Bé 3 tuổi đã ung thư tinh hoàn, cha mẹ cần chú ý kiểm tra khi trẻ mới sinh

Phát hiện sớm, can thiệp kịp thời tinh hoàn ẩn, có thể giúp trẻ tránh được những biến cố lớn trong tương lai.

Ung thư di căn vì không biết có tinh hoàn ẩn

Một bé trai 3 tuổi, người dân tộc Mông (từ tỉnh Hà Giang cũ nay là tỉnh Tuyên Quang), được gia đình đưa đến Bệnh viện Đa khoa Hùng Vương vì những cơn đau bụng quanh rốn.

Qua thăm khám lâm sàng, chụp cắt lớp vi tính ổ bụng và siêu âm, các bác sĩ phát hiện một khối u lớn sau phúc mạc, chèn ép thận. Sau quá trình đánh giá toàn diện, kết quả cho thấy bé mắc ung thư tinh hoàn, theo dõi di căn gan và phổi.

ut-tinh-hoan-2.jpg
Khối u ung thư do tinh hoàn ẩn - Ảnh BVCC

Nguyên nhân được xác định là do tinh hoàn không xuống bìu, nằm trong ổ bụng từ khi sinh ra, âm thầm phát triển mà không có biểu hiện rõ ràng trong những năm đầu đời. Đây là một trường hợp rất đáng tiếc. Một cuộc đời còn quá nhỏ, mới bắt đầu hành trình khám phá thế giới, nhưng đã phải đối mặt với căn bệnh nghiệt ngã.

Trong câu chuyện này, không có lỗi của ai cả. Bởi với nhiều gia đình, đặc biệt ở vùng cao, vùng sâu, việc tiếp cận thông tin y tế và khám sàng lọc sau sinh còn nhiều hạn chế. Những bất thường bẩm sinh đôi khi rất khó nhận biết nếu không được thăm khám chuyên sâu.

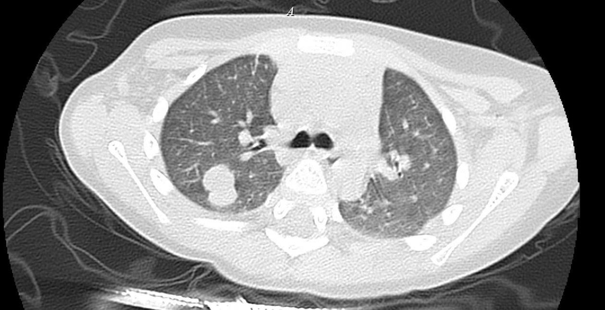
ut-tinh-hoan-1.jpg
Hình ảnh tổn thương di căn - Ảnh BVCC

Tinh hoàn ẩn, bệnh lý bẩm sinh gây ung thư, vô sinh cao

TS.BS Từ Thành Trí Dũng, Trưởng khoa Nam học, Trung tâm Tiết niệu - Thận học - Nam khoa, Bệnh viện Đa khoa Tâm Anh TP HCM cho biết, tinh hoàn ẩn thường được phát hiện ở những bé trai khi vừa chào đời và một số ít nam giới trưởng thành mắc phải tình trạng này. Việc phát hiện và điều trị sớm là cần thiết để tránh ảnh hưởng tới sức khỏe và khả năng sinh sản của người bệnh sau này.

TS.BS Dũng phân tích, tinh hoàn ẩn là tình trạng trẻ sinh ra mà một hay cả hai tinh hoàn không di chuyển xuống bìu hay nằm ở vị trí khác ngoài bìu. Trong thời kỳ bào thai, hai tinh hoàn của thai nhi nằm tại vị trí phía sau sát hai thận. Khi thai nhi khoảng 8 tuần tuổi, hai tinh hoàn đã di chuyển từ bụng qua bẹn, xuống bìu trước khi trẻ sinh ra. Có khoảng 10% bé trai xuất hiện tình trạng ẩn ở cả hai tinh hoàn.

ung-thu-tinh-hoan3.jpg
Kết quả siêu âm của bệnh nhi - Ảnh BVCC

Ở bé trai khi sinh, tỷ lệ mắc bệnh là khoảng 3 – 4%. Tỷ lệ này tăng cao khi trẻ sơ sinh bị nhẹ cân, sinh đôi, sinh non. Nhiều trường hợp tinh hoàn ẩn sau khi sinh sẽ tiếp tục tự di chuyển xuống bìu trước khi trẻ được 3 tháng tuổi. Tuy nhiên, khi trẻ 6 tháng tuổi, nếu tinh hoàn vẫn không nằm trong bìu, khi đó sẽ rất khó để tinh hoàn tự di chuyển xuống và cần có phương pháp điều trị thích hợp.

Bệnh thường được phát hiện ở trẻ bị rối loạn nội tiết tố, dị tật bẩm sinh hay có sự bất thường về di truyền. Một số trường hợp trẻ sinh ra với tinh hoàn ẩn nhưng lại không xác định được nguyên nhân.

