Đau vùng vai, hạn chế vận động sau ngã không ngờ gãy kín xương cánh tay

Bệnh nhân bị ngã được đưa vào viện trong tình trạng đau nhiều vùng vai phải, hạn chế vận động và được xác định gãy kín đầu trên xương cánh tay phải.

Khoa Chấn thương Chỉnh hình – Bệnh viện Đa khoa Khu vực Quảng Yên vừa triển khai thành công kỹ thuật kết hợp xương nẹp vít khóa trong điều trị gãy đầu trên xương cánh tay cho bà P.T.H, trú tại thôn 3, phường Hiệp Hòa, tỉnh Quảng Ninh.

xuong-canh-tay.jpg
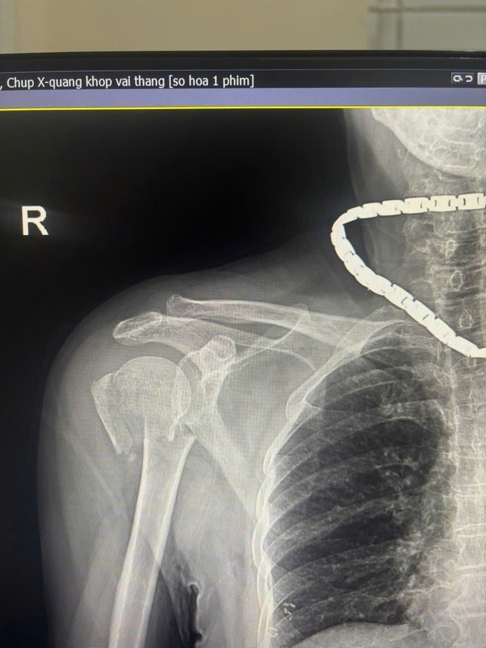
Hình ảnh gãy xương cánh tay trên phim chụp - Ảnh BVCC

Trước đó, bệnh nhân bị ngã được đưa vào viện trong tình trạng đau nhiều vùng vai phải, hạn chế vận động. Qua thăm khám lâm sàng và chẩn đoán hình ảnh, người bệnh được xác định gãy kín đầu trên xương cánh tay phải và được chỉ định phẫu thuật kết hợp xương bằng nẹp vít khóa.

Ca phẫu thuật do BSCKII. Đỗ Văn Cường trực tiếp thực hiện – một kỹ thuật hiện đại, mang lại hiệu quả cao, đặc biệt phù hợp với người cao tuổi và bệnh nhân có loãng xương.

Ưu điểm nổi bật của kỹ thuật: Cố định ổ gãy vững chắc, hạn chế di lệch thứ phát.

Phù hợp với xương loãng, bảo tồn tối đa phần mềm.

Giảm đau tốt sau mổ.

Cho phép vận động sớm khớp vai, rút ngắn thời gian nằm viện.

Đẩy nhanh quá trình phục hồi chức năng, sớm trở lại sinh hoạt thường ngày.

xuong-canh-tay-1.jpg

Ngay sau phẫu thuật, bệnh nhân phục hồi tiến triển tốt, giảm đau rõ rệt, vận động khớp vai cải thiện từng ngày và tinh thần ổn định.

“Tôi bị gãy xương vai, lúc đầu rất đau và lo lắng không biết có vận động lại được không. Sau khi được các bác sĩ mổ và chăm sóc tận tình, hiện nay tay tôi đỡ đau nhiều, đã cử động được. Tôi rất yên tâm và hài lòng khi điều trị tại Bệnh viện Đa khoa Khu vực Quảng Yên”, người bệnh chia sẻ sau phẫu thuật.

xuong-canh-tay-2.png
Bệnh nhân ổn định, yên tâm sau phẫu thuật - Ảnh BVCC

Thiếu nữ 20 tuổi vẹo cột sống nặng được trả lại hình dáng cân đối

Nếu không chữa trị kịp thời gù vẹo gây biến dạng nặng cột sống, ảnh hưởng nghiêm trọng đến các cơ quan nội tạng khác như tim, phổi, lồng ngực...

Các bác sĩ khoa Ngoại thần kinh - Lồng ngực, Bệnh viện Bãi Cháy đã phẫu thuật thành công cho nữ bệnh nhân 20 tuổi mắc vẹo cột sống nặng, trả lại hình dáng cân đối và cải thiện rõ rệt chất lượng cuộc sống cho người bệnh.

veo-cot-song.png
Chị Nguyễn Thị Hương Thảo 20 tuổi trú tại phường Móng Cái 3, Quảng Ninh, sau 1 tuần phẫu thuật, bệnh nhân phục hồi tốt, đi lại nhẹ nhàng - Ảnh BVCC

Hy hữu, đinh Kirschner gãy, di trú vào phổi sau phẫu thuật vai

Người bệnh cần tuân thủ lịch tái khám, tháo dụng cụ đúng chỉ định là cách bảo vệ sức khỏe và phòng ngừa những biến chứng nguy hiểm.

Bệnh viện Đa khoa tỉnh Quảng Trị vừa tiếp nhận và điều trị thành công một trường hợp rất hiếm gặp, tiềm ẩn nguy cơ đe dọa tính mạng.

Bệnh nhân M. (60 tuổi), trú tại xã Hiếu Giang, tỉnh Quảng Trị đến bệnh viện thăm khám để rút dụng cụ kết hợp xương sau phẫu thuật.

Đọc nhiều nhất

Tin mới