Ung thư đồng phát ở dạ dày - đại tràng, dấu hiệu ít ngờ tới

Cơn đau bụng thoáng qua có thể là dấu hiệu của ung thư hiếm gặp ở hai cơ quan tiêu hóa quan trọng, cần kiểm tra định kỳ để phát hiện sớm.

Chỉ là những cơn đau bụng âm ỉ, thoáng qua, người đàn ông 68 tuổi ở phường Uông Bí (Quảng Ninh) không ngờ đó lại là dấu hiệu của một tình trạng cực kỳ hiếm gặp, nguy hiểm: ung thư đồng thời ở hai cơ quan tiêu hóa quan trọng – dạ dày và đại tràng.

Qua thăm khám và các xét nghiệm chuyên sâu, các bác sĩ phát hiện người bệnh mắc ung thư đồng phát, một hiện tượng chỉ gặp ở 0,7–3,5% người bệnh ung thư dạ dày.

an-minh.jpg
Kỹ thuật viên thao tác trên máy nhuộm hóa mô miễn dịch tự động để phát hiện nguồn gốc khối u và đột biến gen sửa chữa ADN - Ảnh BVCC

Theo BSCKI. Phạm Thị Hoa, Khoa Giải phẫu bệnh, trong số các ung thư đồng phát, ung thư đại trực tràng là loại thường gặp nhất. Ở góc độ sinh học phân tử, ung thư đồng thời nhiều cơ quan có thể liên quan đến bất ổn gen và các đột biến di truyền tích lũy theo thời gian.

Ca bệnh này là minh chứng rõ nét cho sự âm thầm, khó lường của ung thư đường tiêu hóa – khi bệnh tiến triển mà người bệnh gần như không hay biết.

Sau phẫu thuật, kết quả giải phẫu bệnh cho thấy ung thư biểu mô tuyến tại cả hai vị trí, bệnh đã bước sang giai đoạn muộn. Lúc này, tổn thương lan rộng, việc điều trị triệt căn trở nên khó khăn hơn rất nhiều.

ung-thu-an.jpg
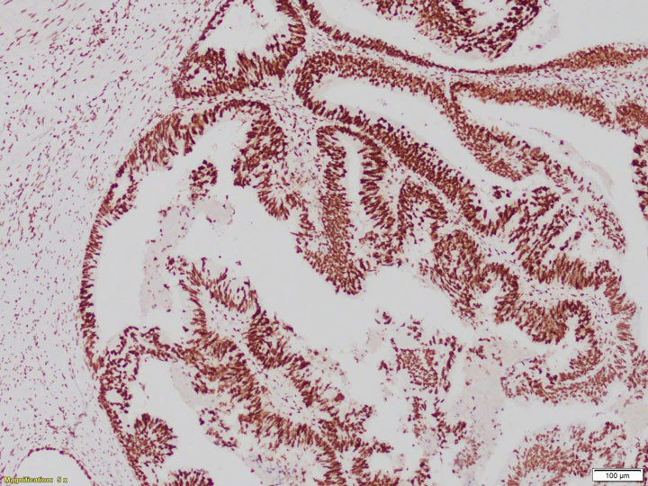
Hóa mô miễn dịch phát hiện nguồn gốc khối u - Ảnh BVCC

Điều đáng lo ngại là ung thư tiêu hóa giai đoạn sớm thường không gây đau, không có biểu hiện rõ ràng.

Người bệnh vẫn sinh hoạt bình thường cho đến khi xuất hiện các dấu hiệu như đau bụng kéo dài, sụt cân, rối loạn tiêu hóa… thì việc điều trị bệnh đã không còn ở “thời điểm vàng”.

Ca bệnh hiếm gặp này không chỉ là một trường hợp lâm sàng đặc biệt, mà còn là lời cảnh tỉnh mạnh mẽ cho tất cả chúng ta.

Chỉ một lần nội soi dạ dày – đại tràng định kỳ có thể giúp phát hiện ung thư khi còn rất sớm.

"Phát hiện sớm – điều trị sớm chính là chìa khóa để nâng cao cơ hội sống và chất lượng cuộc sống cho người bệnh. Đừng chờ đến khi có triệu chứng. Hãy chủ động tầm soát ngay hôm nay”, BSCKI. Phạm Thị Hoa khuyên.

>>> Mời quý độc giả xem video: Sau 40 tuổi, cơ thể dễ hình thành cục máu đông nếu chế độ ăn thiếu thực phẩm hỗ trợ tuần hoàn.

Mụn hạt cơm tưởng lành tính nhưng có thể gây nguy hiểm

Chủ quan với mụn hạt cơm có thể dẫn đến biến chứng nguy hiểm, dễ lây lan, cần nhận biết và điều trị đúng cách để phòng tránh.

BS Vũ Thị Dung, Khoa Da liễu và Bỏng, Bệnh viện Bạch Mai cho biết, người dân thường chủ quan hạt cơm là tổn thương nhỏ lành tính nên dễ bỏ qua mà không biết nó có thể gây nguy hiểm đến sức khỏe.

Dễ lây, có nhiều tuýp gây ung thư

8 chuyên khoa hợp lực điều trị ca bệnh ung thư hốc mũi nặng

Kết hợp 8 chuyên khoa, ca mổ kéo dài 10 giờ đã cứu sống bệnh nhân ung thư hốc mũi tái phát giai đoạn nặng, mở ra hướng điều trị mới.

BS CK2 Hoàng Bá Dũng, Trưởng khoa Tai Mũi Họng, Bệnh viện Chợ Rẫy chia sẻ về việc điều trị thành công cho bệnh nhân bị ung thư hốc mũi tái phát giai đoạn muộn, xâm lấn đồng thời ổ mắt, xương hàm trên trái, khẩu cái và não.

Đau đớn dữ dội vì u tái phát xâm lấn xương... ăn sâu vào não

Đọc nhiều nhất

Tin mới