Tinh hoàn ẩn có kích thước nhỏ hơn bình thường và nhu mô mềm nhão. Theo nghiên cứu được thực hiện ở Mỹ của Anne Suskind và cộng sự, những bé trai có tinh hoàn bị ẩn thường có đường kính của ống sinh tinh nhỏ hơn, mức độ xơ hóa tinh hoàn cao hơn.

Sự thay đổi về mô học này có khả năng ảnh hưởng đến tinh trùng, gây vô sinh nam. Khi chỉ bị ẩn tinh hoàn một bên, người bệnh vẫn có khả năng có con. Tuy nhiên, người bệnh có thể phải đối mặt với nhiều rủi ro sức khỏe do nguy cơ bị ung thư ở tinh hoàn và một số nguy cơ khác.

ung-thu-tinh-hoan-4.jpg
Kết quả xét nghiệm của bệnh nhi - Ảnh BVCC

Nếu nam giới bị tinh hoàn ẩn ở cả hai bên, nguy cơ vô sinh sẽ rất cao. Kết quả xét nghiệm dịch tinh đồ của họ thường không có tinh trùng. Một số người bệnh còn không thể quan hệ tình dục được do nội tiết tố bị thiếu hụt trầm trọng. Nam giới bị tinh hoàn ẩn thường phối hợp với những dị tật bẩm sinh khác.

Nếu không được điều trị kịp thời và đúng cách, người bị tinh hoàn ẩn có khả năng đối mặt với những nguy cơ sức khỏe như ung thư hóa tinh hoàn, xoắn tinh hoàn, chấn thương tinh hoàn hay tổn thương tâm sinh lý vì không có hoặc chỉ có một tinh hoàn dưới bìu.

Tinh hoàn ẩn có hai dạng, cụ thể:

Dạng sờ được: Khi sờ, cảm thấy được tinh hoàn tại ống bẹn, tinh hoàn lò xo.

Dạng không sờ được: Tinh hoàn nằm tại lỗ bẹn sâu, trong ổ bụng. Khi sờ, sẽ không cảm thấy tinh hoàn. Khoảng 80% tinh hoàn ẩn không thể sờ thấy được. Thông thường, có thể phát hiện khi quan sát thấy túi bìu ở người bệnh không cân đối. Chẳng hạn như một bên bình thường, trong khi bên còn lại bị nhỏ hay xẹp lép, nếu trường hợp bị ẩn một bên. Trường hợp bị ẩn cả bên, sẽ thấy túi bìu nhỏ và xẹp.

Một số triệu chứng thường gặp là: Trong bìu không có tinh hoàn hay sờ thấy tại ống bẹn có khối u nổi lên.

Bìu kém phát triển: Nếu tinh hoàn ẩn càng cao, bìu sẽ càng kém phát triển; Chỉ sờ thấy một bên tinh hoàn. Tình trạng có khả năng là do: Tinh hoàn co rút: Tinh hoàn di chuyển lên xuống giữa bìu và bẹn, khi thăm khám có thể dễ dàng xuống bìu trở lại. Tình trạng này không phải là bất thường, nguyên nhân có thể là do phản xạ cơ bìu; Tinh hoàn di chuyển lên hoặc mắc phải: Tinh hoàn quay trở lại bẹn, không thể sử dụng tay để xuống bìu lại được.

ut-tinh-hoan.jpg
Bác sĩ thăm khám cho bệnh nhi - Ảnh BVCC

Thông thường, tinh hoàn ẩn và tinh hoàn lạc chỗ là các thuật ngữ dễ bị nhầm lẫn với nhau:

Tinh hoàn ẩn: Tinh hoàn không nằm trong bìu mà nằm dọc theo đường đi của tinh hoàn như trong bụng, lỗ bẹn sâu, ống bẹn và lỗ bẹn nông.

Tinh hoàn lạc chỗ: Tinh hoàn nằm ở vị trí khác (không nằm trên đường di chuyển của tinh hoàn từ bụng xuống bìu) như: tầng sinh môn, cân đùi…

Một số yếu tố dưới đây có thể làm tăng nguy cơ mắc tinh hoàn ẩn, cụ thể: Trẻ mới sinh có cân nặng quá thấp (dưới 0,9kg) có nguy cơ mắc bệnh rất cao; Tinh hoàn ẩn xảy ra ở trẻ sinh đủ tháng khoảng 3% và khoảng 30% đối với trẻ sinh non;

Tiền sử gia đình có người bị bệnh này hay những vấn đề về phát triển hệ sinh dục khác; Mắc các bệnh lý thai nhi ngăn cản tăng trưởng như hội chứng Down hay khiếm khuyết thành bụng.

Thai phụ lạm dụng rượu bia, thuốc lá hay hít phải khói thuốc, bị béo phì, tiểu đường loại 1, loại 2 hay tiểu đường thai kỳ… là những nguy cơ khiến tình trạng của bệnh có khả năng xuất hiện ở trẻ sơ sinh; Bố mẹ thường xuyên tiếp xúc với thuốc trừ sâu.

