Tụ máu dưới màng cứng, chèn ép não nặng sau cơn động kinh

Nếu trong cơn động kinh có ngã, va đập đầu, tuyệt đối không chủ quan vì tụ máu não có thể xuất hiện muộn sau nhiều tuần.

Khoa Khám bệnh và Điều trị ngoại trú, Bệnh viện Bệnh Nhiệt đới Trung ương, các bác sĩ vừa kịp thời phát hiện và can thiệp một trường hợp bị tụ máu mạn tính dưới màng cứng gây chèn ép não nặng.

Đáng chú ý, người bệnh đến khám với những biểu hiện ban đầu rất kín đáo, dễ bị bỏ sót nếu không được khai thác bệnh sử kỹ lưỡng, thăm khám thần kinh đầy đủ.

Đi xét nghiệm sán não phát hiện máu tụ chèn ép não sau động kinh

Theo ThS.BSCKII Doãn Thị Huyền, khi bệnh nhân P.V.D. (50 tuổi ở Bắc Ninh) được người nhà đưa đến khám, gia đình chủ động đề nghị bác sĩ chỉ thực hiện xét nghiệm máu tìm “sán não”.

Thông tin ban đầu được cung cấp khá rời rạc, chỉ cho biết người bệnh từng có một cơn “lên cơn” cách đây khoảng một tháng và gần đây xuất hiện thêm hai cơn liên tiếp trong cùng một ngày, vào buổi sáng và buổi chiều.

Qua khai thác bệnh sử chi tiết, các cơn được mô tả có đặc điểm mất ý thức đột ngột, kèm co giật tay chân trong thời gian ngắn, sau cơn bệnh nhân không nhớ được diễn biến.

tu-mau.jpg
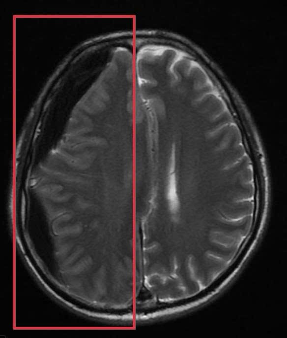
Hình ảnh tụ máu não dưới màng cứng khi nhập viện, trước phẫu thuật - Ảnh BVCC

Đây là những dấu hiệu rất điển hình của cơn động kinh toàn thể. Gia đình cho biết sau các cơn này, người bệnh đã đi khám tại một số cơ sở y tế và được gợi ý khả năng liên quan đến “sán não”, vì vậy được hướng dẫn đến Bệnh viện Bệnh Nhiệt đới Trung ương để làm xét nghiệm chuyên sâu.

Tuy nhiên, theo BS Huyền, người bệnh không có bệnh lý nền, không sốt, không có yếu tố gợi ý co giật thứ phát do rối loạn chuyển hóa hay nhiễm trùng cấp tính. Điều này đặt ra yêu cầu bắt buộc phải tìm nguyên nhân tổn thương thực thể trong não, thay vì chỉ khu trú chẩn đoán vào một nguyên nhân đơn lẻ theo suy đoán như sán não.

BS Huyền phân tích: chỉ cần xuất hiện từ hai cơn co giật không do nguyên nhân cấp tính đã đủ tiêu chuẩn chẩn đoán động kinh theo chuẩn quốc tế, và đồng thời phải tìm nguyên nhân gây ra các cơn này.

Đặc biệt, động kinh khởi phát muộn ở người lớn tuổi tuyệt đối không được xem là vô căn cho đến khi loại trừ các bệnh lý nội sọ nguy hiểm.

tu-mau-3.jpg
Thăm khám và tư vấn cho bệnh nhân - Ảnh BVCC

Khi tiếp tục hỏi sâu, gia đình cho biết người bệnh từng bị ngã khi khởi phát cơn co giật và có đập đầu nhưng không nhớ rõ mức độ, thời điểm rơi vào khoảng bốn tuần trước – chi tiết này rất phù hợp với thời gian hình thành một khối tụ máu não mạn tính dưới màng cứng - tình trạng có thể tiến triển âm thầm và dễ bị bỏ qua.

Trước băn khoăn của gia đình, BS Huyền đã tư vấn ưu tiên chụp MRI sọ não. Kết quả chụp MRI sọ não cấp đã xác định người bệnh có khối tụ máu não dưới màng cứng mạn tính kích thước lớn vùng thái dương, gây hiệu ứng khối và đè đẩy đường giữa của não.

Đây là tình trạng đặc biệt nguy hiểm, bởi khối tụ máu có thể tiến triển âm thầm trong nhiều tuần với triệu chứng kín đáo như chậm chạp, giảm trí nhớ, rối loạn ngôn ngữ nhưng có nguy cơ cao dẫn đến liệt vận động, tụt kẹt não, hôn mê và tử vong nếu không được xử trí kịp thời.

