Sau mổ bóc u nang, người phụ nữ ngừng hô hấp, tuần hoàn

Hành trình cứu sống người bệnh ngừng tim do huyết khối gây bít tắc hoàn toàn 2 bên động mạch phổi được thực hiện khẩn trương, giúp bệnh nhân thoát cửa tử.

Tình huống nguy kịch cần phối hợp liên bệnh viện

Trong giai đoạn hồi sức sau phẫu thuật bóc nang lạc nội mạc buồng trứng và bóc nhân xơ tử cung tại Bệnh viện chuyên khoa Sản, chị V.N.H, 45 tuổi, bất ngờ diễn tiến ngưng hô hấp – tuần hoàn.

Ngay lập tức, hồi sinh tim phổi (CPR) được triển khai, người bệnh có dấu hiệu phục hồi tuần hoàn tự nhiên, nhưng mong manh như ngọn đèn trước gió. Huyết áp luôn trong tình trạng tụt sâu, đe dọa một lần ngưng tim nữa – lần này có thể là mãi mãi.

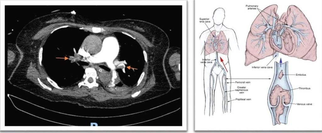
Các nguyên nhân ngưng tim được khảo sát khẩn cấp, kết quả CT-scan ngực người bệnh bị ngừng tuần hoàn hô hấp do thuyên tắc phổi cấp nguy cơ cao, mà nguyên nhân là do các cục huyết khối từ hệ tĩnh mạch sâu ở chân trôi lên gây bít tắc hoàn toàn 2 bên động mạch phổi, một bệnh lý ít gặp nhưng cực kỳ nguy hiểm có thể dẫn tới tử vong ngay lập tức nếu không được xử trí kịp thời.

Siêu âm mạch máu ghi nhận có huyết khối ở tĩnh mạch sâu chân trái, là căn nguyên gây ra tình trạng này.

Một cuộc hội chẩn khẩn cấp liên viện ngay trong đêm giữa Bệnh viện chuyên khoa Sản và Bệnh viện Nhân dân 115 với sự tham gia của các chuyên gia sản phụ khoa và Hồi sức cấp cứu.

cr-1.jpg
Kết quả CT-scan khẳng định thuyên tắc phổi cấp, do huyết khối từ tĩnh mạch sâu chân (T) di chuyển lên - Ảnh BVCC

Những quyết định tiến thoái lưỡng nan

Thông thường cục máu đông gây bít tắc hoàn toàn ở động mạch phổi đòi hỏi cần dùng thuốc tiêu sợi huyết khẩn cấp, nhưng lại không thể dùng được trong tình huống này vì người bệnh sẽ bị chảy máu nặng do vừa trải qua cuộc mổ lớn. Nếu không làm gì thì người bệnh chắc chắn sẽ ngưng tim tái diễn và tử vong.

Trước mắt cần tạm giữ tính mạng người bệnh trong thời gian tìm ra giải pháp triệt để và tim phổi nhân tạo (V-A ECMO) là biện pháp được nghĩ tới để đạt mục tiêu này. Ngay trong đêm, Bệnh viện Nhân Dân 115 đã hỗ trợ Bệnh viện chuyên khoa Sản tiếp nhận người bệnh về để triển khai kỹ thuật hồi sức chuyên sâu này.

Với sự chuyên nghiệp và tinh thần nỗ lực tới cùng, đội phản ứng nhanh Thuyên tắc phổi của Bệnh viện Nhân dân 115 đã nhanh chóng tiến hành kỹ thuật V-A ECMO tạo tuần hoàn nhân tạo, tạm thời giữ lại được tính mạng của người bệnh.

ecmo2-716ea427cfdb43d8adb00d53d22eaad8-1024x1024.jpg
Hình 2. Đội ECMO đang thực hiện kỹ thuật V-A ECMO cho người bệnh

Ngay sau khi tình trạng huyết động của người bệnh tạm ổn định với V-A ECMO, các chuyên gia của bệnh viện và Bệnh viện chuyên khoa Sản cùng hội chẩn liên viện để bàn về bước tiếp theo trong công tác giải quyết triệt để cục huyết khối đang tắc nghẽn ở động mạch phổi, cũng như cục huyết khối lớn ở tĩnh mạch đùi và khoeo chân trái đang chực chờ tiếp tục chạy lên động mạch phổi và các vấn đề liên quan đến hậu phẫu phụ khoa.

Dưới sự thống nhất của các chuyên gia, thuốc chống huyết khối vẫn phải tiếp tục trì hoãn do máu từ vết thương vẫn đang rỉ rả liên tục và xét nghiệm công thức máu cho thấy số lượng hồng cầu giảm nghiêm trọng, phương án duy nhất hiện tại đó là can thiệp mạch máu để hút lấy huyết khối trực tiếp từ động mạch phổi, đồng thời kết hợp đặt lưới lọc ở tĩnh mạch chủ dưới ngăn ngừa cục huyết khối từ chân di chuyển lên phổi gây thuyên tắc phổi tái diễn.

cho-ray-3.jpg
Hình 3: BS.CKII. Phạm Đức Đạt thực hiện thành công kỹ thuật hút huyết khối ĐM phổi và đặt lưới lọc ở tĩnh mạch chủ dưới - Ảnh BVCC

Dù trong tình huống rất khó khăn, nhưng BS.CKII. Phạm Đức Đạt, Trưởng khoa Tim mạch can thiệp BVND 115 đã thực hiện thành công kỹ thuật hút huyết khối và đặt thêm lưới lọc ngăn chặn huyết khối ở vị trí tĩnh mạch chủ dưới, hoàn thành nhiệm vụ trong việc giải quyết tạm thời nguy cơ gây sốc tắc nghẽn từ cục máu đông tại động mạch phổi và ngăn chặn các cục máu đông từ hệ tĩnh mạch sâu chân trái tiếp tục đi lên động mạch phổi.

