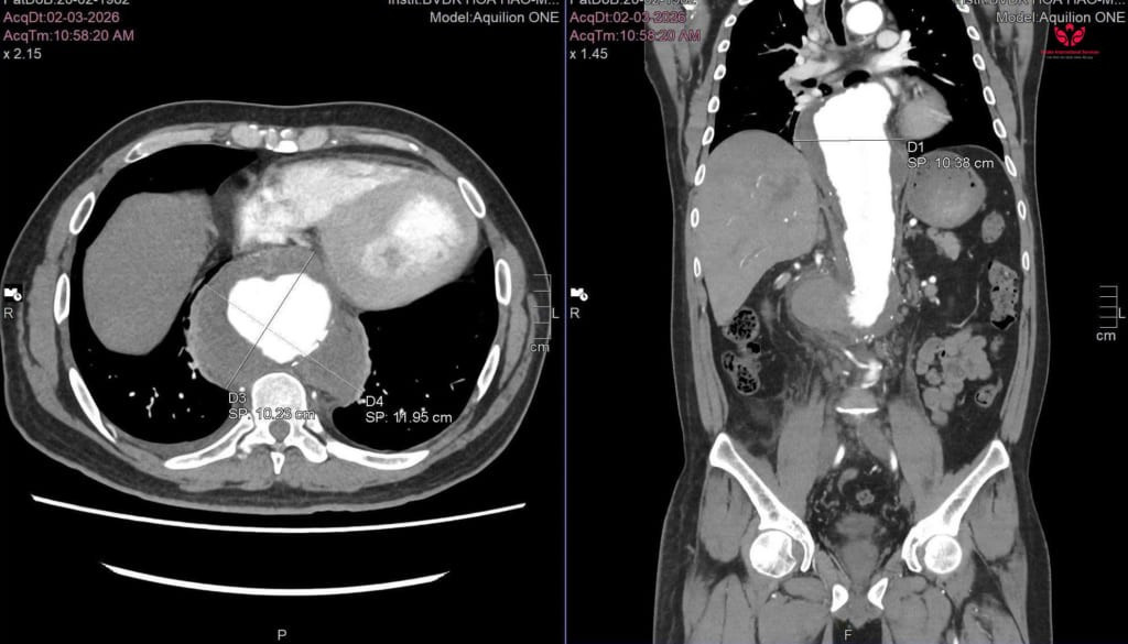
Anh L.Q.L (44 tuổi, ngụ tại Cần Thơ) nhập viện tại S.I.S Cần Thơ trong tình trạng đau bụng dữ dội. Qua kết quả khám và chụp CTA của bệnh viện tuyến trước, cho thấy anh L. đang trong tình trạng cấp cứu đe dọa tính mạng, phình động mạch chủ ngực – bụng đã vỡ kèm khối máu tụ lớn sau phúc mạc, đường kính khổng lồ lên đến 11cm.

phinh-dong.jpg
Hình ảnh CT cho thấy kích thước khối máu tụ - Ảnh BVCC

ThS.BS Đặng Văn Sô Đa, khoa Ngoại tổng hợp, Bệnh viện S.I.S Cần Thơ cho biết: "Đối với những trường hợp phình động mạch đã vỡ hoàn toàn thì tỷ lệ tử vong rất cao, có thể lên đến trên 90%, chỉ có một vài trường hợp được may mắn cứu sống.

Đặc biệt ở trường hợp này ngoài bệnh lý phình động mạch chủ, bệnh nhân còn có bệnh nền là tăng huyết áp kéo dài khoảng hơn 5 năm, hai lần đột quỵ vào năm 2019 và 2020. Đây là một trường hợp rất nặng, may mắn bệnh nhân nhập viện sớm với tình trạng huyết áp còn ổn định, còn cho phép chúng tôi can thiệp cấp cứu ngay với một hy vọng mong manh".

Cuộc đại phẫu “Hybrid” trước lằn ranh sinh tử

Qua kiểm tra cận lâm sàng, ê-kíp bác sĩ nhận thấy tổn thương của anh L. rất phức tạp. Túi phình động mạch chủ ngực – bụng đã vỡ nhưng khối máu còn khu trú, kích thước lớn và liên quan đến nhiều nhánh mạch quan trọng nuôi gan, thận, ruột. Nếu chỉ mổ mở hoàn toàn thì nguy cơ mất máu và biến chứng rất cao. Trong khi đó, nếu chỉ đặt stent thì không thể xử lý triệt để do các nhánh mạch nuôi tạng bị ảnh hưởng.