Ngay sau khi có kết quả chẩn đoán hình ảnh, ông P.V.D được chuyển sang chuyên Khoa Phẫu thuật thần kinh sọ não để phẫu thuật cấp cứu lấy bỏ tụ máu, giải phóng chèn ép nhu mô não. Đồng thời, người bệnh được chỉ định điều trị thuốc kháng động kinh do đã có nhiều cơn co giật rõ ràng trước đó. Sau can thiệp, tình trạng ý thức cải thiện tốt, không xuất hiện cơn co giật.

tu-mau-1.jpg
Khám lâm sàng tình trạng bệnh cho bệnh nhân - Ảnh BVCC

Chớ chủ quan với các cơn co giật

Từ trường hợp này, ThS.BSCKII Doãn Thị Huyền nhấn mạnh, các cơn co giật ngắn, thoáng qua rất dễ bị nhầm với ngất hoặc bị xem nhẹ, đặc biệt khi người bệnh vẫn sinh hoạt gần như bình thường giữa các cơn.

Tuy nhiên, mọi cơn co giật đều là dấu hiệu bất thường của não, cần được khám chuyên khoa thần kinh để tìm nguyên nhân. Việc e ngại chẩn đoán hình ảnh hoặc chỉ làm xét nghiệm theo “nghe mách” có thể khiến bỏ sót những tổn thương nội sọ nguy hiểm.

tu-mau-2.jpg
Thăm khám cho bệnh nhân để tìm nguyên nhân gây bệnh - Ảnh BVCC

Bác sĩ Huyền khuyến cáo, khi người bệnh có biểu hiện co giật, mất ý thức đột ngột – kể cả cơn ngắn chỉ kéo dài vài chục giây– cần đi khám sớm để được đánh giá toàn diện.

Nếu trong cơn có ngã, va đập đầu, tuyệt đối không chủ quan vì tụ máu não có thể xuất hiện muộn sau nhiều tuần.

Các thăm dò hình ảnh như CT hoặc MRI chính là “cánh tay nối dài” của bác sĩ, giúp phát hiện kịp thời những nguyên nhân nguy hiểm và bảo vệ tính mạng người bệnh.

1 giờ sau ngã tại nhà, cụ ông 70 tuổi nhanh chóng hôn mê

Ca bệnh diễn biến rất nhanh, nguy kịch, đòi hỏi quyết định chính xác và phối hợp tức thời giữa cấp cứu, chẩn đoán hình ảnh, phẫu thuật thần kinh.

Bệnh viện 19-8 vừa thực hiện thành công ca cấp cứu nguy kịch cho người bệnh chấn thương sọ não nặng sau ngã tại nhà.

Theo đó, ngày 24/12/2025, Khoa Cấp cứu A9 – Bệnh viện 19-8, Bộ Công an đã tiếp nhận và xử trí khẩn cấp một trường hợp chấn thương sọ não nặng ở người cao tuổi do tai nạn sinh hoạt.

Bé 3 tuổi bị tụ máu não sau ngã, cảnh báo tai nạn sinh hoạt ở trẻ nhỏ

Chấn thương sọ não ở trẻ nhỏ là tai nạn sinh hoạt xảy ra khá phổ biến, nguy cơ để lại di chứng nặng nề, đe dọa tính mạng nếu không được điều trị kịp thời.

Các bác sĩ Bệnh viện Đa khoa tỉnh Quảng Ninh đã phẫu thuật cấp cứu thành công một trường hợp bệnh nhi 3 tuổi bị ngã vỡ xương sọ, tụ máu ngoài màng cứng, phục hồi tốt chỉ sau 2 ngày.

Bệnh nhi 3 tuổi trú tại phường Hồng Gai, tỉnh Quảng Ninh. Theo gia đình cho biết, 1 ngày trước khi nhập viện, trẻ không may ngã cầu thang trong lúc chơi ở nhà. Sau ngã, trẻ không quấy khóc, vẫn vui chơi nên gia đình chủ quan không đưa đi kiểm tra. Tuy nhiên hôm sau, trẻ sưng đau vùng đầu, nôn và quấy khóc nên được gia đình nhanh chóng đưa vào viện.

Cứu người thương binh tụ máu não nặng, nhiều bệnh nền

Đây là một ca phẫu thuật khó, tiềm ẩn nhiều nguy cơ và rủi ro. Ca mổ kéo dài hơn 2 tiếng trong không khí căng thẳng, thận trọng tuyệt đối.

Ông Nguyễn Văn Cam (79 tuổi, phường Mạo Khê, tỉnh Quảng Ninh) bị tụ máu não mức độ nặng, rơi vào hôn mê sâu, nguy cơ tử vong cao.

Thế nhưng, với quyết tâm “còn nước còn tát” của gia đình và sự tận tâm của các y bác sĩ Bệnh viện Việt Nam – Thụy Điển Uông Bí, người thương binh ấy đã hồi sinh kỳ diệu.

Đọc nhiều nhất

Tin mới