Những ngày sau đó, dưới sự chỉ đạo của Giám đốc bệnh viện thông qua nhiều cuộc hội chẩn cấp bệnh viện, việc điều trị tích cực cùng với sự theo dõi sát sao người bệnh của đội ngũ ECMO tại khoa Hồi sức tích cực – Chống độc mà sự sống của người bệnh đã dần trở lại.

Từng dấu hiệu hồi phục – từ việc ngừng các thuốc vận mạch, cai và rút ECMO thành công đến cai máy thở và rút nội khí quản – là từng nấc thang sinh mệnh mà cả tập thể khoa Hồi sức tích cực – Chống độc đã nâng đỡ người bệnh bằng cả tâm huyết và chuyên môn.

cho-ray-4.jpg
Đội ECMO và người bệnh chuẩn bị xuất viện - Ảnh BVCC

Sau 10 ngày điều trị, người bệnh đã ở trạng thái gần như ổn định về tuần hoàn và hô hấp, ý thức cũng cải thiện dần sau di chứng ngừng tim kéo dài.

Ca cứu sống đặc biệt này không chỉ khẳng định giá trị nhân văn sâu sắc, mà còn thể hiện năng lực phối hợp chuyên môn liên viện giữa Bệnh viện nhân dân 115 và các bệnh viện chuyên khoa khác trên địa bàn thành phố, khả năng ứng dụng kỹ thuật cao và phản ứng nhanh trong những tình huống y khoa nguy kịch.

ThS.BS Nguyễn Hữu Tín – BS.CKII Cao Hoài Tuấn Anh (Khoa Hồi sức tích cực & Chống độc BVND115)

Đột ngột ngất xỉu khi đang ăn cơm do tắc động mạch cảnh

Nhồi máu não do tắc động mạch lớn là một trong những can thiệp cấp cứu mạch máu nguy hiểm nhưng nhiều người chưa biết.

Đang ăn cơm đột quỵ não cấp

Ngày 27/6, Bệnh viện Đa khoa tỉnh Bắc Giang cho biết, các bác sĩ bệnh viện đã can thiệp thành công, cứu sống bệnh nhân nam 58 tuổi bị đột quỵ não cấp do tắc hoàn toàn động mạch cảnh trong, một tình trạng nguy kịch có nguy cơ tử vong hoặc để lại di chứng nặng nề nếu không được xử trí kịp thời

Tưởng đau bụng thường không ngờ ruột hoại tử do nhồi máu

Hoại tử ruột do nhồi máu mạc treo là tình trạng cấp cứu ngoại khoa. Bệnh thường diễn tiến đột ngột, không có dấu hiệu báo trước, dễ khiến người bệnh chủ quan.

Ruột hoại tử vì chủ quan đau bụng

Ngày 16/6, Bệnh viện Đa khoa Xuyên Á cho biết, các bác sĩ Khoa Ngoại Tổng Quát vừa tiếp nhận và phẫu thuật khẩn cấp cứu sống một nữ bệnh nhân 53 tuổi ở Tây Ninh bị hoại tử ruột non do nhồi máu động mạch mạc treo.

Người bệnh 68 tuổi suýt phải cắt chân hoại tử do tắc mạch

Việc phát hiện và điều trị sớm sẽ giúp cải thiện tuần hoàn chi dưới, giảm nguy cơ mất chức năng chi và hạn chế tối đa các biến chứng nguy hiểm cho người bệnh.

Các bác sĩ Đơn nguyên Phẫu thuật Tim mạch - Lồng ngực (khoa Ngoại tổng hợp) - Bệnh viện Đa khoa tỉnh Vĩnh Phúc vừa thực hiện thành công ca phẫu thuật bắc cầu động mạch đùi phải – trái bằng đoạn mạch nhân tạo cho người bệnh N.V.D (68 tuổi, trú tại Tam Dương, Vĩnh Phúc).

Đây là một trong những phương pháp điều trị ngoại khoa quan trọng giúp phục hồi lưu thông máu cho người mắc bệnh động mạch chi dưới mạn tính – tình trạng gây ra đau, hoại tử và đe dọa khả năng bảo tồn chi nếu không được can thiệp kịp thời.

Đọc nhiều nhất

Đi khám sức khỏe phát hiện ung thư amidan

Đi khám sức khỏe phát hiện ung thư amidan

Người dân cần chủ động thăm khám sức khỏe định kỳ, đặc biệt khi có dấu hiệu bất thường vùng tai mũi họng, đau họng kéo dài, nuốt vướng, khàn tiếng, nổi hạch cổ…

Tin mới

Đi khám sức khỏe phát hiện ung thư amidan

Đi khám sức khỏe phát hiện ung thư amidan

Người dân cần chủ động thăm khám sức khỏe định kỳ, đặc biệt khi có dấu hiệu bất thường vùng tai mũi họng, đau họng kéo dài, nuốt vướng, khàn tiếng, nổi hạch cổ…