Về nguy cơ của tinh hoàn ẩn, TS.BS Dũng phân tích, nhiệt độ bình thường ở bìu là thấp hơn so với cơ thể. Khi bị ẩn nằm tại vùng bụng, tinh hoàn chịu nhiệt độ cao của thể sẽ rất khó phát triển và giảm số lượng tế bào mầm trong tinh trùng.

Nếu bé trai bị tinh hoàn ẩn một bên, vị trí ở ống bẹn, trẻ có thể có số lượng tinh trùng bình thường. Trong khi, bé trai bị tinh hoàn ẩn cả hai tại ống bẹn, có thể gây vô sinh. Người bệnh sau 5 tuổi nếu không được phẫu thuật, tỷ lệ vô sinh lên đến 75%. Tình trạng này nếu không được phát hiện và điều trị sớm có khả năng xảy ra những biến chứng như:

Xoắn tinh hoàn: Vì không được cố định tại bìu tốt, tinh hoàn có thể bị xoắn. Đây là trường hợp thường gặp. Người bệnh có triệu chứng sưng đau vùng bẹn đột ngột tại bên tinh hoàn ẩn. Da ở bìu bị sẫm đỏ hay nhạt, mất nếp nhăn. Khi không được thăm khám và phẫu thuật cấp cứu trong 3 giờ, tinh hoàn có nguy cơ bị hoại tử rất cao.

U ác tính: Khi tinh hoàn ẩn trong ổ bụng bị phát hiện muộn, có thể phát triển thành u ác tính.

Chấn thương tinh hoàn: Khi không nằm trong da bìu, tinh hoàn có khả năng bị tổn thương do áp lực từ xương mu.

Thoát vị bẹn: Khi tinh hoàn nằm ở bẹn có thể tạo ra khe hở giữa vùng bụng và ống bẹn. Khe hở này càng lớn có thể đẩy một phần ruột vào háng.

Tình trạng tinh hoàn ẩn cần được phát hiện sớm và điều trị cho trẻ trước 18 tháng tuổi. Cách điều trị là phẫu thuật đưa tinh hoàn xuống bìu.

Hãy chú ý kiểm tra tinh hoàn cho trẻ nam ngay từ khi mới sinh và trong những lần khám sức khỏe định kỳ. Nếu phát hiện tinh hoàn không nằm trong bìu hoặc có bất thường, hãy đưa trẻ đến cơ sở y tế để được tư vấn và theo dõi sớm.

Phát hiện sớm, can thiệp kịp thời, có thể giúp trẻ tránh được những biến cố lớn trong tương lai. Đó không chỉ là chăm sóc sức khỏe, mà còn là cách chúng ta giữ gìn trọn vẹn một tuổi thơ.

2 năm chịu đựng đau đớn, chàng trai 19 tuổi không ngờ bị ung thư tinh hoàn

Ung thư tinh hoàn là bệnh lý có khả năng chữa trị thành công rất cao. Tuy nhiên, bệnh vẫn có khả năng lây sang những bộ phận khác trong cơ thể.

Nghĩ bệnh tự khỏi và ngại chia sẻ, nam bệnh nhân 19 tuổi đã âm thầm chịu đựng khối u tại tinh hoàn suốt 2 năm. Khi nhập viện, bệnh nhân được chẩn đoán ung thư tinh hoàn giai đoạn muộn với khối u kích thước "khủng".

Tưởng bệnh tự khỏi để lâu khiến ung thư biến chuyển giai đoạn nặng

Đọc nhiều nhất

Lợi ích sức khỏe của táo đỏ

Lợi ích sức khỏe của táo đỏ

Đông y cho rằng táo đỏ có tác dụng bổ khí huyết, kiện tỳ vị, an thần nên thường cho vào các bài thuốc có tác dụng bồi bổ cơ thể.
Vì sao càng mệt càng khó ngủ?

Vì sao càng mệt càng khó ngủ?

Mệt mỏi không đồng nghĩa với buồn ngủ. Khi não bộ còn căng thẳng và hormone stress tăng cao, giấc ngủ dễ bị chập chờn, thậm chí biến mất hoàn toàn.

Tin mới

Vì sao càng mệt càng khó ngủ?

Vì sao càng mệt càng khó ngủ?

Mệt mỏi không đồng nghĩa với buồn ngủ. Khi não bộ còn căng thẳng và hormone stress tăng cao, giấc ngủ dễ bị chập chờn, thậm chí biến mất hoàn toàn.

Lợi ích sức khỏe của táo đỏ

Lợi ích sức khỏe của táo đỏ

Đông y cho rằng táo đỏ có tác dụng bổ khí huyết, kiện tỳ vị, an thần nên thường cho vào các bài thuốc có tác dụng bồi bổ cơ thể.