Trước đây, bệnh nhân chỉ có thể lựa chọn phẫu thuật hoặc can thiệp độc lập, nhưng cả hai phương pháp này đều tiềm ẩn rủi ro cao. Với sự phát triển của y học hiện đại, các bác sĩ quyết định thực hiện phẫu thuật Hybrid: chuyển vị cắm lại các nhánh động mạch tạng và động mạch thận, sau đó đặt stent graft động mạch chủ ngực để loại trừ túi phình.

phinh-dong-1.jpg
Ê - kíp phẫu thuật cho bệnh nhân - Ảnh BVCC

Sau hơn 10 giờ, các bác sĩ đã hoàn tất bước điều trị phẫu thuật (giai đoạn phẫu thuật chuyển vị mạch). Anh L. được tiến hành đặt stent graft từ đoạn động mạch chủ ở ngực xuống đến chỗ chia động mạch chậu.

Khi chụp kiểm tra sau phẫu thuật, thấy các nhánh nuôi nội tạng và động mạch thận lưu thông tốt, khối phình động mạch chủ ngực – bụng đã được loại bỏ hoàn toàn, không có biến chứng rò rỉ máu.

Một tuần sau điều trị thì anh L. gần như hồi phục tất cả chức năng của thận, gan và huyết động ổn định, chức năng của các cơ quan gần như về bình thường.

phinh-dong-2.jpg
Bệnh nhân được cứu sống ngoạn mục - Ảnh BVCC

Cảnh báo nguy cơ từ việc gián đoạn điều trị tăng huyết áp

Theo bác sĩ Sô Đa, đây là một trường hợp đặc biệt vì anh L. còn khá trẻ tuổi, anh đã được chẩn đoán tăng huyết áp khoảng 5 năm trước và từng bị đột quỵ. Trong dịp Tết Nguyên Đán, anh L. đã tự động bỏ thuốc 3-4 ngày, khiến huyết áp tăng cao và xuất hiện đau bụng. Khi đến bệnh viện, thì các bác sĩ phát hiện túi phình động mạch đã vỡ.

Tăng huyết áp, xơ vữa mạch, hút thuốc lá quá nhiều, mỡ máu cao, chấn thương vùng bụng… là những yếu tố nguy cơ gây phình động mạch chủ bụng. Qua trường hợp này cho thấy, việc kiểm soát nguy cơ, điều trị đều đặn ở những người mắc tăng huyết áp, bệnh nền là rất quan trọng.

Bác sĩ cho biết, phình động mạch chủ bụng kích thước nhỏ (2-3cm) thường không có triệu chứng lâm sàng, khi túi phình lớn dần lên sẽ gây đau bụng, nhất là khi gắng sức, và điển hình hơn khi túi phình lớn bệnh nhân có thể sờ được “khối phồng đập” vùng bụng.

Phương pháp chẩn đoán sớm phình mạch chủ bụng khá đơn giản là siêu âm mạch máu ổ bụng, chụp CT mạch máu khi cần đánh giá kỹ để can thiệp. Nếu chẳng may có túi phình động mạch chủ bụng bệnh nhân sẽ được điều trị và theo dõi tùy mức độ phình.

Nếu đường kính túi phình từ 4-5cm trở lên có kèm dấu hiệu dọa vỡ, đau bụng, cần điều trị ngay tránh để vỡ chảy máu ồ ạt vào ổ bụng gây tử vong.

>>> Mời quý độc giả theo dõi video: Bác sĩ cứu người đàn ông ngừng tim trên sân bóng chuyền

Đau bụng lúc nửa đêm, người đàn ông vỡ phình động mạch chủ bụng nguy kịch

Đây là một trường hợp đặc biệt, có nguy cơ tử vong rất cao, đòi hỏi được cấp cứu tối khẩn bởi các bác sĩ có kinh nghiệm chuyên sâu.

Xác định người bệnh bị vỡ phình động mạch chủ bụng kèm khối máu tụ lớn trong ổ bụng, đe dọa trực tiếp đến tính mạng, các bác sĩ tại Bệnh viện Đa khoa tỉnh Phú Thọ đã ngay lập tức kích hoạt hệ thống báo động đỏ, huy động tối đa các chuyên khoa phối hợp cấp cứu khẩn cấp người bệnh.

Kích hoạt báo động đỏ, chạy đua với thời gian cấp cứu đa chuyên khoa

Động mạch chủ bụng phình to gấp ba bình thường sau cơn đau bụng

Đặt stent graft động mạch chủ bụng - giải pháp tối ưu cho người cao tuổi, nhiều bệnh nền khi bị phình động mạch chủ bụng kích thước lớn.

Ông Son (66 tuổi) phát hiện bị phình động mạch chủ bụng kích thước lớn, nguy cơ dọa vỡ cao sau những cơn đau quặn bụng kéo dài, người bệnh sau đó đã được can thiệp đặt stent graft thành công tại Bệnh viện Đa khoa (BVĐK) Hồng Ngọc.

Động mạch chủ bụng phình to gấp ba bình thường

Đọc nhiều nhất

Tin mới